Skip to main content

MRPS30 Antibody - BSA Free

Novus Biologicals, part of Bio-Techne | Catalog # NBP1-87344

Novus Biologicals, part of Bio-Techne
Catalog #
Availability
Size / Price
Qty
Loading...
NBP1-87344
NBP1-87344-25ul

Key Product Details

Species Reactivity

Human

Applications

Immunohistochemistry, Immunohistochemistry-Paraffin

Label

Unconjugated

Antibody Source

Polyclonal Rabbit IgG

Format

BSA Free

Concentration

Concentrations vary lot to lot. See vial label for concentration. If unlisted please contact technical services.

Product Specifications

Immunogen

This antibody was developed against Recombinant Protein corresponding to amino acids: EPEPEPALDLAALRAVACDCLLQEHFYLRRRRRVHRYEESEVISLPFLDQLVSTLVGLLSPHNPALAAAALDYRCPVHFYWVRGEEIIPRGH

Clonality

Polyclonal

Host

Rabbit

Isotype

IgG

Scientific Data Images for MRPS30 Antibody - BSA Free

Immunohistochemistry-Paraffin: MRPS30 Antibody [NBP1-87344]

Immunohistochemistry-Paraffin: MRPS30 Antibody [NBP1-87344]

Immunohistochemistry-Paraffin: MRPS30 Antibody [NBP1-87344] - Staining of human liver shows strong granular cytoplasmic positivity in hepatocytes.
Immunohistochemistry: MRPS30 Antibody [NBP1-87344]

Immunohistochemistry: MRPS30 Antibody [NBP1-87344]

Immunohistochemistry: MRPS30 Antibody [NBP1-87344] - Staining of human duodenum shows strong cytoplasmic and membranous positivity in glandular cells.
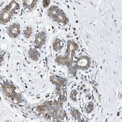
Immunohistochemistry-Paraffin: MRPS30 Antibody [NBP1-87344]

Immunohistochemistry-Paraffin: MRPS30 Antibody [NBP1-87344]

Immunohistochemistry-Paraffin: MRPS30 Antibody [NBP1-87344] - Staining of human breast shows moderate granular cytoplasmic positivity in glandular cells.

Applications for MRPS30 Antibody - BSA Free

Application
Recommended Usage

Immunohistochemistry

1:50 - 1:200

Immunohistochemistry-Paraffin

1:50 - 1:200
Application Notes
For IHC-Paraffin, HIER pH 6 retrieval is recommended.

Formulation, Preparation, and Storage

Purification

Affinity purified

Formulation

PBS (pH 7.2) and 40% Glycerol

Format

BSA Free

Preservative

0.02% Sodium Azide

Concentration

Concentrations vary lot to lot. See vial label for concentration. If unlisted please contact technical services.

Shipping

The product is shipped with polar packs. Upon receipt, store it immediately at the temperature recommended below.

Stability & Storage

Store at 4C short term. Aliquot and store at -20C long term. Avoid freeze-thaw cycles.

Background: MRPS30

MRPS30, or Mitochondrial Ribosomal Protein S30, consists of a 439 amino acid isoform that is 50 kDa, and is involved in mitochondrial protein synthesis in the heart, skeletal muscles, kidney, and liver. Current disease research is being conducted on MRPS30 and its relation to breast cancer, neuronitis, and prostatitis. MRPS30 has been linked to translation and apoptosis, through which it interacts with ICT1, MAGEA11, AARS2, AASS, and ABCB7.

Alternate Names

28S ribosomal protein S30, mitochondrial, DKFZp566B2024, mitochondrial ribosomal protein S30, MRP-S30, PAP, PDCD9, programmed cell death 9, Programmed cell death protein 9, S30mt

Gene Symbol

MRPS30

Additional MRPS30 Products

Product Documents for MRPS30 Antibody - BSA Free

Certificate of Analysis

To download a Certificate of Analysis, please enter a lot number in the search box below.

Product Specific Notices for MRPS30 Antibody - BSA Free

This product is for research use only and is not approved for use in humans or in clinical diagnosis. Primary Antibodies are guaranteed for 1 year from date of receipt.

Loading...
Loading...
Loading...
Loading...