MRPL9 Antibody - BSA Free
Novus Biologicals, part of Bio-Techne | Catalog # NBP3-47030
Key Product Details
Species Reactivity
Human, Mouse, Rat
Applications
Immunohistochemistry, Western Blot, ELISA
Label
Unconjugated
Antibody Source
Polyclonal Rabbit IgG
Format
BSA Free
Concentration
Please see the vial label for concentration. If unlisted please contact technical services.
Product Specifications
Immunogen
mitochondrial ribosomal protein L9. (Uniprot# Q9BYD2)
Clonality
Polyclonal
Host
Rabbit
Isotype
IgG
Description
Novus Biologicals Rabbit MRPL9 Antibody - BSA Free (NBP3-47030) is a polyclonal antibody validated for use in IHC, WB and ELISA. All Novus Biologicals antibodies are covered by our 100% guarantee.
Scientific Data Images for MRPL9 Antibody - BSA Free
Western Blot: MRPL9 Antibody - BSA Free [NBP3-47030] -
Western Blot: MRPL9 Antibody - BSA Free [NBP3-47030] - MCF7 cells were subjected to SDS PAGE followed by western blot with (MRPL9 antibody) at dilution of 1:500Immunohistochemistry: MRPL9 Antibody - BSA Free [NBP3-47030] -
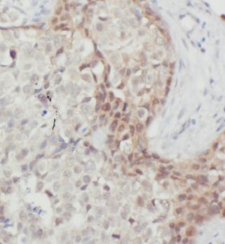
Immunohistochemistry: MRPL9 Antibody - BSA Free [NBP3-47030] - Immunohistochemistry of paraffin-embedded human breast cancer using (MRPL9 antibody) at dilution of 1:100Applications for MRPL9 Antibody - BSA Free
Application
Recommended Usage
Immunohistochemistry
1:20-1:200
Western Blot
1:500-1:2000
Application Notes
Theoretical Molecular Weight is 26-28 kDa
Formulation, Preparation, and Storage
Purification
Immunogen affinity purified
Formulation
PBS, 50% Glycerol, pH (7.3)
Format
BSA Free
Preservative
0.02% Sodium Azide
Concentration
Please see the vial label for concentration. If unlisted please contact technical services.
Shipping
The product is shipped with polar packs. Upon receipt, store it immediately at the temperature recommended below.
Stability & Storage
Store at -20C. Avoid freeze-thaw cycles.
Background: MRPL9
Alternate Names
L9mt, mitochondrial ribosomal protein L9, MRP-L9,39S ribosomal protein L9, mitochondrial
Gene Symbol
MRPL9
Additional MRPL9 Products
Product Documents for MRPL9 Antibody - BSA Free
Product Specific Notices for MRPL9 Antibody - BSA Free
This product is for research use only and is not approved for use in humans or in clinical diagnosis. Primary Antibodies are guaranteed for 1 year from date of receipt.
Loading...
Loading...
Loading...
Loading...