Skip to main content

MINA Antibody - BSA Free

Novus Biologicals, part of Bio-Techne | Catalog # NBP3-21502

Novus Biologicals, part of Bio-Techne

Key Product Details

Species Reactivity

Human, Mouse

Applications

Immunohistochemistry, Immunohistochemistry-Paraffin, Western Blot, ELISA, Immunocytochemistry

Label

Unconjugated

Antibody Source

Polyclonal Rabbit IgG

Format

BSA Free

Concentration

1 mg/ml

Product Specifications

Immunogen

Myosin Heavy Chain 3 antibody was raised against a 15 amino acid synthetic peptide near the amino terminus of human Myosin MINA. The immunogen is located within amino acids 380 - 430 of MINA. Amino Acid Squence: HSLKNSRETHMMGNE

Reactivity Notes

Immunogen displays the following percentage of sequence identity for non-tested species: Bovine: (80%), Rat: (80%)

Clonality

Polyclonal

Host

Rabbit

Isotype

IgG

Description

Novus Biologicals Rabbit MINA Antibody - BSA Free (NBP3-21502) is a polyclonal antibody validated for use in IHC, WB, ELISA and ICC/IF. All Novus Biologicals antibodies are covered by our 100% guarantee.

Scientific Data Images for MINA Antibody - BSA Free

MINA Antibody - BSA Free

Western Blot-NBP3-21502-MINA Antibody - BSA Free-

Western Blot-NBP3-21502-MINA Antibody - BSA Free-Analysis of MINA in human heart tissue lysate with MINA antibody at (A) 1 and (B) 2 ug/mL.
MINA Antibody - BSA Free

Immunocytochemistry/ Immunofluorescence: MINA Antibody - BSA Free [NBP3-21502] -

Immunocytochemistry/ Immunofluorescence: MINA Antibody - BSA Free [NBP3-21502] - Immunofluorescence of MINA in mouse heart tissue with MINA antibody at 20 ug/mL.
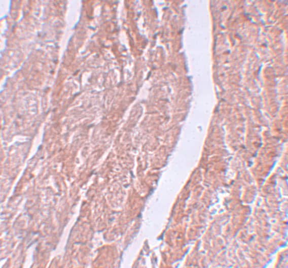
MINA Antibody - BSA Free

Immunohistochemistry: MINA Antibody - BSA Free [NBP3-21502] -

Immunohistochemistry: MINA Antibody - BSA Free [NBP3-21502] - Immunohistochemistry of MINA in mouse heart tissue with MINA antibody at 5 ug/mL.

Applications for MINA Antibody - BSA Free

Application
Recommended Usage

Immunocytochemistry

20 ug/ml

Immunohistochemistry

5 ug/ml

Immunohistochemistry-Paraffin

5 ug/ml

Western Blot

1-2 ug/ml

Formulation, Preparation, and Storage

Purification

Peptide affinity purified

Formulation

PBS

Format

BSA Free

Preservative

0.02% Sodium Azide

Concentration

1 mg/ml

Shipping

The product is shipped with polar packs. Upon receipt, store it immediately at the temperature recommended below.

Stability & Storage

Store at 4C short term. Aliquot and store at -20C long term. Avoid freeze-thaw cycles.

Background: MINA

MINA is a c-Myc (MYC; MIM 190080) target gene that may play a role in cell proliferation or regulation of cell growth. (Tsuneoka et al., 2002 [PubMed 12091391]; Zhang et al., 2005 [PubMed 15897898]).[supplied by OMIM]

Long Name

Myc-induced Nuclear Antigen

Alternate Names

MDIG, Mina53, NO52

Gene Symbol

RIOX2

Additional MINA Products

Product Documents for MINA Antibody - BSA Free

Certificate of Analysis

To download a Certificate of Analysis, please enter a lot number in the search box below.

Product Specific Notices for MINA Antibody - BSA Free

This product is for research use only and is not approved for use in humans or in clinical diagnosis. Primary Antibodies are guaranteed for 1 year from date of receipt.

Loading...
Loading...
Loading...
Loading...