Skip to main content

MGMT Antibody (OTI4F9)

Novus Biologicals, part of Bio-Techne | Catalog # NBP2-45843

Novus Biologicals, part of Bio-Techne
Catalog #
Availability
Size / Price
Qty
Loading...
NBP2-45843

Key Product Details

Species Reactivity

Human

Applications

Immunohistochemistry, Immunohistochemistry-Paraffin, Western Blot

Label

Unconjugated

Antibody Source

Monoclonal Mouse IgG1 Clone # OTI4F9

Concentration

1 mg/ml

Product Specifications

Immunogen

Full length human recombinant protein of human MGMT (NP_002403) produced in HEK293T cell.

Clonality

Monoclonal

Host

Mouse

Isotype

IgG1

Description

Novus Biologicals Mouse MGMT Antibody (OTI4F9) (NBP2-45843) is a monoclonal antibody validated for use in IHC and WB. All Novus Biologicals antibodies are covered by our 100% guarantee.

Scientific Data Images for MGMT Antibody (OTI4F9)

Western Blot: MGMT Antibody (OTI4F9) [NBP2-45843]

Western Blot: MGMT Antibody (OTI4F9) [NBP2-45843]

Western Blot: MGMT Antibody (4F9) [NBP2-45843] - Analysis of HEK293T cells were transfected with the pCMV6-ENTRY control (Left lane) or pCMV6-ENTRY MGMT.
Immunohistochemistry: MGMT Antibody (OTI4F9) [NBP2-45843]

Immunohistochemistry: MGMT Antibody (OTI4F9) [NBP2-45843]

Immunohistochemistry: MGMT Antibody (OTI4F9) [NBP2-45843] - MGMT Antibody (4F9) [NBP2-45843] - Analysis of Human endometrium tissue. (Heat-induced epitope retrieval by 1mM EDTA in 10mM Tris buffer (pH8.5) at 120C for 3 min)
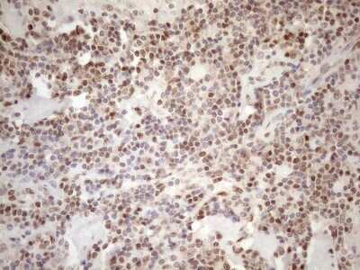
Immunohistochemistry: MGMT Antibody (OTI4F9) [NBP2-45843]

Immunohistochemistry: MGMT Antibody (OTI4F9) [NBP2-45843]

Immunohistochemistry: MGMT Antibody (4F9) [NBP2-45843] - Analysis of Human colon tissue. (Heat-induced epitope retrieval by 1mM EDTA in 10mM Tris buffer (pH8.5) at 120C for 3 min)

Applications for MGMT Antibody (OTI4F9)

Application
Recommended Usage

Immunohistochemistry

1:150

Immunohistochemistry-Paraffin

1:150

Western Blot

1:2000

Formulation, Preparation, and Storage

Purification

Immunogen affinity purified

Formulation

PBS (pH 7.3), 1.0% BSA and 50% Glycerol

Preservative

0.02% Sodium Azide

Concentration

1 mg/ml

Shipping

The product is shipped with polar packs. Upon receipt, store it immediately at the temperature recommended below.

Stability & Storage

Store at -20C. Avoid freeze-thaw cycles.

Background: MGMT

O6-Methylguanine-DNA Methyltransferase (MGMT) is an important DNA repair protein involved in tumor cell resistance to the cytotoxic activity of chemotherapeutic alkylating agents. This protein is also effective in protecting normal cells against the genotoxic and carcinogenic effects of DNA alkylation. The alkylating drug resistance is caused by MGMT's ability to remove DNA alkyl groups introduced in the O6 position of guanine. MGMT is expressed in highly variable amounts, depending upon the cell and tissue type, species, and cellular growth characteristics. In addition, MGMT activity varies among groups of tumors and within a particular type of tumor.

MGMT antibodes are useful tools for DNA repair studies and for some cancer research.

Long Name

O-6 Methylguanine-DNA Methyltransferase

Alternate Names

6-O-methylguanine-DNA methyltransferase, EC 2.1.1.63, methylated-DNA--protein-cysteine methyltransferase, methylguanine-DNA methyltransferase, O-6-methylguanine-DNA methyltransferase, O6-methylguanine-DNA methyltransferase, O-6-methylguanine-DNA-alkyltransferase

Gene Symbol

MGMT

Additional MGMT Products

Product Documents for MGMT Antibody (OTI4F9)

Certificate of Analysis

To download a Certificate of Analysis, please enter a lot number in the search box below.

Product Specific Notices for MGMT Antibody (OTI4F9)

This product is for research use only and is not approved for use in humans or in clinical diagnosis. Primary Antibodies are guaranteed for 1 year from date of receipt.

Loading...
Loading...
Loading...
Loading...