Skip to main content

Melanoma Associated Antigen (KBA.62) Antibody (KBA.62)

Novus Biologicals, part of Bio-Techne | Catalog # NBP2-45285

Novus Biologicals, part of Bio-Techne
Catalog #
Availability
Size / Price
Qty
Loading...
NBP2-45285-0.1mg
NBP2-45285-0.02mg

Key Product Details

Species Reactivity

Human

Applications

Immunohistochemistry, Immunohistochemistry-Paraffin, Immunofluorescence, Immunocytochemistry/ Immunofluorescence

Label

Unconjugated

Antibody Source

Monoclonal Mouse IgG1 kappa Clone # KBA.62

Concentration

0.2 mg/ml

Product Specifications

Immunogen

Human KAL cells derived from lymph node metastasis of malignant melanoma

Localization

Cell Surface and Cytoplasmic

Specificity

KBA.62 is a novel anti-melanoma antibody. It reacts positively against melanocytic tumors but not other tumors, thus demonstrating specificity and sensitivity. Moreover, it reacts positively against junctional nevus cells but not intradermal nevi, and against fetal melanocytes but not normal adult melanocytes. KBA.62 antibody is useful in identifying malignant melanomas. Metastatic amelanotic melanoma can often be confused with a variety of poorly differentiated carcinomas, large cell lymphomas, sarcomas, spindle cell carcinomas and various types of mesenchymal neoplasms. A keratin-negative, vimentin-rich neoplasm that immuno-reacts with antibody to S100 protein and with KBA.62 antibody is, with rare exception, a melanoma. Anti-KBA.62 is a useful additional marker for melanoma, specifically in desmoplastic/spindle cell cases and in the context of micro-metastasis in sentinel lymph node.

Clonality

Monoclonal

Host

Mouse

Isotype

IgG1 kappa

Description

200ug/ml of antibody purified from Bioreactor Concentrate by Protein A or G. Prepared in 10 mM PBS with 0.05% BSA & 0.05% azide. Also available WITHOUT BSA & azide at 1.0 mg/ml. (NBP3-11535)

Antibody with azide - store at 2 to 8C. Antibody without azide - store at -20 to -80C.

Scientific Data Images for Melanoma Associated Antigen (KBA.62) Antibody (KBA.62)

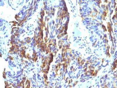
Immunohistochemistry-Paraffin: Melanoma Associated Antigen (KBA.62) Antibody (KBA.62) [NBP2-45285]

Immunohistochemistry-Paraffin: Melanoma Associated Antigen (KBA.62) Antibody (KBA.62) [NBP2-45285]

Immunohistochemistry-Paraffin: Melanoma Associated Antigen (KBA.62) Antibody (KBA.62) [NBP2-45285] - Human Tongue stained with Melanoma Monoclonal Antibody (KBA.62).
Immunohistochemistry-Paraffin: Melanoma Associated Antigen (KBA.62) Antibody (KBA.62) [NBP2-45285]

Immunohistochemistry-Paraffin: Melanoma Associated Antigen (KBA.62) Antibody (KBA.62) [NBP2-45285]

Immunohistochemistry-Paraffin: Melanoma Associated Antigen (KBA.62) Antibody (KBA.62) [NBP2-45285] - Human Melanoma stained with Melanoma Monoclonal Antibody (KBA.62).

Applications for Melanoma Associated Antigen (KBA.62) Antibody (KBA.62)

Application
Recommended Usage

Immunocytochemistry/ Immunofluorescence

1-2 ug/ml

Immunofluorescence

0.5 - 1.0 ug/ml

Immunohistochemistry-Paraffin

1-2 ug/ml
Application Notes
Immunohistochemistry (Formalin-fixed): 1-2ug/ml for 30 minutes at RT. Staining of formalin-fixed tissues requires heating tissue sections in 10mM Tris with 1mM EDTA, pH 9.0, for 45 min at 95C followed by cooling at RT for 20 minutes.
Optimal dilution for a specific application should be determined.

Formulation, Preparation, and Storage

Purification

Protein A or G purified

Formulation

10 mM PBS with 0.05% BSA

Preservative

0.05% Sodium Azide

Concentration

0.2 mg/ml

Shipping

The product is shipped with polar packs. Upon receipt, store it immediately at the temperature recommended below.

Stability & Storage

Store at 4C.

Background: Melanoma Associated Antigen (KBA.62)

Additional Melanoma Associated Antigen (KBA.62) Products

Product Documents for Melanoma Associated Antigen (KBA.62) Antibody (KBA.62)

Certificate of Analysis

To download a Certificate of Analysis, please enter a lot number in the search box below.

Product Specific Notices for Melanoma Associated Antigen (KBA.62) Antibody (KBA.62)

This product is for research use only and is not approved for use in humans or in clinical diagnosis. Primary Antibodies are guaranteed for 1 year from date of receipt.

Loading...
Loading...
Loading...
Loading...