MCM2 Antibody (PD00-90)
Novus Biologicals, part of Bio-Techne | Catalog # NBP3-32576
Recombinant Monoclonal Antibody
Key Product Details
Species Reactivity
Human
Applications
Immunohistochemistry, Immunohistochemistry-Paraffin, Western Blot, Flow Cytometry, Immunocytochemistry/ Immunofluorescence
Label
Unconjugated
Antibody Source
Recombinant Monoclonal Rabbit IgG Clone # PD00-90 expressed in HEK293
Concentration
Please see the vial label for concentration. If unlisted please contact technical services.
Product Specifications
Immunogen
Synthetic peptide within Human MCM2 aa 100-200. (Uniprot: P49736)
Localization
Nucleus, Chromosome.
Clonality
Monoclonal
Host
Rabbit
Isotype
IgG
Theoretical MW
102 kDa.
Disclaimer note: The observed molecular weight of the protein may vary from the listed predicted molecular weight due to post translational modifications, post translation cleavages, relative charges, and other experimental factors.
Disclaimer note: The observed molecular weight of the protein may vary from the listed predicted molecular weight due to post translational modifications, post translation cleavages, relative charges, and other experimental factors.
Description
Novus Biologicals Rabbit MCM2 Antibody (PD00-90) (NBP3-32576) is a recombinant monoclonal antibody validated for use in IHC, WB, Flow and ICC/IF. All Novus Biologicals antibodies are covered by our 100% guarantee.
Scientific Data Images for MCM2 Antibody (PD00-90)
Western Blot: MCM2 Antibody (PD00-90) [NBP3-32576]
Western Blot: MCM2 Antibody (PD00-90) [NBP3-32576] - Western blot analysis of MCM2 on different lysates with Rabbit anti-MCM2 antibody (NBP3-32576) at 1/2,000 dilution.Lane 1: HL-60 cell lysate
Lane 2: SiHa cell lysate
Lysates/proteins at 10 ug/Lane.
Predicted band size: 102 kDa
Observed band size: 130 kDa
Exposure time: 1 minute;
8% SDS-PAGE gel.
Proteins were transferred to a PVDF membrane and blocked with 5% NFDM/TBST for 1 hour at room temperature. The primary antibody (NBP3-32576) at 1/2,000 dilution was used in 5% NFDM/TBST at room temperature for 2 hours. Goat Anti-Rabbit IgG - HRP Secondary Antibody at 1:300,000 dilution was used for 1 hour at room temperature.
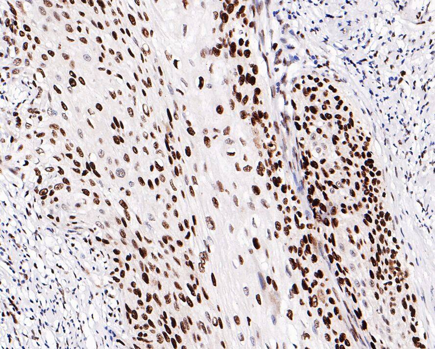
Immunohistochemistry: MCM2 Antibody (PD00-90) [NBP3-32576]
Immunohistochemistry: MCM2 Antibody (PD00-90) [NBP3-32576] - Immunohistochemical analysis of paraffin-embedded human cervical carcinoma tissue with Rabbit anti-MCM2 antibody (NBP3-32576) at 1/800 dilution.The section was pre-treated using heat mediated antigen retrieval with Tris-EDTA buffer (pH 9.0) for 20 minutes. The tissues were blocked in 1% BSA for 20 minutes at room temperature, washed with ddH2O and PBS, and then probed with the primary antibody (NBP3-32576) at 1/800 dilution for 1 hour at room temperature. The detection was performed using an HRP conjugated compact polymer system. DAB was used as the chromogen. Tissues were counterstained with hematoxylin and mounted with DPX.
Immunocytochemistry/ Immunofluorescence: MCM2 Antibody (PD00-90) [NBP3-32576]
Immunocytochemistry/ Immunofluorescence: MCM2 Antibody (PD00-90) [NBP3-32576] - Immunocytochemistry analysis of LOVO cells labeling MCM2 with Rabbit anti-MCM2 antibody (NBP3-32576) at 1/50 dilution.Cells were fixed in 4% paraformaldehyde for 10 minutes at 37 ℃, permeabilized with 0.05% Triton X-100 in PBS for 20 minutes, and then blocked with 2% negative goat serum for 30 minutes at room temperature. Cells were then incubated with Rabbit anti-MCM2 antibody (NBP3-32576) at 1/50 dilution in 2% negative goat serum overnight at 4 ℃. Goat Anti-Rabbit IgG H&L (iFluor™ 488) was used as the secondary antibody at 1/1,000 dilution. PBS instead of the primary antibody was used as the secondary antibody only control. Nuclear DNA was labelled in blue with DAPI.
Applications for MCM2 Antibody (PD00-90)
Application
Recommended Usage
Flow Cytometry
1:500-1:1000
Immunocytochemistry/ Immunofluorescence
1:50
Immunohistochemistry-Paraffin
1:800-1:2000
Western Blot
1:2000
Formulation, Preparation, and Storage
Purification
Protein A purified
Formulation
PBS (pH7.4), 0.1% BSA and 40% Glycerol
Preservative
0.05% Sodium Azide
Concentration
Please see the vial label for concentration. If unlisted please contact technical services.
Shipping
The product is shipped with polar packs. Upon receipt, store it immediately at the temperature recommended below.
Stability & Storage
Store at 4C short term. Aliquot and store at -20C long term. Avoid freeze-thaw cycles.
Background: MCM2
Long Name
Minichromosome Maintenance Protein 2
Alternate Names
BM28, CCNL1, cdc19, CDCL1, D3S3194, Mitotin
Gene Symbol
MCM2
Additional MCM2 Products
Product Documents for MCM2 Antibody (PD00-90)
Product Specific Notices for MCM2 Antibody (PD00-90)
This product is for research use only and is not approved for use in humans or in clinical diagnosis. Primary Antibodies are guaranteed for 1 year from date of receipt.
Loading...
Loading...
Loading...
Loading...
Loading...