Skip to main content

MAPKAPK2 Antibody (4H8) - BSA Free

Novus Biologicals, part of Bio-Techne | Catalog # NBP3-15173

Recombinant monoclonal antibody expressed in HEK293F cells
Novus Biologicals, part of Bio-Techne
Catalog #
Availability
Size / Price
Qty
Loading...
NBP3-15173

Key Product Details

Species Reactivity

Human

Applications

ELISA, Immunohistochemistry, Western Blot

Label

Unconjugated

Antibody Source

Recombinant Monoclonal Rabbit IgG Clone # 4H8 expressed in HEK293

Format

BSA Free

Concentration

Please see the vial label for concentration. If unlisted please contact technical services.

Product Specifications

Immunogen

A synthesized peptide derived from human MAPKAPK2. UniProt ID (P49137).

Clonality

Monoclonal

Host

Rabbit

Isotype

IgG

Description

Novus Biologicals Rabbit MAPKAPK2 Antibody (4H8) - BSA Free (NBP3-15173) is a recombinant monoclonal antibody validated for use in IHC, WB and ELISA. All Novus Biologicals antibodies are covered by our 100% guarantee.

Scientific Data Images for MAPKAPK2 Antibody (4H8) - BSA Free

Western Blot: MAPKAPK2 Antibody (4H8) [NBP3-15173]

Western Blot: MAPKAPK2 Antibody (4H8) [NBP3-15173]

Western Blot: MAPKAPK2 Antibody (4H8) [NBP3-15173] - Positive WB detected in: Hela whole cell lysate, HEK293 whole cell lysate, THP-1 whole cell lysate. All lanes: MAPKAPK2 antibody at 1:1000. Secondary: Goat polyclonal to rabbit IgG at 1/50000 dilution. Predicted band size: 46, 43 KDa. Observed band size: 49 KDa.
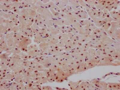
Immunohistochemistry: MAPKAPK2 Antibody (4H8) [NBP3-15173]

Immunohistochemistry: MAPKAPK2 Antibody (4H8) [NBP3-15173]

Immunohistochemistry: MAPKAPK2 Antibody (4H8) [NBP3-15173] - IHC image of MAPKAPK2 antibody diluted at 1:100 and staining in paraffin-embedded human heart tissue. After dewaxing and hydration, antigen retrieval was mediated by high pressure in a citrate buffer (pH 6.0). Section was blocked with 10% normal goat serum 30 minutes at RT. Then primary antibody (1% BSA) was incubated at 4C overnight. The primary is detected by a Goat anti-rabbit IgG polymer labeled by HRP and visualized using 0.05% DAB.
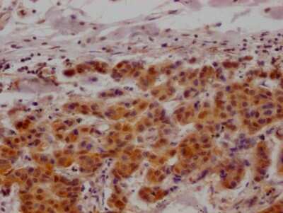
Immunohistochemistry: MAPKAPK2 Antibody (4H8) [NBP3-15173]

Immunohistochemistry: MAPKAPK2 Antibody (4H8) [NBP3-15173]

Immunohistochemistry: MAPKAPK2 Antibody (4H8) [NBP3-15173] - IHC image of MAPKAPK2 antibody diluted at 1:100 and staining in paraffin-embedded human breast cancer. After dewaxing and hydration, antigen retrieval was mediated by high pressure in a citrate buffer (pH 6.0). Section was blocked with 10% normal goat serum 30 minutes at RT. Then primary antibody (1% BSA) was incubated at 4C overnight. The primary is detected by a Goat anti-rabbit IgG polymer labeled by HRP and visualized using 0.05% DAB.

Applications for MAPKAPK2 Antibody (4H8) - BSA Free

Application
Recommended Usage

Immunohistochemistry

1:50-1:200

Western Blot

1:500-1:5000

Formulation, Preparation, and Storage

Purification

Affinity purified

Formulation

PBS, pH 7.4, 150mM NaCl, and 50% glycerol

Format

BSA Free

Preservative

0.02% Sodium Azide

Concentration

Please see the vial label for concentration. If unlisted please contact technical services.

Shipping

The product is shipped with polar packs. Upon receipt, store it immediately at the temperature recommended below.

Stability & Storage

Store at -20 to -70C. Avoid freeze-thaw cycles.

Background: MAPKAPK2

MAPKAP Kinase 2 encodes a member of the Ser/Thr protein kinase family. This kinase is regulated through direct phosphorylation by p38 MAP kinase. In conjunction with p38 MAP kinase, this kinase is known to be involved in many cellular processes including stress and inflammatory responses, nuclear export, gene expression regulation and cell proliferation. Heat shock protein HSP27 was shown to be one of the substrates of this kinase in vivo. Two transcript variants encoding two different isoforms have been found for this gene.

Long Name

Mitogen-Activated Protein Kinase-Activated Protein Kinase 2

Alternate Names

MK2, Rps6kc1

Gene Symbol

MAPKAPK2

Additional MAPKAPK2 Products

Product Documents for MAPKAPK2 Antibody (4H8) - BSA Free

Certificate of Analysis

To download a Certificate of Analysis, please enter a lot number in the search box below.

Product Specific Notices for MAPKAPK2 Antibody (4H8) - BSA Free

This product is for research use only and is not approved for use in humans or in clinical diagnosis. Primary Antibodies are guaranteed for 1 year from date of receipt.

Loading...
Loading...
Loading...
Loading...