Skip to main content

MAGEB18 Antibody (OTI1H2)

Novus Biologicals, part of Bio-Techne | Catalog # NBP2-45721

Novus Biologicals, part of Bio-Techne

Key Product Details

Species Reactivity

Human

Applications

Immunohistochemistry, Immunohistochemistry-Paraffin, Western Blot

Label

Unconjugated

Antibody Source

Monoclonal Mouse IgG1 Clone # OTI1H2

Concentration

1 mg/ml

Product Specifications

Immunogen

Full length human recombinant protein of human MAGEB18(NP_775970) produced in HEK293T cell.

Clonality

Monoclonal

Host

Mouse

Isotype

IgG1

Theoretical MW

38.3 kDa.
Disclaimer note: The observed molecular weight of the protein may vary from the listed predicted molecular weight due to post translational modifications, post translation cleavages, relative charges, and other experimental factors.

Description

Novus Biologicals Mouse MAGEB18 Antibody (OTI1H2) (NBP2-45721) is a monoclonal antibody validated for use in IHC and WB. All Novus Biologicals antibodies are covered by our 100% guarantee.

Scientific Data Images for MAGEB18 Antibody (OTI1H2)

Western Blot: MAGEB18 Antibody (OTI1H2) [NBP2-45721]

Western Blot: MAGEB18 Antibody (OTI1H2) [NBP2-45721]

Western Blot: MAGEB18 Antibody (1H2) [NBP2-45721] - Analysis of HEK293T cells were transfected with the pCMV6-ENTRY control (Left lane) or pCMV6-ENTRY MAGEB18.
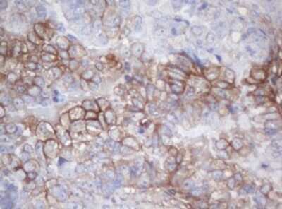
Immunohistochemistry: MAGEB18 Antibody (OTI1H2) [NBP2-45721]

Immunohistochemistry: MAGEB18 Antibody (OTI1H2) [NBP2-45721]

Immunohistochemistry: MAGEB18 Antibody (1H2) [NBP2-45721] - Analysis of Adenocarcinoma of Human ovary tissue. (Heat-induced epitope retrieval by 10mM citric buffer, pH6.0, 120C for 3min)

Applications for MAGEB18 Antibody (OTI1H2)

Application
Recommended Usage

Immunohistochemistry

1:500

Western Blot

1:2000

Formulation, Preparation, and Storage

Purification

Immunogen affinity purified

Formulation

PBS (pH 7.3), 1.0% BSA and 50% Glycerol

Preservative

0.02% Sodium Azide

Concentration

1 mg/ml

Shipping

The product is shipped with polar packs. Upon receipt, store it immediately at the temperature recommended below.

Stability & Storage

Store at -20C. Avoid freeze-thaw cycles.

Background: MAGEB18

Alternate Names

MAGE-B18 antigen, melanoma antigen family B, 18, melanoma-associated antigen B18, MGC33889

Gene Symbol

MAGEB18

Additional MAGEB18 Products

Product Documents for MAGEB18 Antibody (OTI1H2)

Certificate of Analysis

To download a Certificate of Analysis, please enter a lot number in the search box below.

Product Specific Notices for MAGEB18 Antibody (OTI1H2)

This product is for research use only and is not approved for use in humans or in clinical diagnosis. Primary Antibodies are guaranteed for 1 year from date of receipt.

Loading...
Loading...
Loading...
Loading...