Skip to main content

LSG1 Antibody - BSA Free

Novus Biologicals, part of Bio-Techne | Catalog # NBP3-45998

Novus Biologicals, part of Bio-Techne
Catalog #
Availability
Size / Price
Qty
Loading...
NBP3-45998

Key Product Details

Species Reactivity

Human, Mouse, Rat

Applications

Immunohistochemistry, Western Blot, ELISA

Label

Unconjugated

Antibody Source

Polyclonal Rabbit IgG

Format

BSA Free

Concentration

Please see the vial label for concentration. If unlisted please contact technical services.

Product Specifications

Immunogen

large subunit GTPase 1 homolog. (Uniprot# Q9H089)

Clonality

Polyclonal

Host

Rabbit

Isotype

IgG

Theoretical MW

75 kDa.
Disclaimer note: The observed molecular weight of the protein may vary from the listed predicted molecular weight due to post translational modifications, post translation cleavages, relative charges, and other experimental factors.

Description

Novus Biologicals Rabbit LSG1 Antibody - BSA Free (NBP3-45998) is a polyclonal antibody validated for use in IHC, WB and ELISA. All Novus Biologicals antibodies are covered by our 100% guarantee.

Scientific Data Images for LSG1 Antibody - BSA Free

LSG1 Antibody - BSA Free

Western Blot: LSG1 Antibody - BSA Free [NBP3-45998] -

Western Blot: LSG1 Antibody - BSA Free [NBP3-45998] - HeLa cells were subjected to SDS PAGE followed by western blot with (LSG1 antibody) at dilution of 1:500
LSG1 Antibody - BSA Free

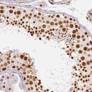
Immunohistochemistry: LSG1 Antibody - BSA Free [NBP3-45998] -

Immunohistochemistry: LSG1 Antibody - BSA Free [NBP3-45998] - Immunohistochemistry of paraffin-embedded human testis using (LSG1 antibody) at dilution of 1:50

Applications for LSG1 Antibody - BSA Free

Application
Recommended Usage

Immunohistochemistry

1:20-1:200

Western Blot

1:500-1:2000

Formulation, Preparation, and Storage

Purification

Immunogen affinity purified

Formulation

PBS, 50% Glycerol, pH (7.3)

Format

BSA Free

Preservative

0.02% Sodium Azide

Concentration

Please see the vial label for concentration. If unlisted please contact technical services.

Shipping

The product is shipped with polar packs. Upon receipt, store it immediately at the temperature recommended below.

Stability & Storage

Store at -20C. Avoid freeze-thaw cycles.

Background: LSG1

The LSG1 gene encodes a protein related to the yeast large subunit GTPase 1. The encoded protein is necessary for cell viability and may localize in the endoplasmic reticulum, nucleus and cytoplasm.

Alternate Names

EC 3.6.1, EC 3.6.1.-, FLJ11301, FLJ27294, hLsg1, large subunit GTPase 1 homolog, large subunit GTPase 1 homolog (S. cerevisiae)

Gene Symbol

LSG1

Additional LSG1 Products

Product Documents for LSG1 Antibody - BSA Free

Certificate of Analysis

To download a Certificate of Analysis, please enter a lot number in the search box below.

Product Specific Notices for LSG1 Antibody - BSA Free

This product is for research use only and is not approved for use in humans or in clinical diagnosis. Primary Antibodies are guaranteed for 1 year from date of receipt.

Loading...
Loading...
Loading...
Loading...