Skip to main content

LRRN1/NLRR-1 Antibody - BSA Free

Novus Biologicals, part of Bio-Techne | Catalog # NBP1-83896

Novus Biologicals, part of Bio-Techne
Catalog #
Availability
Size / Price
Qty
Loading...
NBP1-83896
NBP1-83896-25ul

Key Product Details

Validated by

Orthogonal Validation

Species Reactivity

Validated:

Human

Predicted:

Mouse (94%), Rat (94%). Backed by our 100% Guarantee.

Applications

Immunohistochemistry, Immunohistochemistry-Paraffin, Western Blot

Label

Unconjugated

Antibody Source

Polyclonal Rabbit IgG

Format

BSA Free

Concentration

Concentrations vary lot to lot. See vial label for concentration. If unlisted please contact technical services.

Product Specifications

Immunogen

This antibody was developed against Recombinant Protein corresponding to amino acids: NSNKTNIRFMEPLSMFCAMPPEYKGHQVKEVLIQDSSEQCLPMISHDSFPNRLNVDIGTTVFLDCRAMAEPEPEIYWVTPIGNKITVETLSDKYKLSSEGTLEISNIQIEDSGRYTCVAQNVQGAD

Clonality

Polyclonal

Host

Rabbit

Isotype

IgG

Scientific Data Images for LRRN1/NLRR-1 Antibody - BSA Free

LRRN1/NLRR-1 Antibody - BSA Free Immunohistochemistry-Paraffin: LRRN1/NLRR-1 Antibody - BSA Free [NBP1-83896]

Immunohistochemistry-Paraffin: LRRN1/NLRR-1 Antibody - BSA Free [NBP1-83896]

Staining of human lymph node shows no positivity in non-germinal center cells as expected.
LRRN1/NLRR-1 Antibody - BSA Free Immunohistochemistry-Paraffin: LRRN1/NLRR-1 Antibody - BSA Free [NBP1-83896]

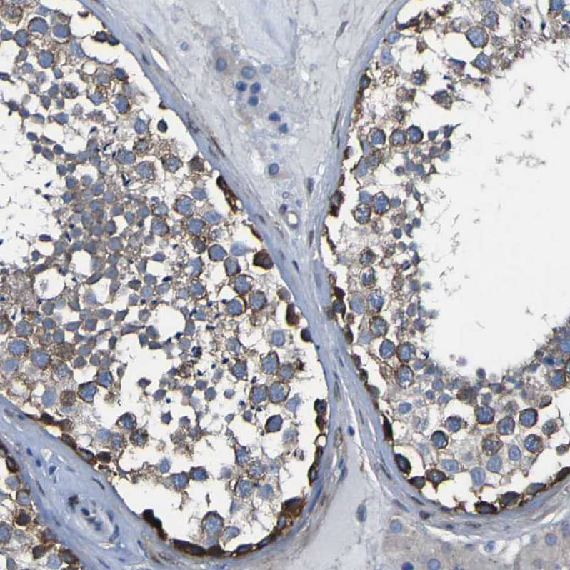
Immunohistochemistry-Paraffin: LRRN1/NLRR-1 Antibody - BSA Free [NBP1-83896]

Staining of human testis shows strong membranous positivity in cells in seminiferous ducts.
LRRN1/NLRR-1 Antibody - BSA Free Immunohistochemistry-Paraffin: LRRN1/NLRR-1 Antibody - BSA Free [NBP1-83896]

Immunohistochemistry-Paraffin: LRRN1/NLRR-1 Antibody - BSA Free [NBP1-83896]

Staining of human cerebral cortex shows strong cytoplasmic positivity in neurons.

Applications for LRRN1/NLRR-1 Antibody - BSA Free

Application
Recommended Usage

Immunohistochemistry

1:200 - 1:500

Immunohistochemistry-Paraffin

1:200 - 1:500

Western Blot

0.04-0.4 ug/ml
Application Notes
For IHC-Paraffin, HIER pH 6 retrieval is recommended.

Formulation, Preparation, and Storage

Purification

Affinity purified

Formulation

PBS (pH 7.2) and 40% Glycerol

Format

BSA Free

Preservative

0.02% Sodium Azide

Concentration

Concentrations vary lot to lot. See vial label for concentration. If unlisted please contact technical services.

Shipping

The product is shipped with polar packs. Upon receipt, store it immediately at the temperature recommended below.

Stability & Storage

Store at 4C short term. Aliquot and store at -20C long term. Avoid freeze-thaw cycles.

Background: LRRN1/NLRR-1

LRRN1 (Leucine-rich repeat neuronal protein 1; NLRR1) is a 95 kDa member of the neuronal LRR family of proteins. It is a cell-surface glycoprotein that is expressed on embryonic motor neurons and somatic myoblasts. Human LRRN1 is 716 amino acids (aa) in length. It is a type I transmembrane protein that contains a 606 aa extracellular region (aa 26 - 631) and a short 64 aa cytoplasmic tail. The extracellular region shows eleven LRRs (aa 94 - 384) that mediate protein-protein interactions, one C2-type Ig-like domain and one fibronectin type III domain. There is one potential alternate start site at Met286. Over aa 26 - 631, human LRRN1 shares 96% aa identity with mouse LRRN1.

Long Name

Leucine-rich Repeat Neuronal 1

Alternate Names

FIGLER3, LRN, NLRR-1, NLRR1

Gene Symbol

LRRN1

Additional LRRN1/NLRR-1 Products

Product Documents for LRRN1/NLRR-1 Antibody - BSA Free

Certificate of Analysis

To download a Certificate of Analysis, please enter a lot number in the search box below.

Product Specific Notices for LRRN1/NLRR-1 Antibody - BSA Free

This product is for research use only and is not approved for use in humans or in clinical diagnosis. Primary Antibodies are guaranteed for 1 year from date of receipt.

Loading...
Loading...
Loading...
Loading...