Skip to main content

Lipocalin-1 Antibody - BSA Free

Novus Biologicals, part of Bio-Techne | Catalog # NBP2-19362

Novus Biologicals, part of Bio-Techne
Catalog #
Availability
Size / Price
Qty
Loading...
NBP2-19362

Key Product Details

Species Reactivity

Validated:

Human

Predicted:

Rhesus Macaque (90%). Backed by our 100% Guarantee.

Applications

Immunohistochemistry, Immunohistochemistry-Paraffin, Western Blot

Label

Unconjugated

Antibody Source

Polyclonal Rabbit IgG

Format

BSA Free

Concentration

Concentrations vary lot to lot. See vial label for concentration. If unlisted please contact technical services.

Product Specifications

Immunogen

Recombinant protein encompassing a sequence within the center region of human Lipocalin-1. The exact sequence is proprietary.

Localization

Secreted

Clonality

Polyclonal

Host

Rabbit

Isotype

IgG

Theoretical MW

19 kDa.
Disclaimer note: The observed molecular weight of the protein may vary from the listed predicted molecular weight due to post translational modifications, post translation cleavages, relative charges, and other experimental factors.

Description

Novus Biologicals Rabbit Lipocalin-1 Antibody - BSA Free (NBP2-19362) is a polyclonal antibody validated for use in IHC and WB. All Novus Biologicals antibodies are covered by our 100% guarantee.

Scientific Data Images for Lipocalin-1 Antibody - BSA Free

Western Blot: Lipocalin-1 Antibody [NBP2-19362]

Western Blot: Lipocalin-1 Antibody [NBP2-19362]

Western Blot: Lipocalin-1 Antibody [NBP2-19362] - Sample (30 ug of whole cell lysate) A: Hela 12% SDS PAGE gel, diluted at 1:1000.
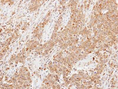
Immunohistochemistry-Paraffin: Lipocalin-1 Antibody [NBP2-19362]

Immunohistochemistry-Paraffin: Lipocalin-1 Antibody [NBP2-19362]

Immunohistochemistry-Paraffin: Lipocalin-1 Antibody [NBP2-19362] - Immunohistochemical analysis of paraffin-embedded PC13 xenograft, using antibody at 1:250 dilution.

Applications for Lipocalin-1 Antibody - BSA Free

Application
Recommended Usage

Immunohistochemistry

1:100-1:1000

Immunohistochemistry-Paraffin

1:100-1:1000

Western Blot

1:500-1:3000

Formulation, Preparation, and Storage

Purification

Antigen Affinity-purified

Formulation

0.1M Tris, 0.1M Glycine, 20% Glycerol

Format

BSA Free

Preservative

0.01% Thimerosal

Concentration

Concentrations vary lot to lot. See vial label for concentration. If unlisted please contact technical services.

Shipping

The product is shipped with polar packs. Upon receipt, store it immediately at the temperature recommended below.

Stability & Storage

Aliquot and store at -20C or -80C. Avoid freeze-thaw cycles.

Background: Lipocalin-1

The protein encoded by this gene belongs to the lipocalin family. Lipocalins are a group of extracellular proteins that are able to bind lipophiles by enclosure within their structures to minimize solvent contact. This protein may bind hydrophobic ligands and inhibit cysteine proteinases. It may also play a role in taste reception. [provided by RefSeq]

Alternate Names

LCN1, Lipocalin1, Tear Prealbumin, VEGP

Gene Symbol

LCN1

UniProt

Additional Lipocalin-1 Products

Product Documents for Lipocalin-1 Antibody - BSA Free

Certificate of Analysis

To download a Certificate of Analysis, please enter a lot number in the search box below.

Product Specific Notices for Lipocalin-1 Antibody - BSA Free

This product is for research use only and is not approved for use in humans or in clinical diagnosis. Primary Antibodies are guaranteed for 1 year from date of receipt.

Loading...
Loading...
Loading...
Loading...

⚠ WARNING: This product can expose you to chemicals including mercury, which is known to the State of California to cause reproductive toxicity with developmental effects.  For more information go to www.P65Warnings.ca.gov.