Skip to main content

LHX9 Antibody (CL15043) - Azide and BSA Free

Novus Biologicals, part of Bio-Techne | Catalog # NBP3-44343

Novus Biologicals, part of Bio-Techne

Key Product Details

Species Reactivity

Human, Mouse, Rat

Applications

Immunohistochemistry-Paraffin

Label

Unconjugated

Antibody Source

Monoclonal Mouse IgG1 Clone # CL15043

Format

Azide and BSA Free

Concentration

LYOPH mg/ml

Product Specifications

Immunogen

This antibody was generated using a synthetic peptide of Q9NQ69, with the exact immunogen sequence remaining proprietary.

Clonality

Monoclonal

Host

Mouse

Isotype

IgG1

Description

Novus Biologicals Mouse LHX9 Antibody (CL15043) - Azide and BSA Free (NBP3-43646) is a monoclonal antibody validated for use in IHC. All Novus Biologicals antibodies are covered by our 100% guarantee.

Scientific Data Images for LHX9 Antibody (CL15043) - Azide and BSA Free

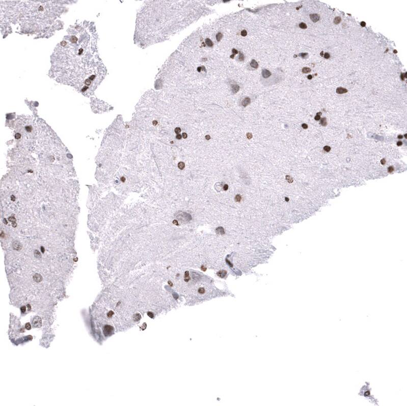
LHX9 Antibody (CL15043) - Azide and BSA Free Immunohistochemistry-Paraffin: LHX9 Antibody [NBP3-44343]

Immunohistochemistry-Paraffin: LHX9 Antibody [NBP3-44343]

Staining of human astrocytoma shows strong nuclear positivity in tumor cells.
LHX9 Antibody (CL15043) - Azide and BSA Free Immunohistochemistry-Paraffin: LHX9 Antibody [NBP3-44343]

Immunohistochemistry-Paraffin: LHX9 Antibody [NBP3-44343]

Staining of human cerebral cortex shows moderate to strong nuclear positivity in neurons and glial cells.
LHX9 Antibody (CL15043) - Azide and BSA Free Immunohistochemistry-Paraffin: LHX9 Antibody [NBP3-44343]

Immunohistochemistry-Paraffin: LHX9 Antibody [NBP3-44343]

Staining of human placenta shows no positivity in trophoblastic cells as expected.

Applications for LHX9 Antibody (CL15043) - Azide and BSA Free

Application
Recommended Usage

Immunohistochemistry-Paraffin

1:500-1:1000
Application Notes
For IHC-Paraffin, HIER pH 6 retrieval is recommended.

Formulation, Preparation, and Storage

Purification

Protein A purified

Reconstitution

Centrifuge the vial of lyophilized antibody at 12,000 x g for 20 seconds. Reconstitute by adding sterile, distilled water to achieve a final antibody concentration of 1mg/ml.

Formulation

Lyophilized from a 0.2 um filtered solution in PBS with Trehalose

Format

Azide and BSA Free

Preservative

No Preservative

Concentration

LYOPH mg/ml

Shipping

The product is shipped at ambient temperature. Upon receipt, store it immediately at the temperature recommended below.

Stability & Storage

Store at 4C short term. Aliquot and store at -20C long term. Avoid freeze-thaw cycles.

Background: LHX9

The LHX9 gene encodes a protien of the LIM homeobox gene family of transcription factors. The encoded protien contains a homeodomain an two zinc binding LIM domains which are used in interactions between protiens. This protien is similar to a inactivated protien in a mouse that causes gonadal agenesis.

Alternate Names

LIM homeobox 9, LIM homeobox protein 9, LIM/homeobox protein Lhx9

Gene Symbol

LHX9

Additional LHX9 Products

Product Documents for LHX9 Antibody (CL15043) - Azide and BSA Free

Certificate of Analysis

To download a Certificate of Analysis, please enter a lot number in the search box below.

Product Specific Notices for LHX9 Antibody (CL15043) - Azide and BSA Free

This product is for research use only and is not approved for use in humans or in clinical diagnosis. Primary Antibodies are guaranteed for 1 year from date of receipt.

Loading...
Loading...
Loading...
Loading...
Loading...