Skip to main content

Lhx4 Antibody - BSA Free

Novus Biologicals, part of Bio-Techne | Catalog # NBP3-38503

Novus Biologicals, part of Bio-Techne
Catalog #
Availability
Size / Price
Qty
Loading...
NBP3-38503-20ul
NBP3-38503-100ul

Key Product Details

Species Reactivity

Human, Mouse, Rat

Applications

Immunohistochemistry, Immunohistochemistry-Paraffin, Western Blot, ELISA

Label

Unconjugated

Antibody Source

Polyclonal Rabbit IgG

Format

BSA Free

Concentration

Please see the vial label for concentration. If unlisted please contact technical services.

Product Specifications

Immunogen

Recombinant fusion protein containing a sequence corresponding to amino acids 121-390 of human Lhx4 (NP_203129.1).

Sequence:
NRQLATGDEFYLMEDGRLVCKEDYETAKQNDDSEAGAKRPRTTITAKQLETLKNAYKNSPKPARHVREQLSSETGLDMRVVQVWFQNRRAKEKRLKKDAGRHRWGQFYKSVKRSRGSSKQEKESSAEDCGVSDSELSFREDQILSELGHTNRIYGNVGDVTGGQLMNGSFSMDGTGQSYQDLRDGSPYGIPQSPSSISSLPSHAPLLNGLDYTVDSNLGIIAHAGQGVSQTLRAMAGGPTSDISTGSSVGYPDFPTSPGSWLDEMDHPPF

Clonality

Polyclonal

Host

Rabbit

Isotype

IgG

Theoretical MW

43 kDa.
Disclaimer note: The observed molecular weight of the protein may vary from the listed predicted molecular weight due to post translational modifications, post translation cleavages, relative charges, and other experimental factors.

Description

Novus Biologicals Rabbit Lhx4 Antibody - BSA Free (NBP3-38503) is a polyclonal antibody validated for use in IHC, WB and ELISA. All Novus Biologicals antibodies are covered by our 100% guarantee.

Scientific Data Images for Lhx4 Antibody - BSA Free

Lhx4 Antibody

Western Blot: Lhx4 Antibody [NBP3-38503] -

Western Blot: Lhx4 Antibody [NBP3-38503] - Western blot analysis of various lysates using Lhx4 Rabbit pAb at 1:1000 dilution.
Secondary antibody: HRP-conjugated Goat anti-Rabbit IgG (H+L) at 1:10000 dilution.
Lysates/proteins: 25ug per lane.
Blocking buffer: 3% nonfat dry milk in TBST.
Detection: ECL Basic Kit.
Exposure time: 90s.
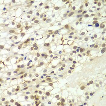
Lhx4 Antibody

Immunohistochemistry: Lhx4 Antibody [NBP3-38503] -

Immunohistochemistry: Lhx4 Antibody [NBP3-38503] - Immunohistochemistry analysis of paraffin-embedded Mouse cancer using Lhx4 Rabbit pAb at dilution of 1:100 (40x lens). Microwave antigen retrieval performed with 0.01M PBS Buffer (pH 7.2) prior to IHC staining.
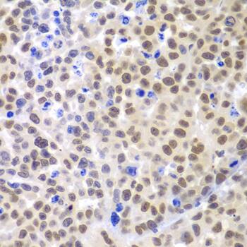
Lhx4 Antibody

Immunohistochemistry: Lhx4 Antibody [NBP3-38503] -

Immunohistochemistry: Lhx4 Antibody [NBP3-38503] - Immunohistochemistry analysis of paraffin-embedded Human kidney cancer using Lhx4 Rabbit pAb at dilution of 1:100 (40x lens). Microwave antigen retrieval performed with 0.01M PBS Buffer (pH 7.2) prior to IHC staining.

Applications for Lhx4 Antibody - BSA Free

Application
Recommended Usage

ELISA

Recommended starting concentration is 1 μg/mL.

Immunohistochemistry-Paraffin

1:50 - 1:200

Western Blot

1:500 - 1:2000

Formulation, Preparation, and Storage

Purification

Affinity purified

Formulation

PBS (pH 7.3), 50% glycerol

Format

BSA Free

Preservative

0.02% Sodium Azide

Concentration

Please see the vial label for concentration. If unlisted please contact technical services.

Shipping

The product is shipped with polar packs. Upon receipt, store it immediately at the temperature recommended below.

Stability & Storage

Store at -20C. Avoid freeze-thaw cycles.

Background: Lhx4

Lhx4 encodes a member of a large protein family which contains the LIM domain, a unique cysteine-rich zinc-binding domain. The encoded protein may function as a transcriptional regulator and be involved in control of differentiation and development of the pituitary gland. Mutations in this gene are associated with syndromic short stature and pituitary and hindbrain defects. An alternative splice variant has been described but its biological nature has not been determined.

Alternate Names

CPHD4, FLJ22769, Gsh4, LIM homeobox 4, LIM homeobox protein 4, LIM/homeobox protein Lhx4

Gene Symbol

LHX4

Additional Lhx4 Products

Product Documents for Lhx4 Antibody - BSA Free

Certificate of Analysis

To download a Certificate of Analysis, please enter a lot number in the search box below.

Product Specific Notices for Lhx4 Antibody - BSA Free

This product is for research use only and is not approved for use in humans or in clinical diagnosis. Primary Antibodies are guaranteed for 1 year from date of receipt.

Loading...
Loading...
Loading...
Loading...