Skip to main content

LGTN Antibody - BSA Free

Novus Biologicals, part of Bio-Techne | Catalog # NBP1-81308

Novus Biologicals, part of Bio-Techne
Catalog #
Availability
Size / Price
Qty
Loading...
NBP1-81308

Key Product Details

Species Reactivity

Human

Applications

Immunohistochemistry, Immunohistochemistry-Paraffin, Western Blot, Immunocytochemistry/ Immunofluorescence

Label

Unconjugated

Antibody Source

Polyclonal Rabbit IgG

Format

BSA Free

Concentration

Concentrations vary lot to lot. See vial label for concentration. If unlisted please contact technical services.

Product Specifications

Immunogen

This antibody was developed against Recombinant Protein corresponding to amino acids: HQAREDKSLSEAPEDTSTRGLNQDSTDSKTLQEQMDELLQQCFLHALKCRVKKADLPLLTSTFLGSHMFSCCPEGRQLDIKKSSYKKLSKFLQQMQQEQ

Clonality

Polyclonal

Host

Rabbit

Isotype

IgG

Scientific Data Images for LGTN Antibody - BSA Free

Immunocytochemistry/ Immunofluorescence: LGTN Antibody [NBP1-81308]

Immunocytochemistry/ Immunofluorescence: LGTN Antibody [NBP1-81308]

Immunocytochemistry/Immunofluorescence: LGTN Antibody [NBP1-81308] - Immunofluorescent staining of human cell line U-2 OS shows localization to nuclear bodies & cytosol.
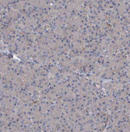
Immunohistochemistry-Paraffin: LGTN Antibody [NBP1-81308]

Immunohistochemistry-Paraffin: LGTN Antibody [NBP1-81308]

Immunohistochemistry-Paraffin: LGTN Antibody [NBP1-81308] - Staining of human liver shows strong cytoplasmic positivity in hepatocytes.
LGTN Antibody

Western Blot: LGTN Antibody [NBP1-81308] -

Western Blot: LGTN Antibody [NBP1-81308] -Analysis in human cell line RPMI-8226.

Applications for LGTN Antibody - BSA Free

Application
Recommended Usage

Immunocytochemistry/ Immunofluorescence

0.25-2 ug/ml

Immunohistochemistry

1:20 - 1:50

Immunohistochemistry-Paraffin

1:20 - 1:50

Western Blot

0.04-0.4 ug/ml
Application Notes
For IHC-Paraffin, HIER pH 6 retrieval is recommended. ICC/IF,Fixation Permeabilization: Use PFA/Triton X-100.

Formulation, Preparation, and Storage

Purification

Affinity purified

Formulation

PBS (pH 7.2) and 40% Glycerol

Format

BSA Free

Preservative

0.02% Sodium Azide

Concentration

Concentrations vary lot to lot. See vial label for concentration. If unlisted please contact technical services.

Shipping

The product is shipped with polar packs. Upon receipt, store it immediately at the temperature recommended below.

Stability & Storage

Store at 4C short term. Aliquot and store at -20C long term. Avoid freeze-thaw cycles.

Background: LGTN

LGTN encodes a protein receptor that localizes phosphoglycoproteins within endosomes and at the cell periphery. This trafficking receptor for phosphoglycoproteins may play a role in neuroplasticity by modulating cell-cell interactions, intracellular adhesion, and protein binding at membrane surfaces. In hippocampal neurons, long-lasting down-regulation of ligatin mRNA levels occurs via post-transcriptional RNA processing following glutamate receptor activation. This protein contains single PUA and SUI1 domains and these domains may function in RNA binding and translation initiation, respectively. [provided by RefSeq]

Alternate Names

eukaryotic translation initiation factor 2D, HCA56eIF2d, Hepatocellular carcinoma-associated antigen 56, LGTNLigatin, ligatin

Gene Symbol

EIF2D

Additional LGTN Products

Product Documents for LGTN Antibody - BSA Free

Certificate of Analysis

To download a Certificate of Analysis, please enter a lot number in the search box below.

Product Specific Notices for LGTN Antibody - BSA Free

This product is for research use only and is not approved for use in humans or in clinical diagnosis. Primary Antibodies are guaranteed for 1 year from date of receipt.

Loading...
Loading...
Loading...
Loading...