Skip to main content

Lgi1 Antibody - BSA Free

Novus Biologicals, part of Bio-Techne | Catalog # NBP1-77320

Novus Biologicals, part of Bio-Techne

Key Product Details

Species Reactivity

Validated:

Human, Mouse, Rat

Predicted:

Bovine (93%). Backed by our 100% Guarantee.

Applications

Immunohistochemistry, Immunohistochemistry-Paraffin, Western Blot, ELISA, Immunocytochemistry/ Immunofluorescence

Label

Unconjugated

Antibody Source

Polyclonal Rabbit IgG

Format

BSA Free

Concentration

1 mg/ml

Product Specifications

Immunogen

Antibody was raised against a 14 amino acid synthetic peptide from near the center of human LGI1. The immunogen is located within amino acids 370 - 420 of LGI1. Amino Acid Squence: LEIVRTPQTLRTPH

Specificity

This LGI1 antibody is predicted to be specific to LGI1 and not recognize other LGI proteins.

Clonality

Polyclonal

Host

Rabbit

Isotype

IgG

Description

Novus Biologicals Rabbit Lgi1 Antibody - BSA Free (NBP1-77320) is a polyclonal antibody validated for use in IHC, WB, ELISA and ICC/IF. All Novus Biologicals antibodies are covered by our 100% guarantee.

Scientific Data Images for Lgi1 Antibody - BSA Free

Western Blot: Lgi1 AntibodyBSA Free [NBP1-77320]

Western Blot: Lgi1 AntibodyBSA Free [NBP1-77320]

Western Blot: Lgi1 Antibody [NBP1-77320] - HeLa cell lysate with LGI1 antibody at 2 ug/ml.
Lgi1 Antibody - BSA Free

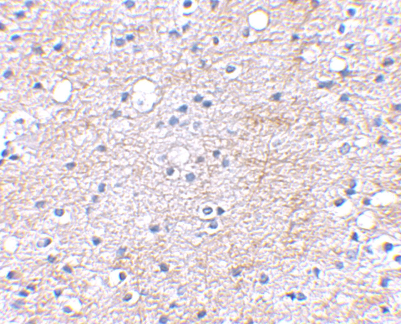
Immunohistochemistry: Lgi1 Antibody - BSA Free [NBP1-77320] -

Immunohistochemistry: Lgi1 Antibody - BSA Free [NBP1-77320] - Immunohistochemical staining of human brain tissue using Lgi1 antibody at 2.5 u/mL.
Lgi1 Antibody - BSA Free

Immunocytochemistry/ Immunofluorescence: Lgi1 Antibody - BSA Free [NBP1-77320] -

Immunocytochemistry/ Immunofluorescence: Lgi1 Antibody - BSA Free [NBP1-77320] - Immunofluorescence of Lgi1 in Human Brain cells with Lgi1 antibody at 20 ug/mL.

Applications for Lgi1 Antibody - BSA Free

Application
Recommended Usage

ELISA

1:100-1:2000

Immunocytochemistry/ Immunofluorescence

20 ug/ml

Immunohistochemistry

2.5 ug/ml

Immunohistochemistry-Paraffin

2.5 ug/ml

Western Blot

2 ug/ml

Formulation, Preparation, and Storage

Purification

Peptide affinity purified

Formulation

PBS

Format

BSA Free

Preservative

0.02% Sodium Azide

Concentration

1 mg/ml

Shipping

The product is shipped with polar packs. Upon receipt, store it immediately at the temperature recommended below.

Stability & Storage

Store at 4C short term. Aliquot and store at -20C long term. Avoid freeze-thaw cycles.

Background: LGI1

The leucine-rich, glioma inactivated gene 1 (LGI1) was first identified as a candidate tumor suppressor gene for glioma and may play a role in other cancers. LGI1 is a member of a family of highly related proteins containing leucine-rich repeats (LRRs) which are highly similar to other transmembrane signaling molecules and receptors. LGI1 serves as a ligand to ADAM22, a metalloprotease localized at the synapse. Mutations in LGI1 account for nearly half of autodominant lateral temporal epilepsy (ADTLE), an epileptic syndrome characterized by focal seizures with predominant auditory symptoms. Two isoforms of LGI1 are known to exist; this LGI1 antibody will recognize only the longer form. This LGI1 antibody is predicted to be specific to LGI1 and not recognize other LGI proteins.

Long Name

Leucine-Rich Glioma-Inactivated Protein 1

Alternate Names

ADLTE, ADPAEF, ADPEAF, BB130740, Epitempin, Epitempin-1, EPT, ETL1, IB1099

Gene Symbol

LGI1

Additional LGI1 Products

Product Documents for Lgi1 Antibody - BSA Free

Certificate of Analysis

To download a Certificate of Analysis, please enter a lot number in the search box below.

Product Specific Notices for Lgi1 Antibody - BSA Free

This product is for research use only and is not approved for use in humans or in clinical diagnosis. Primary Antibodies are guaranteed for 1 year from date of receipt.

Loading...
Loading...
Loading...
Loading...