Skip to main content

Leupaxin Antibody - BSA Free

Novus Biologicals, part of Bio-Techne | Catalog # NBP2-55850

Novus Biologicals, part of Bio-Techne
Catalog #
Availability
Size / Price
Qty
Loading...
NBP2-55850
NBP2-55850-25ul

Key Product Details

Validated by

Orthogonal Validation, Independent Antibodies

Species Reactivity

Human

Applications

Immunocytochemistry/ Immunofluorescence, Western Blot

Label

Unconjugated

Antibody Source

Polyclonal Rabbit IgG

Format

BSA Free

Concentration

Concentrations vary lot to lot. See vial label for concentration. If unlisted please contact technical services.

Product Specifications

Immunogen

This antibody was developed against a recombinant protein corresponding to the following amino acid sequence: EELDALLEELERSTLQDSDEYSNPAPLPLDQHSRKETNLDETSEILSIQ

Clonality

Polyclonal

Host

Rabbit

Isotype

IgG

Description

Novus Biologicals Rabbit Leupaxin Antibody - BSA Free (NBP2-55850) is a polyclonal antibody validated for use in WB and ICC/IF. All Novus Biologicals antibodies are covered by our 100% guarantee.

Scientific Data Images for Leupaxin Antibody - BSA Free

Western Blot: Leupaxin Antibody [NBP2-55850]

Western Blot: Leupaxin Antibody [NBP2-55850]

Western Blot: Leupaxin Antibody [NBP2-55850] - Analysis in human cell lines PC-3 and Caco-2. Corresponding RNA-seq data are presented for the same cell lines. Loading control: Anti-COX4I1.
Western Blot: Leupaxin Antibody [NBP2-55850]

Western Blot: Leupaxin Antibody [NBP2-55850]

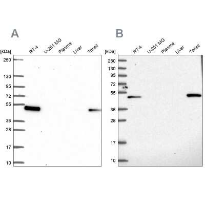
Western Blot: Leupaxin Antibody [NBP2-55850] - Analysis using Anti-LPXN antibody NBP2-55850 (A) shows similar pattern to independent antibody NBP2-31078 (B).
Immunocytochemistry/ Immunofluorescence: Leupaxin Antibody [NBP2-55850]

Immunocytochemistry/ Immunofluorescence: Leupaxin Antibody [NBP2-55850]

Immunocytochemistry/Immunofluorescence: Leupaxin Antibody [NBP2-55850] - Staining of human cell line U-2 OS shows localization to nuclear speckles, cytosol & focal adhesion sites. Antibody staining is shown in green.

Applications for Leupaxin Antibody - BSA Free

Application
Recommended Usage

Immunocytochemistry/ Immunofluorescence

0.25-2 ug/ml

Western Blot

0.04-0.4 ug/ml
Application Notes
ICC/IF Fixation Permeabilization: Use PFA/Triton X-100.

Formulation, Preparation, and Storage

Purification

Affinity purified

Formulation

PBS (pH 7.2) and 40% Glycerol

Format

BSA Free

Preservative

0.02% Sodium Azide

Concentration

Concentrations vary lot to lot. See vial label for concentration. If unlisted please contact technical services.

Shipping

The product is shipped with polar packs. Upon receipt, store it immediately at the temperature recommended below.

Stability & Storage

Store at 4C short term. Aliquot and store at -20C long term. Avoid freeze-thaw cycles.

Background: Leupaxin

The product encoded by this gene is preferentially expressed in hematopoietic cells and is most homologous to the focal adhesion protein, paxillin. It may function in cell type-specific signaling by associating with PYK2, a member of focal adhesion kinase family. As a substrate for a tyrosine kinase in lymphoid cells, this protein may also function in, and be regulated by tyrosine kinase activity. [provided by RefSeq]

Alternate Names

LDLP, LDPL, leupaxin

Gene Symbol

LPXN

Additional Leupaxin Products

Product Documents for Leupaxin Antibody - BSA Free

Certificate of Analysis

To download a Certificate of Analysis, please enter a lot number in the search box below.

Product Specific Notices for Leupaxin Antibody - BSA Free

This product is for research use only and is not approved for use in humans or in clinical diagnosis. Primary Antibodies are guaranteed for 1 year from date of receipt.

Loading...
Loading...
Loading...
Loading...