Skip to main content

LCE6A Antibody - BSA Free

Novus Biologicals, part of Bio-Techne | Catalog # NBP1-94116

Novus Biologicals, part of Bio-Techne
Catalog #
Availability
Size / Price
Qty
Loading...
NBP1-94116
NBP1-94116-25ul

Key Product Details

Validated by

Orthogonal Validation

Species Reactivity

Human

Applications

Immunohistochemistry, Immunohistochemistry-Paraffin

Label

Unconjugated

Antibody Source

Polyclonal Rabbit IgG

Format

BSA Free

Concentration

Concentrations vary lot to lot. See vial label for concentration. If unlisted please contact technical services.

Product Specifications

Immunogen

This antibody was developed against Recombinant Protein corresponding to amino acids: MSQQKQQSWKPPNVPKCSPPQRSNPCLAPYSTPCGAPHSEGCHSSSQRPEVQKPRRARQKLRCLSRGTTYHCKEEECEGD

Clonality

Polyclonal

Host

Rabbit

Isotype

IgG

Description

Novus Biologicals Rabbit LCE6A Antibody - BSA Free (NBP1-94116) is a polyclonal antibody validated for use in IHC. All Novus Biologicals antibodies are covered by our 100% guarantee.

Scientific Data Images for LCE6A Antibody - BSA Free

Immunohistochemistry-Paraffin: LCE6A Antibody [NBP1-94116]

Immunohistochemistry-Paraffin: LCE6A Antibody [NBP1-94116]

Immunohistochemistry-Paraffin: LCE6A Antibody [NBP1-94116] - Staining of human kidney shows low expression as expected.
Immunohistochemistry-Paraffin: LCE6A Antibody [NBP1-94116]

Immunohistochemistry-Paraffin: LCE6A Antibody [NBP1-94116]

Immunohistochemistry-Paraffin: LCE6A Antibody [NBP1-94116] - Staining in human skin and kidney tissues using anti-LCE6A antibody. Corresponding LCE6A RNA-seq data are presented for the same tissues.
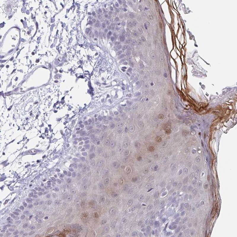
LCE6A Antibody - BSA Free Immunohistochemistry: LCE6A Antibody - BSA Free [NBP1-94116]

Immunohistochemistry: LCE6A Antibody - BSA Free [NBP1-94116]

Staining of human skin shows high expression.

Applications for LCE6A Antibody - BSA Free

Application
Recommended Usage

Immunohistochemistry

1:200 - 1:500

Immunohistochemistry-Paraffin

1:200 - 1:500
Application Notes
For IHC-Paraffin, HIER pH 6 retrieval is recommended.

Formulation, Preparation, and Storage

Purification

Immunogen affinity purified

Formulation

PBS (pH 7.2) and 40% Glycerol

Format

BSA Free

Preservative

0.02% Sodium Azide

Concentration

Concentrations vary lot to lot. See vial label for concentration. If unlisted please contact technical services.

Shipping

The product is shipped with polar packs. Upon receipt, store it immediately at the temperature recommended below.

Stability & Storage

Store at 4C short term. Aliquot and store at -20C long term. Avoid freeze-thaw cycles.

Background: LCE6A

Alternate Names

late cornified envelope 6A, late cornified envelope protein 6A

Gene Symbol

LCE6A

Additional LCE6A Products

Product Documents for LCE6A Antibody - BSA Free

Certificate of Analysis

To download a Certificate of Analysis, please enter a lot number in the search box below.

Product Specific Notices for LCE6A Antibody - BSA Free

This product is for research use only and is not approved for use in humans or in clinical diagnosis. Primary Antibodies are guaranteed for 1 year from date of receipt.

Loading...
Loading...
Loading...
Loading...