Skip to main content

LAPTM4B Antibody (CL5289)

Novus Biologicals, part of Bio-Techne | Catalog # NBP3-52052

Recombinant Monoclonal Antibody
Novus Biologicals, part of Bio-Techne
Catalog #
Availability
Size / Price
Qty
Loading...
NBP3-52052-25ul
NBP3-52052-100ul

Key Product Details

Species Reactivity

Human

Applications

Immunohistochemistry, Immunohistochemistry-Paraffin, Western Blot, Immunocytochemistry/ Immunofluorescence

Label

Unconjugated

Antibody Source

Recombinant Monoclonal Mouse IgG1 Clone # CL5289

Concentration

1 mg/ml

Product Specifications

Immunogen

This antibody was developed using a synthetic peptide derived from Q86VI4, with the exact immunogen sequence remaining proprietary.

Clonality

Monoclonal

Host

Mouse

Isotype

IgG1

Scientific Data Images for LAPTM4B Antibody (CL5289)

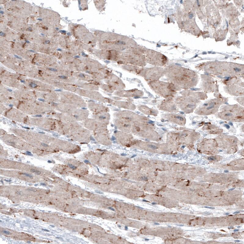
LAPTM4B Antibody (CL5289) Immunohistochemistry: LAPTM4B Antibody (CL5289) [NBP3-52052]

Immunohistochemistry: LAPTM4B Antibody (CL5289) [NBP3-52052]

Staining of human heart muscle shows moderate granular cytoplasmic positivity in cardiomyocytes.
LAPTM4B Antibody (CL5289) Immunohistochemistry: LAPTM4B Antibody (CL5289) [NBP3-52052]

Immunohistochemistry: LAPTM4B Antibody (CL5289) [NBP3-52052]

Staining of human kidney shows moderate to strong granular cytoplasmic positivity in cells in tubules.
LAPTM4B Antibody (CL5289) Immunohistochemistry: LAPTM4B Antibody (CL5289) [NBP3-52052]

Immunohistochemistry: LAPTM4B Antibody (CL5289) [NBP3-52052]

Staining of human cerebral cortex shows moderate to strong granular cytoplasmic positivity in neurons.

Applications for LAPTM4B Antibody (CL5289)

Application
Recommended Usage

Immunocytochemistry/ Immunofluorescence

2-10 ug/ml

Immunohistochemistry

1:500 - 1:1000

Immunohistochemistry-Paraffin

1:500 - 1:1000

Western Blot

1 ug/ml
Application Notes
For IHC-Paraffin, HIER pH 6 retrieval is recommended. ICC/IF Fixation Permeabilization: Use PFA/Triton X-100.

Formulation, Preparation, and Storage

Purification

Protein A purified

Formulation

PBS, pH 7.2, 40% glycerol

Preservative

0.02% Sodium Azide

Concentration

1 mg/ml

Shipping

The product is shipped with polar packs. Upon receipt, store it immediately at the temperature recommended below.

Stability & Storage

Store at 4C short term. Aliquot and store at -20C long term. Avoid freeze-thaw cycles.

Background: LAPTM4B

LAPTM4B( AAH14129, 1 a.a. - 227 a.a.) full-length recombinant protein with GST.

Alternate Names

LAPTM4beta, LC27, lysosomal associated protein transmembrane 4 beta, lysosomal protein transmembrane 4 beta, lysosomal-associated transmembrane protein 4B, Lysosome-associated transmembrane protein 4-beta

Gene Symbol

LAPTM4B

Additional LAPTM4B Products

Product Documents for LAPTM4B Antibody (CL5289)

Certificate of Analysis

To download a Certificate of Analysis, please enter a lot number in the search box below.

Product Specific Notices for LAPTM4B Antibody (CL5289)

This product is for research use only and is not approved for use in humans or in clinical diagnosis. Primary Antibodies are guaranteed for 1 year from date of receipt.

Loading...
Loading...
Loading...
Loading...