Skip to main content

Laminin gamma 1 Antibody - BSA Free

Novus Biologicals, part of Bio-Techne | Catalog # NBP1-87718

Novus Biologicals, part of Bio-Techne
Catalog #
Availability
Size / Price
Qty
Loading...
NBP1-87718-25ul
NBP1-87718

Key Product Details

Validated by

Orthogonal Validation, Independent Antibodies

Species Reactivity

Human

Applications

Immunohistochemistry, Immunohistochemistry-Paraffin, Western Blot, Simple Western

Label

Unconjugated

Antibody Source

Polyclonal Rabbit IgG

Format

BSA Free

Concentration

Concentrations vary lot to lot. See vial label for concentration. If unlisted please contact technical services.

Product Specifications

Immunogen

This antibody was developed against Recombinant Protein corresponding to amino acids: STKAEAERTFAEVTDLDNEVNNMLKQLQEAEKELKRKQDDADQDMMMAGMASQAAQEAEINARKAKNSVTSLLSIINDLLEQLGQLDTVDLNKLNEIEGTLNKAKDEMKVS

Reactivity Notes

Immunogen displays the following percentage of sequence identity for non-tested species: Rat (89%), Mouse (86%).

Clonality

Polyclonal

Host

Rabbit

Isotype

IgG

Scientific Data Images for Laminin gamma 1 Antibody - BSA Free

Immunohistochemistry-Paraffin: Laminin gamma 1 Antibody [NBP1-87718]

Immunohistochemistry-Paraffin: Laminin gamma 1 Antibody [NBP1-87718]

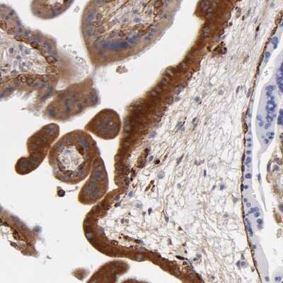
Immunohistochemistry-Paraffin: Laminin gamma 1 Antibody [NBP1-87718] - Staining in human placenta and tonsil tissues using anti-LAMC1 antibody. Corresponding LAMC1 RNA-seq data are presented for the same tissues.
Immunohistochemistry-Paraffin: Laminin gamma 1 Antibody [NBP1-87718]

Immunohistochemistry-Paraffin: Laminin gamma 1 Antibody [NBP1-87718]

Immunohistochemistry-Paraffin: Laminin gamma 1 Antibody [NBP1-87718] - Staining of human cerebral cortex, kidney, placenta and tonsil using Anti-LAMC1 antibody NBP1-87718 (A) shows similar protein distribution across tissues to independent antibody NBP1-87719 (B).
Western Blot: Laminin gamma 1 Antibody [NBP1-87718]

Western Blot: Laminin gamma 1 Antibody [NBP1-87718]

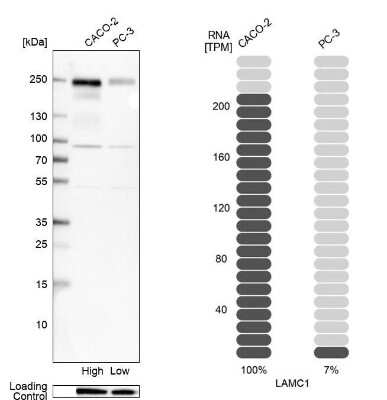
Western Blot: Laminin gamma 1 Antibody [NBP1-87718] - Analysis in human cell line CACO-2 and human cell line PC-3.

Applications for Laminin gamma 1 Antibody - BSA Free

Application
Recommended Usage

Immunohistochemistry

1:200 - 1:500

Immunohistochemistry-Paraffin

1:200-1:500

Simple Western

1:20

Western Blot

0.04 - 0.4 ug/ml
Application Notes
For IHC-Paraffin, HIER pH 6 retrieval is recommended.

In Simple Western only 10 - 15 uL of the recommended dilution is used per data point.
See Simple Western Antibody Database for Simple Western validation: Tested in RT-4 and U-251MG, separated by Size, antibody dilution of 1:20, apparent MW was 267, 264 kDa. Separated by Size-Wes, Sally Sue/Peggy Sue.

Formulation, Preparation, and Storage

Purification

Affinity purified

Formulation

PBS (pH 7.2) and 40% Glycerol

Format

BSA Free

Preservative

0.02% Sodium Azide

Concentration

Concentrations vary lot to lot. See vial label for concentration. If unlisted please contact technical services.

Shipping

The product is shipped with polar packs. Upon receipt, store it immediately at the temperature recommended below.

Stability & Storage

Store at 4C short term. Aliquot and store at -20C long term. Avoid freeze-thaw cycles.

Background: Laminin gamma 1

Laminins are essential and abundant structural non-collagenous glycoproteins localizing to basement membranes. Basement membranes (cell-associated extracellular matrices (ECMs)) are polymers of Laminins with stabilizing Type IV Collagen networks, Nidogen and several proteoglycans. Basement membranes are found under epithelial layers, around the endothelium of blood vessels, and surrounding muscle, peripheral nerve and fat cells. Formation of basement membranes influences cell proliferation, phenotype, migration, gene expression and tissue architecture. Each Laminin is a heterotrimer of alpha, beta and gamma chain subunits that undergoes cell-secretion and incorporation into the ECM. Laminins can self-assemble, bind to other matrix macromolecules and have unique and shared cell interactions mediated by Integrins, dystroglycan and cognate Laminin receptors. The human Laminin gamma-1 gene maps to chromosome 1q31 and is ubiquitously expressed in tissues that produce basement membranes.

Alternate Names

LAMC1, Laminin B2

Gene Symbol

LAMC1

Additional Laminin gamma 1 Products

Product Documents for Laminin gamma 1 Antibody - BSA Free

Certificate of Analysis

To download a Certificate of Analysis, please enter a lot number in the search box below.

Product Specific Notices for Laminin gamma 1 Antibody - BSA Free

This product is for research use only and is not approved for use in humans or in clinical diagnosis. Primary Antibodies are guaranteed for 1 year from date of receipt.

Loading...
Loading...
Loading...
Loading...