Skip to main content

LACE1 Antibody - BSA Free

Novus Biologicals, part of Bio-Techne | Catalog # NBP1-89215

Novus Biologicals, part of Bio-Techne
Catalog #
Availability
Size / Price
Qty
Loading...
NBP1-89215
NBP1-89215-25ul

Key Product Details

Species Reactivity

Human, Mouse

Applications

Immunohistochemistry, Immunohistochemistry-Paraffin, Western Blot

Label

Unconjugated

Antibody Source

Polyclonal Rabbit IgG

Format

BSA Free

Concentration

Concentrations vary lot to lot. See vial label for concentration. If unlisted please contact technical services.

Product Specifications

Immunogen

This antibody was developed against Recombinant Protein corresponding to amino acids: NGLQRANFVPFIAVLKEYCNTVQLDSGIDYRKRELPAAGKLYYLTSEADVEAVMDKLFDELAQKQNDLT

Clonality

Polyclonal

Host

Rabbit

Isotype

IgG

Description

Novus Biologicals Rabbit LACE1 Antibody - BSA Free (NBP1-89215) is a polyclonal antibody validated for use in IHC and WB. All Novus Biologicals antibodies are covered by our 100% guarantee.

Scientific Data Images for LACE1 Antibody - BSA Free

Western Blot: LACE1 Antibody [NBP1-89215]

Western Blot: LACE1 Antibody [NBP1-89215]

Western Blot: LACE1 Antibody [NBP1-89215] - Lane 1: NIH-3T3 cell lysate (Mouse embryonic fibroblast cells). Lane 2: NBT-II cell lysate (Rat Wistar bladder tumor cells).
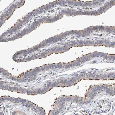
Immunohistochemistry-Paraffin: LACE1 Antibody [NBP1-89215]

Immunohistochemistry-Paraffin: LACE1 Antibody [NBP1-89215]

Immunohistochemistry-Paraffin: LACE1 Antibody [NBP1-89215] - Staining of human fallopian tube shows strong positivity in ciliated cells.
Western Blot: LACE1 Antibody [NBP1-89215]

Western Blot: LACE1 Antibody [NBP1-89215]

Western Blot: LACE1 Antibody [NBP1-89215] - Lane 1: Marker [kDa] 230, 130, 95, 72, 56, 36, 28, 17, 11. Lane 2: Human cell line RT-309

Applications for LACE1 Antibody - BSA Free

Application
Recommended Usage

Immunohistochemistry

1:50 - 1:200

Immunohistochemistry-Paraffin

1:50 - 1:200

Western Blot

0.04-0.4 ug/ml
Application Notes
For IHC-Paraffin, HIER pH 6 retrieval is recommended.

Formulation, Preparation, and Storage

Purification

Affinity purified

Formulation

PBS (pH 7.2) and 40% Glycerol

Format

BSA Free

Preservative

0.02% Sodium Azide

Concentration

Concentrations vary lot to lot. See vial label for concentration. If unlisted please contact technical services.

Shipping

The product is shipped with polar packs. Upon receipt, store it immediately at the temperature recommended below.

Stability & Storage

Store at 4C short term. Aliquot and store at -20C long term. Avoid freeze-thaw cycles.

Background: LACE1

The LACE1 gene encodes a protein with possible ATPase function. The protein contains a P-loop motif and a five-domain structure that is conserved in fly, yeast, and bacteria. Two conserved estrogen receptor binding sites are located within 2.5 kb of this gene.

Alternate Names

AFG1ATPase family gene 1 homolog, CG8520 gene product, lactation elevated 1, lactation elevated protein 1

Gene Symbol

LACE1

Additional LACE1 Products

Product Documents for LACE1 Antibody - BSA Free

Certificate of Analysis

To download a Certificate of Analysis, please enter a lot number in the search box below.

Product Specific Notices for LACE1 Antibody - BSA Free

This product is for research use only and is not approved for use in humans or in clinical diagnosis. Primary Antibodies are guaranteed for 1 year from date of receipt.

Loading...
Loading...
Loading...
Loading...