Skip to main content

Ku80/XRCC5 Antibody (7N7G3)

Novus Biologicals, part of Bio-Techne | Catalog # NBP3-15448

Recombinant Monoclonal Antibody
Novus Biologicals, part of Bio-Techne
Catalog #
Availability
Size / Price
Qty
Loading...
NBP3-15448-100ul
NBP3-15448-20ul

Key Product Details

Species Reactivity

Human, Mouse

Applications

ELISA, Immunocytochemistry/ Immunofluorescence, Immunohistochemistry, Immunohistochemistry-Paraffin, Immunoprecipitation, Western Blot

Label

Unconjugated

Antibody Source

Recombinant Monoclonal Rabbit IgG Clone # 7N7G3 expressed in HEK293

Concentration

Please see the vial label for concentration. If unlisted please contact technical services.

Product Specifications

Immunogen

A synthetic peptide corresponding to a sequence within amino acids 633-732 of human Ku80/XRCC5 (P13010). MKSIDCIRAFREEAIKFSEEQRFNNFLKALQEKVEIKQLNHFWEIVVQDGITLITKEEASGSSVTAEEAKKFLAPKDKPSGDTAAVFEEGGDVDDLLDMI

Clonality

Monoclonal

Host

Rabbit

Isotype

IgG

Theoretical MW

83 kDa.
Disclaimer note: The observed molecular weight of the protein may vary from the listed predicted molecular weight due to post translational modifications, post translation cleavages, relative charges, and other experimental factors.

Description

Novus Biologicals Rabbit Ku80/XRCC5 Antibody (7N7G3) (NBP3-15448) is a recombinant monoclonal antibody validated for use in IHC, WB, ELISA, ICC/IF and IP. All Novus Biologicals antibodies are covered by our 100% guarantee.

Scientific Data Images for Ku80/XRCC5 Antibody (7N7G3)

Western Blot: Ku80/XRCC5 Antibody (7N7G3) [NBP3-15448]

Western Blot: Ku80/XRCC5 Antibody (7N7G3) [NBP3-15448]

Western Blot: Ku80/XRCC5 Antibody (7N7G3) [NBP3-15448] - Western blot analysis of extracts of various cell lines, using Ku80/XRCC5 Rabbit mAb (NBP3-15448) at 1:1000 dilution. Secondary antibody: HRP Goat Anti-Rabbit IgG (H+L) at 1:10000 dilution. Lysates/proteins: 25ug per lane. Blocking buffer: 3% nonfat dry milk in TBST. Detection: ECL Basic Kit. Exposure time: 5s.
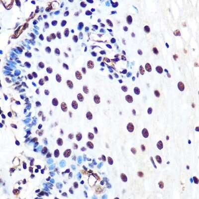
Immunohistochemistry-Paraffin: Ku80/XRCC5 Antibody (7N7G3) [NBP3-15448]

Immunohistochemistry-Paraffin: Ku80/XRCC5 Antibody (7N7G3) [NBP3-15448]

Immunohistochemistry-Paraffin: Ku80/XRCC5 Antibody (7N7G3) [NBP3-15448] - Immunohistochemistry of paraffin-embedded human esophageal using Ku80/XRCC5 Rabbit mAb (NBP3-15448) at dilution of 1:100 (40x lens).Perform microwave antigen retrieval with 10 mM PBS buffer pH 7.2 before commencing with IHC staining protocol.
Immunoprecipitation: Ku80/XRCC5 Antibody (7N7G3) [NBP3-15448]

Immunoprecipitation: Ku80/XRCC5 Antibody (7N7G3) [NBP3-15448]

Immunoprecipitation: Ku80/XRCC5 Antibody (7N7G3) [NBP3-15448] - Immunoprecipitation analysis of 300ug extracts of HeLa cells using 3ug Ku80/XRCC5 antibody (NBP3-15448). Western blot was performed from the immunoprecipitate using Ku80/XRCC5 antibody (NBP3-15448) at a dilition of 1:1000.

Applications for Ku80/XRCC5 Antibody (7N7G3)

Application
Recommended Usage

ELISA

Recommended starting concentration is 1 μg/mL. Please optimize the concentration based on your specific assay requirements.

Immunocytochemistry/ Immunofluorescence

1:100 - 1:1000

Immunohistochemistry

1:200 - 1:2000

Immunohistochemistry-Paraffin

1:200 - 1:2000

Immunoprecipitation

0.5μg-4μg antibody for 200μg-400μg extracts of whole cells

Western Blot

1:1000 - 1:6000

Formulation, Preparation, and Storage

Purification

Affinity purified

Formulation

PBS (pH 7.3), 50% glycerol, 0.05% BSA

Preservative

0.02% Sodium Azide

Concentration

Please see the vial label for concentration. If unlisted please contact technical services.

Shipping

The product is shipped with polar packs. Upon receipt, store it immediately at the temperature recommended below.

Stability & Storage

Store at -20C. Avoid freeze-thaw cycles.

Background: Ku80/XRCC5

Ku80, also known as XRCC5, plays a role in many diverse processes including cell signaling, proliferation, DNA repair, replication, transcriptional activation and apoptosis.

As one half of the heterodimer complex Ku, Ku80 is required for proper maintenance of the telomeric C strand. Ku80 also plays a role in DNA repair as an essential subunit of DNA-dependent protein kinase (DNA-PK) that phosphorylates certain transcription factors (Sp1, Oct-1 and p53). The heterodimer Ku binds double stranded DNA breaks for non-homologous end joining repair. Ku mutants are defective in T-DNA integration and over-expression confers increased resistance to DNA damage agents and increased susceptibility to T-DNA transformation.

Long Name

Lupus Ku Autoantigen Protein 86

Alternate Names

CTC85, G22P2, KARP1, Ku86, KUB2, NFIV, XRCC5

Gene Symbol

XRCC5

Additional Ku80/XRCC5 Products

Product Documents for Ku80/XRCC5 Antibody (7N7G3)

Certificate of Analysis

To download a Certificate of Analysis, please enter a lot number in the search box below.

Product Specific Notices for Ku80/XRCC5 Antibody (7N7G3)

This product is for research use only and is not approved for use in humans or in clinical diagnosis. Primary Antibodies are guaranteed for 1 year from date of receipt.

Loading...
Loading...
Loading...
Loading...