Skip to main content

KRT34 Antibody - BSA Free

Novus Biologicals, part of Bio-Techne | Catalog # NBP3-46354

Novus Biologicals, part of Bio-Techne
Catalog #
Availability
Size / Price
Qty
Loading...
NBP3-46354

Key Product Details

Species Reactivity

Human, Mouse

Applications

Immunohistochemistry, Western Blot, ELISA, Immunocytochemistry/ Immunofluorescence

Label

Unconjugated

Antibody Source

Polyclonal Rabbit IgG

Format

BSA Free

Concentration

Please see the vial label for concentration. If unlisted please contact technical services.

Product Specifications

Immunogen

keratin 34. (Uniprot# O76011)

Clonality

Polyclonal

Host

Rabbit

Isotype

IgG

Theoretical MW

49 kDa.
Disclaimer note: The observed molecular weight of the protein may vary from the listed predicted molecular weight due to post translational modifications, post translation cleavages, relative charges, and other experimental factors.

Description

Novus Biologicals Rabbit KRT34 Antibody - BSA Free (NBP3-46354) is a polyclonal antibody validated for use in IHC, WB, ELISA and ICC/IF. All Novus Biologicals antibodies are covered by our 100% guarantee.

Scientific Data Images for KRT34 Antibody - BSA Free

KRT34 Antibody - BSA Free

Western Blot: KRT34 Antibody - BSA Free [NBP3-46354] -

Western Blot: KRT34 Antibody - BSA Free [NBP3-46354] - HeLa cells were subjected to SDS PAGE followed by western blot with (KRT34 Antibody) at dilution of 1:600
KRT34 Antibody - BSA Free

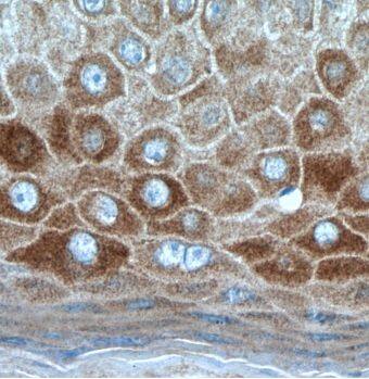
Immunohistochemistry: KRT34 Antibody - BSA Free [NBP3-46354] -

Immunohistochemistry: KRT34 Antibody - BSA Free [NBP3-46354] - Immunohistochemistry of paraffin-embedded human skin using (KRT34 antibody) at dilution of 1:50

Applications for KRT34 Antibody - BSA Free

Application
Recommended Usage

Immunocytochemistry/ Immunofluorescence

1:20-1:200

Immunohistochemistry

1:20-1:200

Western Blot

1:500-1:2000

Formulation, Preparation, and Storage

Purification

Immunogen affinity purified

Formulation

PBS, 50% Glycerol, pH (7.3)

Format

BSA Free

Preservative

0.02% Sodium Azide

Concentration

Please see the vial label for concentration. If unlisted please contact technical services.

Shipping

The product is shipped with polar packs. Upon receipt, store it immediately at the temperature recommended below.

Stability & Storage

Store at -20C. Avoid freeze-thaw cycles.

Background: KRT34

KRT34 is encoded by this gene is a member of the keratin gene family. As a type I hair keratin, it is an acidic protein which heterodimerizes with type II keratins to form hair and nails. The type I hair keratins are clustered in a region of chromosome 17q12-q21 and have the same direction of transcription.

Alternate Names

HA4, Ha-4, Hair keratin, type I Ha4, hHa4, HKA4, K34, keratin 34, keratin, hair, acidic, 4, keratin, type I cuticular Ha4, Keratin-34, KRTHA4hard keratin, type I, 4

Gene Symbol

KRT34

Additional KRT34 Products

Product Documents for KRT34 Antibody - BSA Free

Certificate of Analysis

To download a Certificate of Analysis, please enter a lot number in the search box below.

Product Specific Notices for KRT34 Antibody - BSA Free

This product is for research use only and is not approved for use in humans or in clinical diagnosis. Primary Antibodies are guaranteed for 1 year from date of receipt.

Loading...
Loading...
Loading...
Loading...