Skip to main content

KLHL20 Antibody - BSA Free

Novus Biologicals, part of Bio-Techne | Catalog # NBP3-46368

Novus Biologicals, part of Bio-Techne
Catalog #
Availability
Size / Price
Qty
Loading...
NBP3-46368

Key Product Details

Species Reactivity

Human, Mouse, Rat

Applications

Immunohistochemistry, Western Blot, ELISA

Label

Unconjugated

Antibody Source

Polyclonal Rabbit IgG

Format

BSA Free

Concentration

Please see the vial label for concentration. If unlisted please contact technical services.

Product Specifications

Immunogen

kelch-like 20(Drosophila). (Uniprot# Q9Y2M5)

Clonality

Polyclonal

Host

Rabbit

Isotype

IgG

Description

Novus Biologicals Rabbit KLHL20 Antibody - BSA Free (NBP3-46368) is a polyclonal antibody validated for use in IHC, WB and ELISA. All Novus Biologicals antibodies are covered by our 100% guarantee.

Scientific Data Images for KLHL20 Antibody - BSA Free

KLHL20 Antibody - BSA Free

Western Blot: KLHL20 Antibody - BSA Free [NBP3-46368] -

Western Blot: KLHL20 Antibody - BSA Free [NBP3-46368] - HEK-293 cells were subjected to SDS PAGE followed by western blot with (KLHL20 antibody) at dilution of 1:500
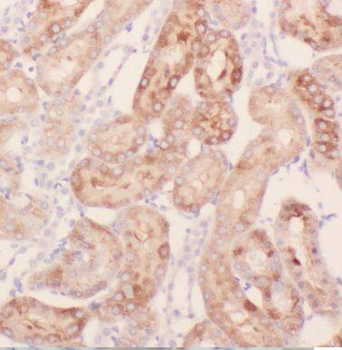
KLHL20 Antibody - BSA Free

Immunohistochemistry: KLHL20 Antibody - BSA Free [NBP3-46368] -

Immunohistochemistry: KLHL20 Antibody - BSA Free [NBP3-46368] - Immunohistochemistry of paraffin-embedded human kidney using (KLHL20 antibody) at dilution of 1:50

Applications for KLHL20 Antibody - BSA Free

Application
Recommended Usage

Immunohistochemistry

1:20-1:200

Western Blot

1:500-1:2000
Application Notes
Theoretical Molecular Weight is 65-67 kDa

Formulation, Preparation, and Storage

Purification

Immunogen affinity purified

Formulation

PBS, 50% Glycerol, pH (7.3)

Format

BSA Free

Preservative

0.02% Sodium Azide

Concentration

Please see the vial label for concentration. If unlisted please contact technical services.

Shipping

The product is shipped with polar packs. Upon receipt, store it immediately at the temperature recommended below.

Stability & Storage

Store at -20C. Avoid freeze-thaw cycles.

Background: KLHL20

The protein encoded by the KLHL20 gene is a member of the kelch family of proteins, which is characterized by a 44-56 aminoacid repeat motif. The kelch motif appears in many different polypeptide contexts and contains multiple potentialprotein-protein contact sites. Members of this family are present both throughout the cell and extracellularly, withdiverse activities. (provided by RefSeq)

Long Name

Kelch Like Family Member 20

Alternate Names

KHLHX, KLEIP

Gene Symbol

KLHL20

Additional KLHL20 Products

Product Documents for KLHL20 Antibody - BSA Free

Certificate of Analysis

To download a Certificate of Analysis, please enter a lot number in the search box below.

Product Specific Notices for KLHL20 Antibody - BSA Free

This product is for research use only and is not approved for use in humans or in clinical diagnosis. Primary Antibodies are guaranteed for 1 year from date of receipt.

Loading...
Loading...
Loading...
Loading...