KLHL20 Antibody - BSA Free
Novus Biologicals, part of Bio-Techne | Catalog # NBP1-81559
Key Product Details
Species Reactivity
Validated:
Human
Predicted:
Mouse (100%), Rat (100%). Backed by our 100% Guarantee.
Applications
Immunohistochemistry, Immunohistochemistry-Paraffin, Immunocytochemistry/ Immunofluorescence
Label
Unconjugated
Antibody Source
Polyclonal Rabbit IgG
Format
BSA Free
Concentration
Concentrations vary lot to lot. See vial label for concentration. If unlisted please contact technical services.
Product Specifications
Immunogen
This antibody was developed against Recombinant Protein corresponding to amino acids: GRDDTTELSSAERYNPRTNQWSPVVAMTSRRSGVGLAVVNGQLMAVGGFDGTTYLKTIEVFDPDANTWRLYGGMNYRRLGGGVGVIKMTHCESHIW
Clonality
Polyclonal
Host
Rabbit
Isotype
IgG
Scientific Data Images for KLHL20 Antibody - BSA Free
Immunocytochemistry/ Immunofluorescence: KLHL20 Antibody [NBP1-81559]
Immunocytochemistry/Immunofluorescence: KLHL20 Antibody [NBP1-81559] - Staining of human cell line U-251 MG shows localization to cytosol & the Golgi apparatus. Antibody staining is shown in green.Immunohistochemistry-Paraffin: KLHL20 Antibody [NBP1-81559]
Immunohistochemistry-Paraffin: KLHL20 Antibody [NBP1-81559] - Staining of human rectum shows moderate cytoplasmic positivity in glandular cells.Immunohistochemistry-Paraffin: KLHL20 Antibody [NBP1-81559]
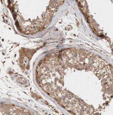
Immunohistochemistry-Paraffin: KLHL20 Antibody [NBP1-81559] - Staining of human testis shows moderate cytoplasmic positivity in cells in seminiferous ducts.Applications for KLHL20 Antibody - BSA Free
Application
Recommended Usage
Immunocytochemistry/ Immunofluorescence
0.25-2 ug/ml
Immunohistochemistry
1:20 - 1:50
Immunohistochemistry-Paraffin
1:20 - 1:50
Application Notes
For IHC-Paraffin, HIER pH 6 retrieval is recommended. ICC/IF Fixation Permeabilization: Use PFA/Triton X-100.
Formulation, Preparation, and Storage
Purification
Affinity purified
Formulation
PBS (pH 7.2) and 40% Glycerol
Format
BSA Free
Preservative
0.02% Sodium Azide
Concentration
Concentrations vary lot to lot. See vial label for concentration. If unlisted please contact technical services.
Shipping
The product is shipped with polar packs. Upon receipt, store it immediately at the temperature recommended below.
Stability & Storage
Store at 4C short term. Aliquot and store at -20C long term. Avoid freeze-thaw cycles.
Background: KLHL20
Long Name
Kelch Like Family Member 20
Alternate Names
KHLHX, KLEIP
Gene Symbol
KLHL20
Additional KLHL20 Products
Product Documents for KLHL20 Antibody - BSA Free
Product Specific Notices for KLHL20 Antibody - BSA Free
This product is for research use only and is not approved for use in humans or in clinical diagnosis. Primary Antibodies are guaranteed for 1 year from date of receipt.
Loading...
Loading...
Loading...
Loading...