Skip to main content

KLHL1 Antibody - BSA Free

Novus Biologicals, part of Bio-Techne | Catalog # NBP1-76670

Novus Biologicals, part of Bio-Techne

Key Product Details

Species Reactivity

Validated:

Human, Rat

Predicted:

Mouse (100%). Backed by our 100% Guarantee.

Applications

Immunohistochemistry, Immunohistochemistry-Paraffin, Western Blot, ELISA

Label

Unconjugated

Antibody Source

Polyclonal Rabbit IgG

Format

BSA Free

Concentration

1 mg/ml

Product Specifications

Immunogen

Antibody was raised against a 14 amino acid synthetic peptide from near the amino-terminus of human KLHL1. The immunogen is located within the first 50 amino acids of KLHL1. Amino Acid Squence: MSGSGRKDFDVKHI

Clonality

Polyclonal

Host

Rabbit

Isotype

IgG

Theoretical MW

82 kDa.
Disclaimer note: The observed molecular weight of the protein may vary from the listed predicted molecular weight due to post translational modifications, post translation cleavages, relative charges, and other experimental factors.

Description

Novus Biologicals Rabbit KLHL1 Antibody - BSA Free (NBP1-76670) is a polyclonal antibody validated for use in IHC, WB and ELISA. All Novus Biologicals antibodies are covered by our 100% guarantee.

Scientific Data Images for KLHL1 Antibody - BSA Free

Western Blot: KLHL1 AntibodyBSA Free [NBP1-76670]

Western Blot: KLHL1 AntibodyBSA Free [NBP1-76670]

Western Blot: KLHL1 Antibody [NBP1-76670] - Analysis of KLHL1 in HeLa cell lysate with KLHL1 antibody at (A) 2 and (B) 4 ug/mL.
KLHL1 Antibody - BSA Free

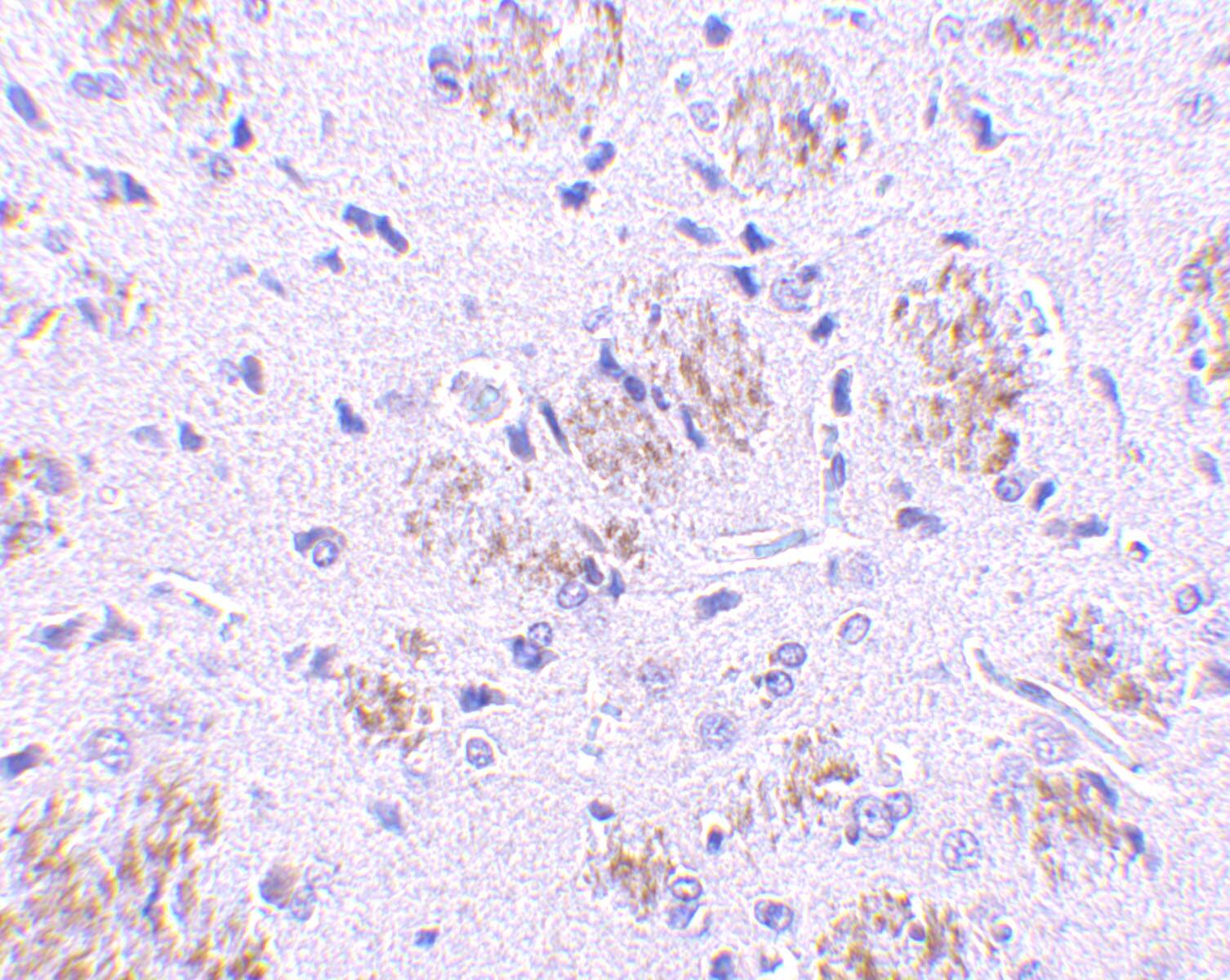
Immunohistochemistry: KLHL1 Antibody - BSA Free [NBP1-76670] -

Immunohistochemistry: KLHL1 Antibody - BSA Free [NBP1-76670] - Immunohistochemistry of KLHL1 in rat brain tissue with KLHL1 antibody at 10 ug/mL.

Applications for KLHL1 Antibody - BSA Free

Application
Recommended Usage

ELISA

1:100-1:2000

Immunohistochemistry

10 ug/ml

Immunohistochemistry-Paraffin

10 ug/ml

Western Blot

2-4 ug/ml

Formulation, Preparation, and Storage

Purification

Immunogen affinity purified

Formulation

PBS

Format

BSA Free

Preservative

0.02% Sodium Azide

Concentration

1 mg/ml

Shipping

The product is shipped with polar packs. Upon receipt, store it immediately at the temperature recommended below.

Stability & Storage

Store at 4C short term. Aliquot and store at -20C long term. Avoid freeze-thaw cycles.

Background: KLHL1

The mammalian Kelch-like 1 (KLHL1) was initially discovered as a homolog to the Drosophila Kelch gene that is highly expressed in several brain tissues. The predicted protein domain structure of KLHL1 is characteristic of a number of proteins that bind actin, form dimers, and often act as actin-organizing proteins. Based on the presence of anti-sense RNA that spans the transcription and translation start sites as well as the first splice site of KLHL1 in brain tissue of individuals suffering from the neurodegenerative disorder spinocerebellar ataxia type 8 (SCA8), it has been suggested that KLHL1 is involved this disease and that regulation of KLHL1 protein may be affected by antisense RNA expression.

Alternate Names

FLJ30047, kelch (Drosophila)-like 1, kelch-like 1 (Drosophila), KIAA1490kelch-like protein 1, Mayven-related protein 2, MRP2

Gene Symbol

KLHL1

Additional KLHL1 Products

Product Documents for KLHL1 Antibody - BSA Free

Certificate of Analysis

To download a Certificate of Analysis, please enter a lot number in the search box below.

Product Specific Notices for KLHL1 Antibody - BSA Free

This product is for research use only and is not approved for use in humans or in clinical diagnosis. Primary Antibodies are guaranteed for 1 year from date of receipt.

Loading...
Loading...
Loading...
Loading...