Skip to main content

KiSS1R/GPR54 Antibody - BSA Free

Novus Biologicals, part of Bio-Techne | Catalog # NBP3-38024

Novus Biologicals, part of Bio-Techne
Catalog #
Availability
Size / Price
Qty
Loading...
NBP3-38024-100ul
NBP3-38024-20ul

Key Product Details

Species Reactivity

Human, Mouse, Rat

Applications

ELISA, Immunocytochemistry/ Immunofluorescence, Immunohistochemistry, Immunohistochemistry-Paraffin, Western Blot

Label

Unconjugated

Antibody Source

Polyclonal Rabbit IgG

Format

BSA Free

Concentration

Please see the vial label for concentration. If unlisted please contact technical services.

Product Specifications

Immunogen

A synthetic peptide corresponding to a sequence within amino acids 100-200 of human KiSS1R/GPR54 (NP_115940.2).

Sequence:
SYAAYALKTWAHCMSYSNSALNPLLYAFLGSHFRQAFRRVCPCAPRRPRRPRRPGPSDPAAPHAELLRLGSHPAPARAQKPGSSGLAARGLCVLGEDNAPL

Clonality

Polyclonal

Host

Rabbit

Isotype

IgG

Theoretical MW

43 kDa.
Disclaimer note: The observed molecular weight of the protein may vary from the listed predicted molecular weight due to post translational modifications, post translation cleavages, relative charges, and other experimental factors.

Description

Novus Biologicals Rabbit KiSS1R/GPR54 Antibody - BSA Free (NBP3-38024) is a polyclonal antibody validated for use in IHC, WB, ELISA and ICC/IF. All Novus Biologicals antibodies are covered by our 100% guarantee.

Scientific Data Images for KiSS1R/GPR54 Antibody - BSA Free

KiSS1R/GPR54 Antibody

Immunohistochemistry: KiSS1R/GPR54 Antibody [NBP3-38024] -

Immunohistochemistry: KiSS1R/GPR54 Antibody [NBP3-38024] - Immunohistochemistry analysis of paraffin-embedded Mouse brain using KiSS1R/GPR54 Rabbit pAb at dilution of 1:100 (40x lens). Microwave antigen retrieval performed with 0.01M PBS Buffer (pH 7.2) prior to IHC staining.
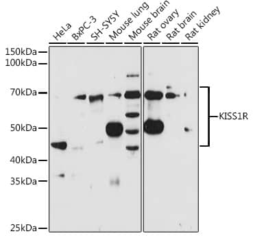
KiSS1R/GPR54 Antibody

Western Blot: KiSS1R/GPR54 Antibody [NBP3-38024] -

Western Blot: KiSS1R/GPR54 Antibody [NBP3-38024] - Western blot analysis of various lysates using KiSS1R/GPR54 Rabbit pAb at 1:1000 dilution.
Secondary antibody: HRP-conjugated Goat anti-Rabbit IgG (H+L) at 1:10000 dilution.
Lysates/proteins: 25ug per lane.
Blocking buffer: 3% nonfat dry milk in TBST.
Detection: ECL Basic Kit.
Exposure time: 60s.
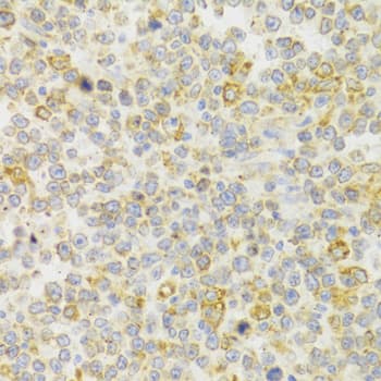
KiSS1R/GPR54 Antibody

Immunohistochemistry: KiSS1R/GPR54 Antibody [NBP3-38024] -

Immunohistochemistry: KiSS1R/GPR54 Antibody [NBP3-38024] - Immunohistochemistry analysis of paraffin-embedded Rat brain using KiSS1R/GPR54 Rabbit pAb at dilution of 1:100 (40x lens). Microwave antigen retrieval performed with 0.01M PBS Buffer (pH 7.2) prior to IHC staining.

Applications for KiSS1R/GPR54 Antibody - BSA Free

Application
Recommended Usage

Immunocytochemistry/ Immunofluorescence

1:50 - 1:200

Immunohistochemistry-Paraffin

1:50 - 1:100

Western Blot

1:500 - 1:1000

Formulation, Preparation, and Storage

Purification

Affinity purified

Formulation

PBS (pH 7.3), 50% glycerol

Format

BSA Free

Preservative

0.09% Sodium Azide

Concentration

Please see the vial label for concentration. If unlisted please contact technical services.

Shipping

The product is shipped with polar packs. Upon receipt, store it immediately at the temperature recommended below.

Stability & Storage

Store at -20C. Avoid freeze-thaw cycles.

Background: KiSS1R/GPR54

GPR54 is a Metastin Receptor. Metastin, also known as KiSS-1, is a metastasis suppressor gene. Mutations in GPR54 have been shown to cause autosomal recessive idiopathic hypogonadotropic hypogonadism in humans and mice, suggesting that GPR54 is a key regulator for the onset of puberty (Seminara et al. 2003). GPR54 has been reported in various human brain regions, placenta, pancreas, and spinal cord, and at lower levels in spleen, peripheral blood leukocytes, testis, lymph node, thymus, small intestine, stomach, lung, and kidney. The receptor is also abundant in tumor tissues. In rat, GPR54 is expressed in liver, intestine, and in the pons, midbrain, thalamus, hypothalamus, hippocampus, amygdala, cortex (including frontal), and striatum. ESTs have been isolated from normal placenta and kidney cancer libraries.

Long Name

KISS1 Receptor

Alternate Names

AXOR12, GPR54, Hypogonadotropin-1, Metastin Receptor, OT7T175

Gene Symbol

KISS1R

Additional KiSS1R/GPR54 Products

Product Documents for KiSS1R/GPR54 Antibody - BSA Free

Certificate of Analysis

To download a Certificate of Analysis, please enter a lot number in the search box below.

Product Specific Notices for KiSS1R/GPR54 Antibody - BSA Free

This product is for research use only and is not approved for use in humans or in clinical diagnosis. Primary Antibodies are guaranteed for 1 year from date of receipt.

Loading...
Loading...
Loading...
Loading...