Skip to main content

Kininogen Antibody - BSA Free

Novus Biologicals, part of Bio-Techne | Catalog # NBP1-89994

Novus Biologicals, part of Bio-Techne
Catalog #
Availability
Size / Price
Qty
Loading...
NBP1-89994
NBP1-89994-25ul

Key Product Details

Validated by

Independent Antibodies

Species Reactivity

Human

Applications

Immunohistochemistry, Immunohistochemistry-Paraffin, Western Blot

Label

Unconjugated

Antibody Source

Polyclonal Rabbit IgG

Format

BSA Free

Concentration

Concentrations vary lot to lot. See vial label for concentration. If unlisted please contact technical services.

Product Specifications

Immunogen

This antibody was developed against Recombinant Protein corresponding to amino acids: ALKKYNSQNQSNNQFVLYRITEATKTVGSDTFYSFKYEIKEGDCPVQSGKTWQDCEYKDAAKAATGECTATVGKRSSTKFSVATQTCQITPAEGPVVTAQYDCLGCVHPISTQSPDLEPILRHGIQYFNNN

Clonality

Polyclonal

Host

Rabbit

Isotype

IgG

Description

Novus Biologicals Rabbit Kininogen Antibody - BSA Free (NBP1-89994) is a polyclonal antibody validated for use in IHC and WB. All Novus Biologicals antibodies are covered by our 100% guarantee.

Scientific Data Images for Kininogen Antibody - BSA Free

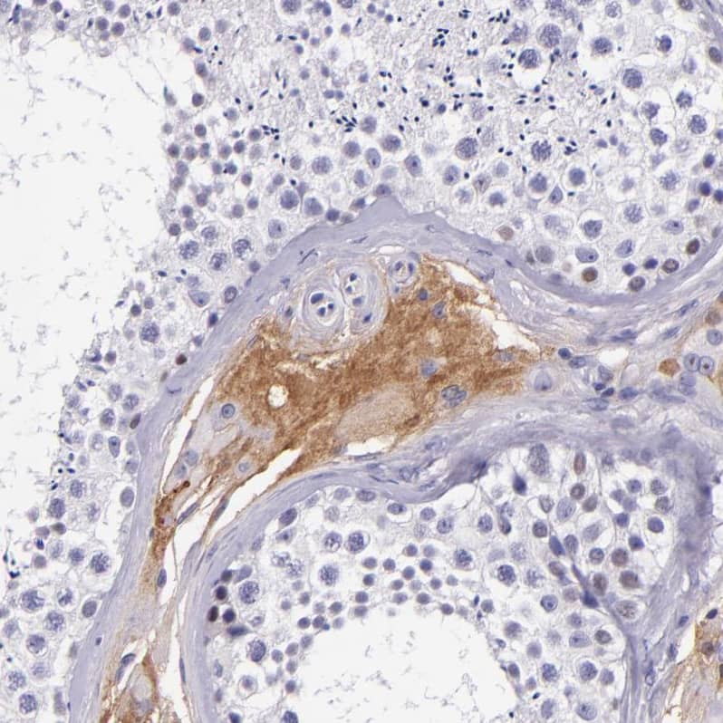
Kininogen Antibody - BSA Free Immunohistochemistry-Paraffin: Kininogen Antibody - BSA Free [NBP1-89994]

Immunohistochemistry-Paraffin: Kininogen Antibody - BSA Free [NBP1-89994]

Staining of human kidney, lymphoid tissues, pancreas and testis using Anti-KNG1 antibody NBP1-89994 (A) shows similar protein distribution across tissues to independent antibody NBP1-89993 (B).
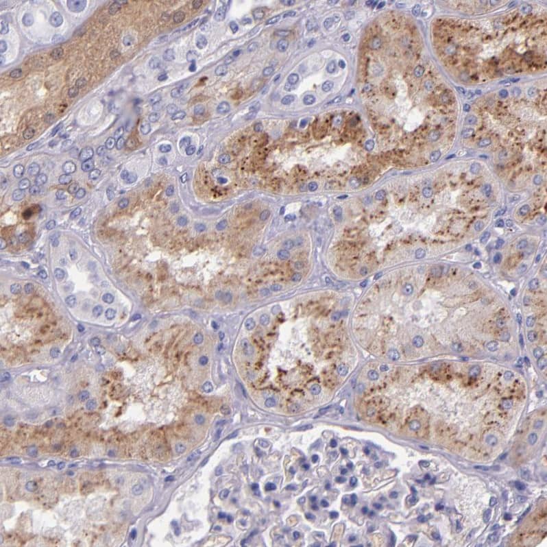
Kininogen Antibody - BSA Free Immunohistochemistry-Paraffin: Kininogen Antibody - BSA Free [NBP1-89994]

Immunohistochemistry-Paraffin: Kininogen Antibody - BSA Free [NBP1-89994]

Staining of human kidney shows strong granular cytoplasmic positivity in cells in tubules.
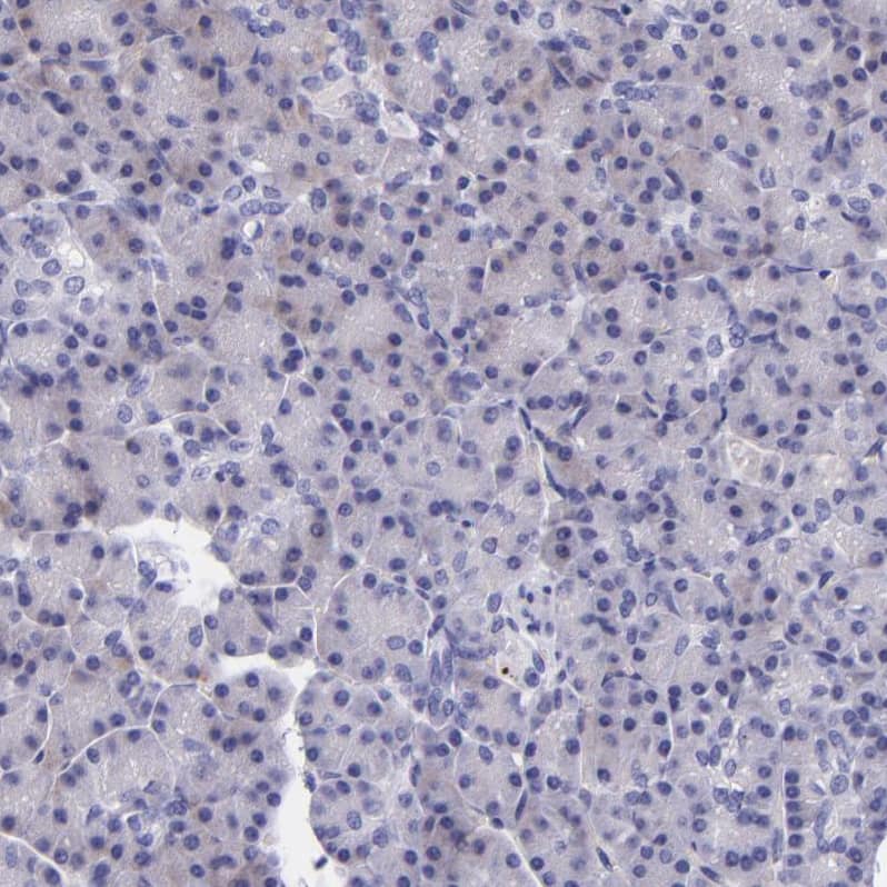
Kininogen Antibody - BSA Free Immunohistochemistry-Paraffin: Kininogen Antibody - BSA Free [NBP1-89994]

Immunohistochemistry-Paraffin: Kininogen Antibody - BSA Free [NBP1-89994]

Staining of human pancreas shows no positivity in exocrine glandular cells as expected.

Applications for Kininogen Antibody - BSA Free

Application
Recommended Usage

Immunohistochemistry

1:200 - 1:500

Immunohistochemistry-Paraffin

1:200 - 1:500

Western Blot

0.04-0.4 ug/ml
Application Notes
For IHC-Paraffin, HIER pH 6 retrieval is recommended.

Formulation, Preparation, and Storage

Purification

Immunogen affinity purified

Formulation

PBS (pH 7.2) and 40% Glycerol

Format

BSA Free

Preservative

0.02% Sodium Azide

Concentration

Concentrations vary lot to lot. See vial label for concentration. If unlisted please contact technical services.

Shipping

The product is shipped with polar packs. Upon receipt, store it immediately at the temperature recommended below.

Stability & Storage

Store at 4C short term. Aliquot and store at -20C long term. Avoid freeze-thaw cycles.

Background: Kininogen

Kininogen, also known as 2-thiol proteinase inhibitor, is a multi-functional protein. The high molecule weight (HMW) form of kininogen is synthesized as a precursor protein (amino acid residues 1 to 644). The mature chain (residues 19 to 644) is further processed into the heavy chain (residues 19 to 380) and the light chain (residues 390 to 644) with release of the active peptide bradykinin. The heavy chain consists of three cystatin-like domains, which inhibit cysteine proteases. The light chain consists of a His-rich domain, which is associated with clotting activity.

Alternate Names

alpha 2-thiol Proteinase Inhibitor, BDK, KNG1

Gene Symbol

KNG1

Additional Kininogen Products

Product Documents for Kininogen Antibody - BSA Free

Certificate of Analysis

To download a Certificate of Analysis, please enter a lot number in the search box below.

Product Specific Notices for Kininogen Antibody - BSA Free

This product is for research use only and is not approved for use in humans or in clinical diagnosis. Primary Antibodies are guaranteed for 1 year from date of receipt.

Loading...
Loading...
Loading...
Loading...