Skip to main content

Kininogen 1 Antibody (KNG1/7422) - Azide and BSA Free

Novus Biologicals, part of Bio-Techne | Catalog # NBP3-45076

Novus Biologicals, part of Bio-Techne
Catalog #
Availability
Size / Price
Qty
Loading...
NBP3-45076

Key Product Details

Species Reactivity

Human

Applications

Immunohistochemistry

Label

Unconjugated

Antibody Source

Monoclonal Mouse IgG1 kappa Clone # KNG1/7422

Format

Azide and BSA Free

Concentration

1 mg/ml

Product Specifications

Immunogen

Recombinant fragment (around aa1-200) of human Kininogen 1 protein (Uniprot: P01042). Exact sequence is proprietary.

Localization

Extracellular. Secreted. Plasma.

Clonality

Monoclonal

Host

Mouse

Isotype

IgG1 kappa

Description

1.0 mg/ml of antibody purified from Bioreactor Concentrate by Protein A/G. Prepared in 10mM PBS WITHOUT BSA & azide. Also available at 200 ug/ml WITH BSA & azide (NBP3-44613).

Antibody with azide - store at 2 to 8C. Antibody without azide - store at -20 to -80C. Non-hazardous. No MSDS required.

Scientific Data Images for Kininogen 1 Antibody (KNG1/7422) - Azide and BSA Free

Kininogen 1 Antibody (KNG1/7422) - Azide and BSA Free

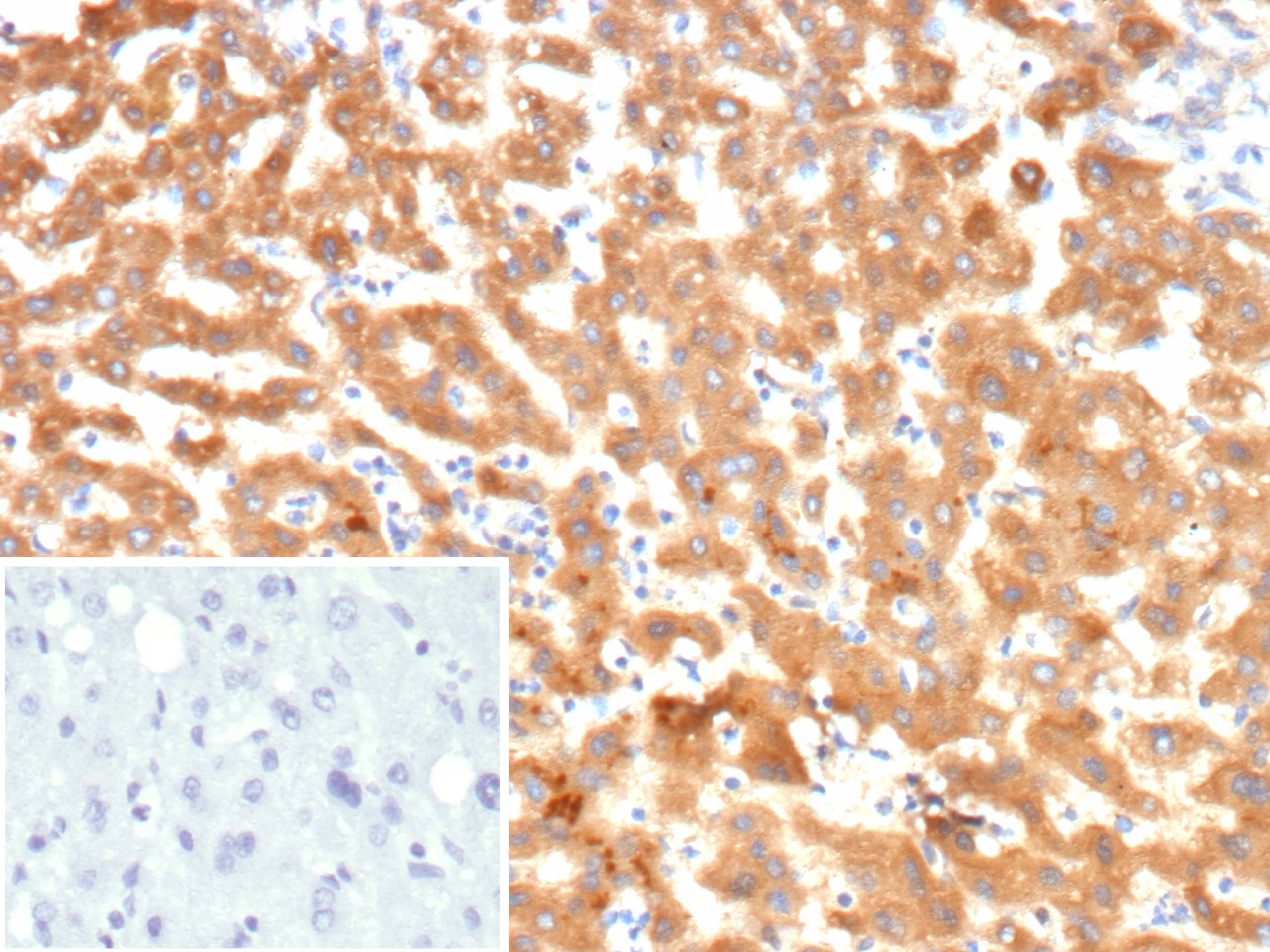
Immunohistochemistry-Paraffin: Kininogen 1 Antibody (KNG1/7422) - Azide and BSA Free [NBP3-45076] -

Formalin-fixed, paraffin-embedded human liver stained with Kininogen 1 Antibody (KNG1/7422) - Azide and BSA Free. Inset: PBS instead of primary antibody; secondary only negative control.

Applications for Kininogen 1 Antibody (KNG1/7422) - Azide and BSA Free

Application
Recommended Usage

Immunohistochemistry

: 1-2ug/ml
Application Notes
Immunohistochemistry: 30 min at RT. Staining of formalin-fixed tissues requires heating tissue sections in 10mM Tris with 1mM EDTA, pH 9.0, for 45 min at 95C followed by cooling at RT for 20 minutes.

Formulation, Preparation, and Storage

Purification

Protein G purified

Formulation

10 mM PBS

Format

Azide and BSA Free

Preservative

No Preservative

Concentration

1 mg/ml

Shipping

The product is shipped with polar packs. Upon receipt, store it immediately at the temperature recommended below.

Stability & Storage

Store at -20 to -80C. Avoid freeze-thaw cycles.

Background: Kininogen 1

Alternate Names

Alpha-2-thiol proteinase inhibitor, BDK, BK, bradykinin, Fitzgerald factor, High molecular weight kininogen, HMWK, kininogen-1, Williams-Fitzgerald-Flaujeac factor

Gene Symbol

KNG1

Additional Kininogen 1 Products

Product Documents for Kininogen 1 Antibody (KNG1/7422) - Azide and BSA Free

Certificate of Analysis

To download a Certificate of Analysis, please enter a lot number in the search box below.

Product Specific Notices for Kininogen 1 Antibody (KNG1/7422) - Azide and BSA Free

This product is for research use only and is not approved for use in humans or in clinical diagnosis. Primary Antibodies are guaranteed for 1 year from date of receipt.

Loading...
Loading...
Loading...
Loading...