Skip to main content

KIAA1586 Antibody - BSA Free

Novus Biologicals, part of Bio-Techne | Catalog # NBP1-86291

Novus Biologicals, part of Bio-Techne
Catalog #
Availability
Size / Price
Qty
Loading...
NBP1-86291-25ul
NBP1-86291

Key Product Details

Validated by

Orthogonal Validation

Species Reactivity

Validated:

Human

Cited:

Human

Applications

Validated:

Immunohistochemistry, Immunohistochemistry-Paraffin, Western Blot, Immunocytochemistry/ Immunofluorescence

Cited:

Western Blot

Label

Unconjugated

Antibody Source

Polyclonal Rabbit IgG

Format

BSA Free

Concentration

Concentrations vary lot to lot. See vial label for concentration. If unlisted please contact technical services.

Product Specifications

Immunogen

This antibody was developed against Recombinant Protein corresponding to amino acids: NKTTRQASLRKKIREHDVSKAHGKIQDLLKESTNDSICNLVHKQNNKNIDATVKVFNTVYSLVKHNRPLSDIEGARELQEKNGEVNCLNTRYSATRI

Clonality

Polyclonal

Host

Rabbit

Isotype

IgG

Description

Novus Biologicals Rabbit KIAA1586 Antibody - BSA Free (NBP1-86291) is a polyclonal antibody validated for use in IHC, WB and ICC/IF. Anti-KIAA1586 Antibody: Cited in 1 publication. All Novus Biologicals antibodies are covered by our 100% guarantee.

Scientific Data Images for KIAA1586 Antibody - BSA Free

Immunocytochemistry/ Immunofluorescence: KIAA1586 Antibody [NBP1-86291]

Immunocytochemistry/ Immunofluorescence: KIAA1586 Antibody [NBP1-86291]

Immunocytochemistry/Immunofluorescence: KIAA1586 Antibody [NBP1-86291] - Immunofluorescent staining of human cell line U-251 MG shows localization to nuclear membrane.
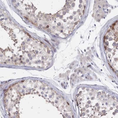
Immunohistochemistry-Paraffin: KIAA1586 Antibody [NBP1-86291]

Immunohistochemistry-Paraffin: KIAA1586 Antibody [NBP1-86291]

Immunohistochemistry-Paraffin: KIAA1586 Antibody [NBP1-86291] - Staining in human testis and skeletal muscle tissues using anti-KIAA1586 antibody. Corresponding KIAA1586 RNA-seq data are presented for the same tissues.
Immunohistochemistry-Paraffin: KIAA1586 Antibody [NBP1-86291]

Immunohistochemistry-Paraffin: KIAA1586 Antibody [NBP1-86291]

Immunohistochemistry-Paraffin: KIAA1586 Antibody [NBP1-86291] - Staining of human skeletal muscle shows low expression as expected.

Applications for KIAA1586 Antibody - BSA Free

Application
Recommended Usage

Immunocytochemistry/ Immunofluorescence

0.25-2 ug/ml

Immunohistochemistry

1:50 - 1:200

Immunohistochemistry-Paraffin

1:50 - 1:200

Western Blot

0.04-0.4 ug/ml
Application Notes
For IHC-Paraffin, HIER pH 6 retrieval is recommended. ICC/IF Fixation Permeabilization: Use PFA/Triton X-100.

Formulation, Preparation, and Storage

Purification

Immunogen affinity purified

Formulation

PBS (pH 7.2) and 40% Glycerol

Format

BSA Free

Preservative

0.02% Sodium Azide

Concentration

Concentrations vary lot to lot. See vial label for concentration. If unlisted please contact technical services.

Shipping

The product is shipped with polar packs. Upon receipt, store it immediately at the temperature recommended below.

Stability & Storage

Store at 4C short term. Aliquot and store at -20C long term. Avoid freeze-thaw cycles.

Background: KIAA1586

Alternate Names

FLJ30162, hypothetical protein LOC57691, KIAA1586

Gene Symbol

KIAA1586

Additional KIAA1586 Products

Product Documents for KIAA1586 Antibody - BSA Free

Certificate of Analysis

To download a Certificate of Analysis, please enter a lot number in the search box below.

Product Specific Notices for KIAA1586 Antibody - BSA Free

This product is for research use only and is not approved for use in humans or in clinical diagnosis. Primary Antibodies are guaranteed for 1 year from date of receipt.

Loading...
Loading...
Loading...
Loading...