KHDC4 Antibody - BSA Free
Novus Biologicals, part of Bio-Techne | Catalog # NBP1-86485
Key Product Details
Species Reactivity
Validated:
Human
Predicted:
Mouse (98%), Rat (98%). Backed by our 100% Guarantee.
Applications
Immunohistochemistry, Immunohistochemistry-Paraffin, Western Blot, Immunocytochemistry/ Immunofluorescence
Label
Unconjugated
Antibody Source
Polyclonal Rabbit IgG
Format
BSA Free
Concentration
Concentrations vary lot to lot. See vial label for concentration. If unlisted please contact technical services.
Product Specifications
Immunogen
This antibody was developed against Recombinant Protein corresponding to amino acids: KGKLKPTQNASEKLQAPGKGLTSNKSKDDLVVAEVEINDVPLTCRNLLTRGQTQDEISRLSGAAVSTRGRFMTTEEKAKVGPGDRPLYLHVQGQTRELVDRAVNRIKEIITNGVVKAATGTSPTFNGATVTVYHQPAP
Clonality
Polyclonal
Host
Rabbit
Isotype
IgG
Scientific Data Images for KHDC4 Antibody - BSA Free
Western Blot: KHDC4 Antibody [NBP1-86485]
Western Blot: KIAA0907 Antibody [NBP1-86485] - Analysis in human cell line RT-4, human cell line U-251 MG, human plasma, human liver tissue and human tonsil tissue.Immunocytochemistry/ Immunofluorescence: KHDC4 Antibody [NBP1-86485]
Immunocytochemistry/Immunofluorescence: KIAA0907 Antibody [NBP1-86485] - Immunofluorescent staining of human cell line U-251 MG shows localization to nucleoplasm.Immunohistochemistry-Paraffin: KHDC4 Antibody - BSA Free [NBP1-86485]
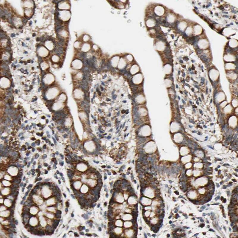
Staining of human colon shows strong cytoplasmic positivity in glandular cells.Applications for KHDC4 Antibody - BSA Free
Application
Recommended Usage
Immunocytochemistry/ Immunofluorescence
0.25-2 ug/ml
Immunohistochemistry
1:20 - 1:50
Immunohistochemistry-Paraffin
1:20-1:50
Western Blot
0.04-0.4 ug/ml
Application Notes
For IHC-Paraffin, HIER pH 6 retrieval is recommended. ICC/IF, Fixation Permeabilization: Use PFA/Triton X-100.
Formulation, Preparation, and Storage
Purification
Affinity purified
Formulation
PBS (pH 7.2) and 40% Glycerol
Format
BSA Free
Preservative
0.02% Sodium Azide
Concentration
Concentrations vary lot to lot. See vial label for concentration. If unlisted please contact technical services.
Shipping
The product is shipped with polar packs. Upon receipt, store it immediately at the temperature recommended below.
Stability & Storage
Store at 4C short term. Aliquot and store at -20C long term. Avoid freeze-thaw cycles.
Background: KHDC4
Alternate Names
BLOM7, KIAA0907, nuclear ribonucleoprotein K homology domain protein, RP11-336K24.1
Gene Symbol
KHDC4
Additional KHDC4 Products
Product Documents for KHDC4 Antibody - BSA Free
Product Specific Notices for KHDC4 Antibody - BSA Free
This product is for research use only and is not approved for use in humans or in clinical diagnosis. Primary Antibodies are guaranteed for 1 year from date of receipt.
Loading...
Loading...
Loading...
Loading...