Skip to main content

KCTD9 Antibody (OTI2G8)

Novus Biologicals, part of Bio-Techne | Catalog # NBP2-45488

Novus Biologicals, part of Bio-Techne
Catalog #
Availability
Size / Price
Qty
Loading...
NBP2-45488

Key Product Details

Species Reactivity

Human, Mouse, Rat

Applications

Immunohistochemistry, Immunohistochemistry-Paraffin, Western Blot

Label

Unconjugated

Antibody Source

Monoclonal Mouse IgG1 Clone # OTI2G8

Concentration

1 mg/ml

Product Specifications

Immunogen

Human recombinant protein fragment corresponding to amino acids 1-223 of human KCTD9(NP_060104) produced in E.coli.

Reactivity Notes

Please note that this antibody is reactive to Mouse and derived from the same host, Mouse. Mouse-On-Mouse blocking reagent may be needed for IHC and ICC experiments to reduce high background signal. You can find these reagents under catalog numbers PK-2200-NB and MP-2400-NB. Please contact Technical Support if you have any questions.

Clonality

Monoclonal

Host

Mouse

Isotype

IgG1

Theoretical MW

42.4 kDa.
Disclaimer note: The observed molecular weight of the protein may vary from the listed predicted molecular weight due to post translational modifications, post translation cleavages, relative charges, and other experimental factors.

Description

Novus Biologicals Mouse KCTD9 Antibody (OTI2G8) (NBP2-45488) is a monoclonal antibody validated for use in IHC and WB. All Novus Biologicals antibodies are covered by our 100% guarantee.

Scientific Data Images for KCTD9 Antibody (OTI2G8)

Western Blot: KCTD9 Antibody (OTI2G8) [NBP2-45488]

Western Blot: KCTD9 Antibody (OTI2G8) [NBP2-45488]

Western Blot: KCTD9 Antibody (2G8) [NBP2-45488] - Analysis of HEK293T cells were transfected with the pCMV6-ENTRY control (Left lane) or pCMV6-ENTRY KCTD9.
Immunohistochemistry: KCTD9 Antibody (OTI2G8) [NBP2-45488]

Immunohistochemistry: KCTD9 Antibody (OTI2G8) [NBP2-45488]

Immunohistochemistry: KCTD9 Antibody (2G8) [NBP2-45488] - Analysis of Adenocarcinoma of Human colon tissue (Heat-induced epitope retrieval by 1mM EDTA in 10mM Tris buffer (pH8.5) at 120C for 3 min)
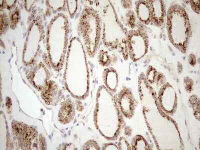
Immunohistochemistry: KCTD9 Antibody (OTI2G8) [NBP2-45488]

Immunohistochemistry: KCTD9 Antibody (OTI2G8) [NBP2-45488]

Immunohistochemistry: KCTD9 Antibody (2G8) [NBP2-45488] - Analysis of Human Kidney tissue. (Heat-induced epitope retrieval by 1mM EDTA in 10mM Tris buffer (pH8.5) at 120C for 3 min)

Applications for KCTD9 Antibody (OTI2G8)

Application
Recommended Usage

Immunohistochemistry

1:150

Western Blot

1:2000

Formulation, Preparation, and Storage

Purification

Immunogen affinity purified

Formulation

PBS (pH 7.3), 1.0% BSA and 50% Glycerol

Preservative

0.02% Sodium Azide

Concentration

1 mg/ml

Shipping

The product is shipped with polar packs. Upon receipt, store it immediately at the temperature recommended below.

Stability & Storage

Store at -20C. Avoid freeze-thaw cycles.

Background: KCTD9

KCTD9( AAH21216, 1 a.a. - 390 a.a.) full-length recombinant protein with GST.

Alternate Names

BTB/POZ domain-containing protein KCTD9, FLJ20038, potassium channel tetramerisation domain containing 9

Gene Symbol

KCTD9

Additional KCTD9 Products

Product Documents for KCTD9 Antibody (OTI2G8)

Certificate of Analysis

To download a Certificate of Analysis, please enter a lot number in the search box below.

Product Specific Notices for KCTD9 Antibody (OTI2G8)

This product is for research use only and is not approved for use in humans or in clinical diagnosis. Primary Antibodies are guaranteed for 1 year from date of receipt.

Loading...
Loading...
Loading...
Loading...