Skip to main content

KCTD3 Antibody - BSA Free

Novus Biologicals, part of Bio-Techne | Catalog # NBP2-17032

Novus Biologicals, part of Bio-Techne
Catalog #
Availability
Size / Price
Qty
Loading...
NBP2-17032

Key Product Details

Species Reactivity

Validated:

Human

Predicted:

Rhesus Macaque (98%). Backed by our 100% Guarantee.

Applications

Immunohistochemistry, Immunohistochemistry-Paraffin, Western Blot

Label

Unconjugated

Antibody Source

Polyclonal Rabbit IgG

Format

BSA Free

Concentration

Concentrations vary lot to lot. See vial label for concentration. If unlisted please contact technical services.

Product Specifications

Immunogen

Recombinant protein encompassing a sequence within the C-terminus region of human KCTD3. The exact sequence is proprietary.

Reactivity Notes

Immunogen displays the following percentage of sequence identity for non-tested species: Mouse (82%).

Clonality

Polyclonal

Host

Rabbit

Isotype

IgG

Theoretical MW

89 kDa.
Disclaimer note: The observed molecular weight of the protein may vary from the listed predicted molecular weight due to post translational modifications, post translation cleavages, relative charges, and other experimental factors.

Description

Novus Biologicals Rabbit KCTD3 Antibody - BSA Free (NBP2-17032) is a polyclonal antibody validated for use in IHC and WB. All Novus Biologicals antibodies are covered by our 100% guarantee.

Scientific Data Images for KCTD3 Antibody - BSA Free

Western Blot: KCTD3 Antibody [NBP2-17032]

Western Blot: KCTD3 Antibody [NBP2-17032]

Western Blot: KCTD3 Antibody [NBP2-17032] - Sample (30 ug of whole cell lysate) A: PC-3 7. 5% SDS PAGE gel, diluted at 1:1000.
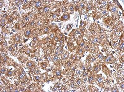
Immunohistochemistry-Paraffin: KCTD3 Antibody [NBP2-17032]

Immunohistochemistry-Paraffin: KCTD3 Antibody [NBP2-17032]

Immunohistochemistry-Paraffin: KCTD3 Antibody [NBP2-17032] - Immunohistochemical analysis of paraffin-embedded Hepatoma, using antibody at 1:500 dilution.

Applications for KCTD3 Antibody - BSA Free

Application
Recommended Usage

Immunohistochemistry

1:100-1:1000

Immunohistochemistry-Paraffin

1:100-1:1000

Western Blot

1:500-1:3000

Formulation, Preparation, and Storage

Purification

Antigen Affinity-purified

Formulation

0.1M Tris, 0.1M Glycine, 20% Glycerol

Format

BSA Free

Preservative

0.01% Thimerosal

Concentration

Concentrations vary lot to lot. See vial label for concentration. If unlisted please contact technical services.

Shipping

The product is shipped with polar packs. Upon receipt, store it immediately at the temperature recommended below.

Stability & Storage

Aliquot and store at -20C or -80C. Avoid freeze-thaw cycles.

Background: KCTD3

KCTD3 is also known as Potassium Channel Tetramerisation Domain Containing 3; little is currently known about KCTD3.

Alternate Names

BTB/POZ domain-containing protein KCTD3, potassium channel tetramerisation domain containing 3, renal carcinoma antigen NY-REN-45

Gene Symbol

KCTD3

UniProt

Additional KCTD3 Products

Product Documents for KCTD3 Antibody - BSA Free

Certificate of Analysis

To download a Certificate of Analysis, please enter a lot number in the search box below.

Product Specific Notices for KCTD3 Antibody - BSA Free

This product is for research use only and is not approved for use in humans or in clinical diagnosis. Primary Antibodies are guaranteed for 1 year from date of receipt.

Loading...
Loading...
Loading...
Loading...

⚠ WARNING: This product can expose you to chemicals including mercury, which is known to the State of California to cause reproductive toxicity with developmental effects.  For more information go to www.P65Warnings.ca.gov.