Skip to main content

KCTD14 Antibody - BSA Free

Novus Biologicals, part of Bio-Techne | Catalog # NBP1-92042

Novus Biologicals, part of Bio-Techne
Catalog #
Availability
Size / Price
Qty
Loading...
NBP1-92042
NBP1-92042-25ul

Key Product Details

Validated by

Orthogonal Validation

Species Reactivity

Human

Applications

Immunohistochemistry, Immunohistochemistry-Paraffin, Western Blot

Label

Unconjugated

Antibody Source

Polyclonal Rabbit IgG

Format

BSA Free

Concentration

Concentrations vary lot to lot. See vial label for concentration. If unlisted please contact technical services.

Product Specifications

Immunogen

This antibody was developed against Recombinant Protein corresponding to amino acids: RPILDYLRTGQVPTQHIPEVYREAQFYEIKPLVKLLEDMPQIFGEQVSRKQFLLQVPGYSENLELMVRLARAEAITARKSSVLV

Clonality

Polyclonal

Host

Rabbit

Isotype

IgG

Description

Novus Biologicals Rabbit KCTD14 Antibody - BSA Free (NBP1-92042) is a polyclonal antibody validated for use in IHC and WB. All Novus Biologicals antibodies are covered by our 100% guarantee.

Scientific Data Images for KCTD14 Antibody - BSA Free

Western Blot: KCTD14 Antibody [NBP1-92042]

Western Blot: KCTD14 Antibody [NBP1-92042]

Western Blot: KCTD14 Antibody [NBP1-92042] - Analysis in control (vector only transfected HEK293T lysate) and KCTD14 over-expression lysate (Co-expressed with a C-terminal myc-DDK tag (3.1 kDa) in mammalian HEK293T cells).
Immunohistochemistry-Paraffin: KCTD14 Antibody [NBP1-92042]

Immunohistochemistry-Paraffin: KCTD14 Antibody [NBP1-92042]

Immunohistochemistry-Paraffin: KCTD14 Antibody [NBP1-92042] - Staining of human skeletal muscle shows low expression as expected.
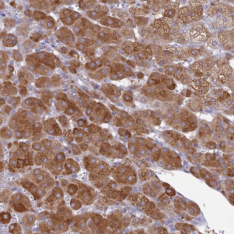
KCTD14 Antibody - BSA Free Immunohistochemistry: KCTD14 Antibody - BSA Free [NBP1-92042]

Immunohistochemistry: KCTD14 Antibody - BSA Free [NBP1-92042]

Staining of human adrenal gland shows high expression.

Applications for KCTD14 Antibody - BSA Free

Application
Recommended Usage

Immunohistochemistry

1:200 - 1:500

Immunohistochemistry-Paraffin

1:200 - 1:500

Western Blot

0.04-0.4 ug/ml
Application Notes
For IHC-Paraffin, HIER pH 6 retrieval is recommended.

Formulation, Preparation, and Storage

Purification

Affinity purified

Formulation

PBS (pH 7.2) and 40% Glycerol

Format

BSA Free

Preservative

0.02% Sodium Azide

Concentration

Concentrations vary lot to lot. See vial label for concentration. If unlisted please contact technical services.

Shipping

The product is shipped with polar packs. Upon receipt, store it immediately at the temperature recommended below.

Stability & Storage

Store at 4C short term. Aliquot and store at -20C long term. Avoid freeze-thaw cycles.

Background: KCTD14

Alternate Names

BTB/POZ domain-containing protein KCTD14, MGC2376, potassium channel tetramerisation domain containing 14

Gene Symbol

KCTD14

Additional KCTD14 Products

Product Documents for KCTD14 Antibody - BSA Free

Certificate of Analysis

To download a Certificate of Analysis, please enter a lot number in the search box below.

Product Specific Notices for KCTD14 Antibody - BSA Free

This product is for research use only and is not approved for use in humans or in clinical diagnosis. Primary Antibodies are guaranteed for 1 year from date of receipt.

Loading...
Loading...
Loading...
Loading...