Skip to main content

KCTD14 Antibody (OTI1D11)

Novus Biologicals, part of Bio-Techne | Catalog # NBP2-00470

Novus Biologicals, part of Bio-Techne
Catalog #
Availability
Size / Price
Qty
Loading...
NBP2-00470

Key Product Details

Species Reactivity

Human

Applications

Immunohistochemistry, Immunohistochemistry-Paraffin, Western Blot, Flow Cytometry, Immunocytochemistry/ Immunofluorescence

Label

Unconjugated

Antibody Source

Monoclonal Mouse IgG1 Clone # OTI1D11

Concentration

0.5 mg/ml

Product Specifications

Immunogen

Full length human recombinant protein of human KCTD14 (NP_076419) produced in HEK293T cell.

Clonality

Monoclonal

Host

Mouse

Isotype

IgG1

Theoretical MW

29.4 kDa.
Disclaimer note: The observed molecular weight of the protein may vary from the listed predicted molecular weight due to post translational modifications, post translation cleavages, relative charges, and other experimental factors.

Description

Novus Biologicals Mouse KCTD14 Antibody (OTI1D11) (NBP2-00470) is a monoclonal antibody validated for use in IHC, WB, Flow and ICC/IF. All Novus Biologicals antibodies are covered by our 100% guarantee.

Scientific Data Images for KCTD14 Antibody (OTI1D11)

Western Blot: KCTD14 Antibody (OTI1D11) [NBP2-00470]

Western Blot: KCTD14 Antibody (OTI1D11) [NBP2-00470]

Western Blot: KCTD14 Antibody (1D11) [NBP2-00470] - HEK293T cells were transfected with the pCMV6-ENTRY control (Left lane) or pCMV6-ENTRY KCTD14 (Right lane) cDNA for 48 hrs and lysed. Equivalent amounts of cell lysates (5 ug per lane) were separated by SDS-PAGE and immunoblotted with anti-KCTD14.
Immunocytochemistry/Immunofluorescence: KCTD14 Antibody (1D11) [NBP2-00470] Staining of COS7 cells transiently transfected by pCMV6-ENTRY KCTD14.
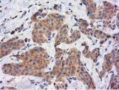
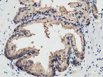
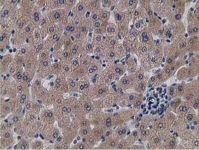
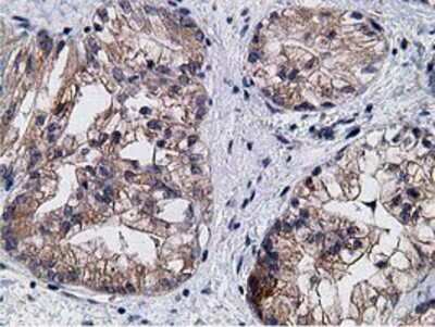
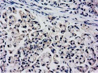
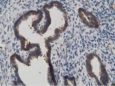
Immunohistochemistry-Paraffin: KCTD14 Antibody (OTI1D11) [NBP2-00470]

Immunohistochemistry-Paraffin: KCTD14 Antibody (OTI1D11) [NBP2-00470]

Immunohistochemistry-Paraffin: KCTD14 Antibody (1D11) [NBP2-00470] - Staining of paraffin-embedded Human prostate tissue using anti-KCTD14 mouse monoclonal antibody.

Applications for KCTD14 Antibody (OTI1D11)

Application
Recommended Usage

Flow Cytometry

1:100

Immunocytochemistry/ Immunofluorescence

1:100

Immunohistochemistry

1:150

Immunohistochemistry-Paraffin

1:150

Western Blot

1:2000

Formulation, Preparation, and Storage

Purification

Immunogen affinity purified

Formulation

PBS (pH 7.3), 1.0% BSA and 50% Glycerol

Preservative

0.02% Sodium Azide

Concentration

0.5 mg/ml

Shipping

The product is shipped with polar packs. Upon receipt, store it immediately at the temperature recommended below.

Stability & Storage

Store at -20C. Avoid freeze-thaw cycles.

Background: KCTD14

Alternate Names

BTB/POZ domain-containing protein KCTD14, MGC2376, potassium channel tetramerisation domain containing 14

Entrez Gene IDs

65987 (Human)

Gene Symbol

KCTD14

Additional KCTD14 Products

Product Documents for KCTD14 Antibody (OTI1D11)

Certificate of Analysis

To download a Certificate of Analysis, please enter a lot number in the search box below.

Product Specific Notices for KCTD14 Antibody (OTI1D11)

This product is for research use only and is not approved for use in humans or in clinical diagnosis. Primary Antibodies are guaranteed for 1 year from date of receipt.

Loading...
Loading...
Loading...
Loading...
Loading...