Skip to main content

KCNJ13 Antibody - BSA Free

Novus Biologicals, part of Bio-Techne | Catalog # NBP3-46381

Novus Biologicals, part of Bio-Techne
Catalog #
Availability
Size / Price
Qty
Loading...
NBP3-46381

Key Product Details

Species Reactivity

Human

Applications

Immunohistochemistry, Western Blot, ELISA

Label

Unconjugated

Antibody Source

Polyclonal Rabbit IgG

Format

BSA Free

Concentration

Please see the vial label for concentration. If unlisted please contact technical services.

Product Specifications

Immunogen

potassium inwardly-rectifying channel, subfamily J, member 13. (Uniprot# O60928)

Clonality

Polyclonal

Host

Rabbit

Isotype

IgG

Theoretical MW

43 kDa.
Disclaimer note: The observed molecular weight of the protein may vary from the listed predicted molecular weight due to post translational modifications, post translation cleavages, relative charges, and other experimental factors.

Description

Novus Biologicals Rabbit KCNJ13 Antibody - BSA Free (NBP3-46381) is a polyclonal antibody validated for use in IHC, WB and ELISA. All Novus Biologicals antibodies are covered by our 100% guarantee.

Scientific Data Images for KCNJ13 Antibody - BSA Free

KCNJ13 Antibody - BSA Free

Western Blot: KCNJ13 Antibody - BSA Free [NBP3-46381] -

Western Blot: KCNJ13 Antibody - BSA Free [NBP3-46381] - Human brain tissue were subjected to SDS PAGE followed by western blot with (Kir7.1 antibody) at dilution of 1:300
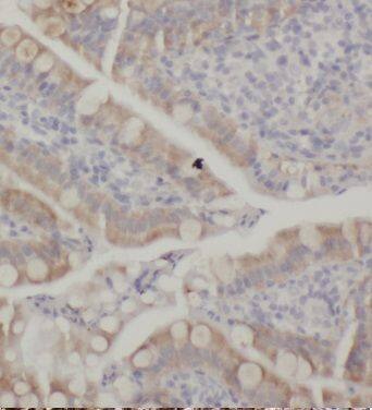
KCNJ13 Antibody - BSA Free

Immunohistochemistry: KCNJ13 Antibody - BSA Free [NBP3-46381] -

Immunohistochemistry: KCNJ13 Antibody - BSA Free [NBP3-46381] - Immunohistochemistry of paraffin-embedded human small intestine tissue slide using (KCNJ13 Antibody) at dilution of 1:50

Applications for KCNJ13 Antibody - BSA Free

Application
Recommended Usage

Immunohistochemistry

1:20-1:200

Western Blot

1:500-1:2000

Formulation, Preparation, and Storage

Purification

Immunogen affinity purified

Formulation

PBS, 50% Glycerol, pH (7.3)

Format

BSA Free

Preservative

0.02% Sodium Azide

Concentration

Please see the vial label for concentration. If unlisted please contact technical services.

Shipping

The product is shipped with polar packs. Upon receipt, store it immediately at the temperature recommended below.

Stability & Storage

Store at -20C. Avoid freeze-thaw cycles.

Background: KCNJ13

FUNCTION: Inward rectifier potassium channels are characterized by a greater tendency to allow potassium to flow into the cell rather than out of it. Their voltage dependence is regulated by the concentration of extracellular potassium; as external potassium is raised, the voltage range of the channel opening shifts to more positive voltages. The inward rectification is mainly due to the blockage of outward current by internal magnesium. KCNJ13 has a very low single channel conductance, low sensitivity to block by external barium and cesium, and no dependence of its inward rectification properties on the internal blocking particle magnesium.; Tissue specificity: Predominantly expressed in small intestine. Expression is also detected in stomach, kidney, and all central nervous system regions tested with the exception of spinal cord.; Subcellular location: Membrane, Multi-pass membrane protein.; Involvement in disease: Defects in KCNJ13 are the cause of snowflake vitreoretinal degeneration (SVD). SVD is a developmental and progressive hereditary eye disorder that affects multiple tissues within the eye. Diagnostic features of SVD include fibrillar degeneration of the vitreous humor, early-onset cataract, minute crystalline deposits in the neurosensory retina, and retinal detachment.

Long Name

Inward rectifier potassium channel 13

Alternate Names

Inward rectifier K(+) channel Kir7.1, inwardly rectifying subfamily J member 13, MGC33328, potassium inwardly-rectifying channel, subfamily J, member 13

Gene Symbol

KCNJ13

Additional KCNJ13 Products

Product Documents for KCNJ13 Antibody - BSA Free

Certificate of Analysis

To download a Certificate of Analysis, please enter a lot number in the search box below.

Product Specific Notices for KCNJ13 Antibody - BSA Free

This product is for research use only and is not approved for use in humans or in clinical diagnosis. Primary Antibodies are guaranteed for 1 year from date of receipt.

Loading...
Loading...
Loading...
Loading...