Skip to main content

KCC3/SLC12A6 Antibody

Novus Biologicals, part of Bio-Techne | Catalog # NBP1-06044

Novus Biologicals, part of Bio-Techne
Catalog #
Availability
Size / Price
Qty
Loading...
NBP1-06044

Key Product Details

Species Reactivity

Human

Applications

Immunohistochemistry, Immunohistochemistry-Paraffin, Western Blot, Peptide ELISA

Label

Unconjugated

Antibody Source

Polyclonal Goat IgG

Concentration

0.5 mg/ml

Product Specifications

Immunogen

Peptide with sequence SRHIDVCSKTKE corresponding to internal region according to NP_001035959.1, NP_001035960.1, NP_001035961.1, NP_001035962.1, NP_005126.1, NP_598408.1.

Epitope

SRHIDVCSKTKE

Specificity

This antibody is expected to recognise all 6 reported isofoms (NP_598408.1; NP_005126.1; NP_001035959.1; NP_001035960.1; NP_001035961.1; NP_001035962.1; );

Clonality

Polyclonal

Host

Goat

Isotype

IgG

Scientific Data Images for KCC3/SLC12A6 Antibody

Western Blot: KCC3/SLC12A6 Antibody [NBP1-06044]

Western Blot: KCC3/SLC12A6 Antibody [NBP1-06044]

Western Blot: KCC3/SLC12A6 Antibody [NBP1-06044] - (0.1ug/ml) staining of Human Heart lysate (35ug protein in RIPA buffer). Primary incubation was 1 hour. Detected by chemiluminescence.
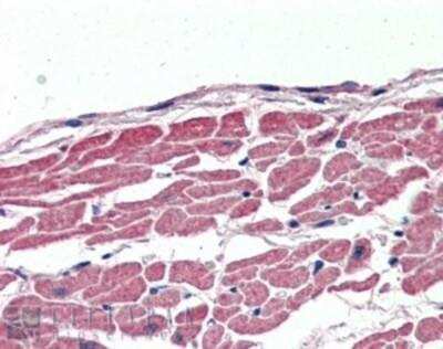
Immunohistochemistry-Paraffin: KCC3/SLC12A6 Antibody [NBP1-06044]

Immunohistochemistry-Paraffin: KCC3/SLC12A6 Antibody [NBP1-06044]

Immunohistochemistry-Paraffin: KCC3/SLC12A6 Antibody [NBP1-06044] - (2.5ug/ml) staining of paraffin embedded Human Heart. Steamed antigen retrieval with citrate buffer pH 6, AP-staining.

Applications for KCC3/SLC12A6 Antibody

Application
Recommended Usage

Immunohistochemistry

2 - 4 ug/ml

Immunohistochemistry-Paraffin

2 - 4 ug/ml

Peptide ELISA

Detection limit 1:16000

Western Blot

0.1 - 0.3 ug/ml
Application Notes
WB: Approx. 120 kDa band observed in human heart and kidney lysates (calculated MW ranging 121-128 kDa band according to NP_598408.1; NP_005126.1; NP_001035959.1; NP_001035960.1; NP_001035961.1; NP_001035962.1). IHC-P: Human heart shows staining of myocardial fibrils in transverse section.

Formulation, Preparation, and Storage

Purification

Immunogen affinity purified

Formulation

Tris saline (20 mM Tris pH 7.3, 150 mM NaCl), 0.5% BSA

Preservative

0.02% Sodium Azide

Concentration

0.5 mg/ml

Shipping

The product is shipped with polar packs. Upon receipt, store it immediately at the temperature recommended below.

Stability & Storage

Store at -20C. Avoid freeze-thaw cycles.

Background: KCC3/SLC12A6

This gene is a member of the K-Cl cotransporter (KCC) family. K-Cl cotransporters are integral membrane proteins that lower intracellular chloride concentrations below the electrochemical equilibrium potential. The proteins encoded by this gene are activated by cell swelling induced by hypotonic conditions. Alternate splicing results in multiple transcript variants encoding different isoforms. Mutations in this gene are associated with agenesis of the corpus callosum with peripheral neuropathy. [provided by RefSeq]

Long Name

K-Cl Cotransporter 3

Alternate Names

ACCPN, SLC12A6

Entrez Gene IDs

9990 (Human)

Gene Symbol

SLC12A6

Additional KCC3/SLC12A6 Products

Product Documents for KCC3/SLC12A6 Antibody

Certificate of Analysis

To download a Certificate of Analysis, please enter a lot number in the search box below.

Product Specific Notices for KCC3/SLC12A6 Antibody

This product is for research use only and is not approved for use in humans or in clinical diagnosis. Primary Antibodies are guaranteed for 1 year from date of receipt.

Loading...
Loading...
Loading...
Loading...