KANSL1 Antibody - BSA Free
Novus Biologicals, part of Bio-Techne | Catalog # NBP1-94065
Key Product Details
Validated by
Orthogonal Validation
Species Reactivity
Validated:
Human
Predicted:
Mouse (90%). Backed by our 100% Guarantee.
Applications
Immunohistochemistry, Immunohistochemistry-Paraffin
Label
Unconjugated
Antibody Source
Polyclonal Rabbit IgG
Format
BSA Free
Concentration
Concentrations vary lot to lot. See vial label for concentration. If unlisted please contact technical services.
Product Specifications
Immunogen
This antibody was developed against Recombinant Protein corresponding to amino acids: APLLERLSQLDSCVHPVLAFPDDVPTSLHFQSMLKSQWQNKPFDKIKPPKKLSLKHRAPMPGSLPDSARKDRHKLVSSFLTTAKLSHHQTRPDRTHRQHLDDVGAVPMVERVTAPKAERLLNPPPPVHDPNHSKMRLRDHSS
Reactivity Notes
Reactivity reported in scientific literature (PMID: 23435261)
Clonality
Polyclonal
Host
Rabbit
Isotype
IgG
Scientific Data Images for KANSL1 Antibody - BSA Free
Immunohistochemistry-Paraffin: KANSL1 Antibody [NBP1-94065]
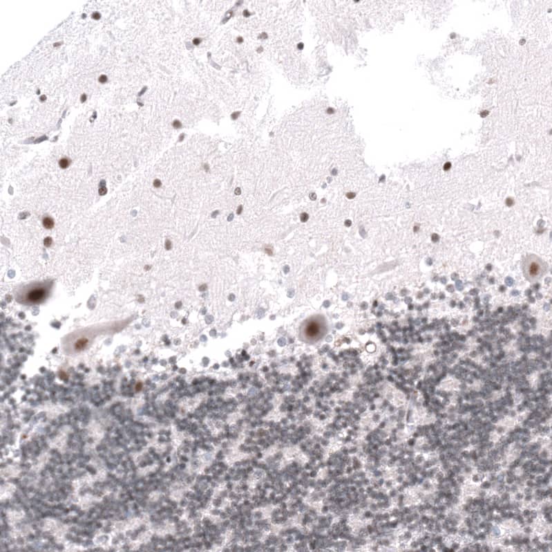
Immunohistochemistry-Paraffin: KIAA1267 Antibody [NBP1-94065] - Staining of human cerebral cortex shows strong cytoplasmic and nuclear positivity in neuronal cells.Immunohistochemistry: KANSL1 Antibody - BSA Free [NBP1-94065]
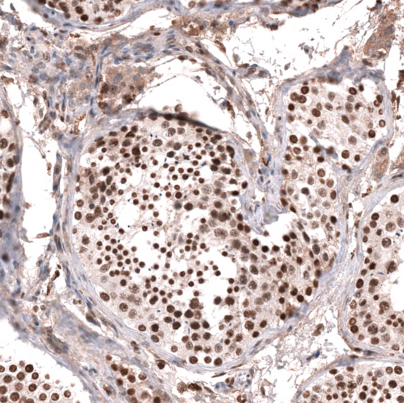
Staining of human testis shows moderate nuclear positivity in spermatogonia.Applications for KANSL1 Antibody - BSA Free
Application
Recommended Usage
Immunohistochemistry
1:50 - 1:200
Immunohistochemistry-Paraffin
1:50 - 1:200
Application Notes
For IHC-Paraffin, HIER pH 6 retrieval is recommended.
Formulation, Preparation, and Storage
Purification
Affinity purified
Formulation
PBS (pH 7.2) and 40% Glycerol
Format
BSA Free
Preservative
0.02% Sodium Azide
Concentration
Concentrations vary lot to lot. See vial label for concentration. If unlisted please contact technical services.
Shipping
The product is shipped with polar packs. Upon receipt, store it immediately at the temperature recommended below.
Stability & Storage
Store at 4C short term. Aliquot and store at -20C long term. Avoid freeze-thaw cycles.
Background: KANSL1
Alternate Names
CENP-36, centromere protein 36, DKFZp686P06109, DKFZp727C091, hypothetical protein LOC284058, KIAA1267, male-specific lethal 1 homolog, MGC102843, MSL1v1, NSL1
Gene Symbol
KANSL1
Additional KANSL1 Products
Product Documents for KANSL1 Antibody - BSA Free
Product Specific Notices for KANSL1 Antibody - BSA Free
This product is for research use only and is not approved for use in humans or in clinical diagnosis. Primary Antibodies are guaranteed for 1 year from date of receipt.
Loading...
Loading...
Loading...
Loading...