Skip to main content

JDP2 Antibody - BSA Free

Novus Biologicals, part of Bio-Techne | Catalog # NBP2-31775

Novus Biologicals, part of Bio-Techne
Catalog #
Availability
Size / Price
Qty
Loading...
NBP2-31775
NBP2-31775-25ul

Key Product Details

Species Reactivity

Validated:

Human

Predicted:

Mouse (96%), Rat (96%). Backed by our 100% Guarantee.

Applications

Immunohistochemistry, Immunohistochemistry-Paraffin, Immunocytochemistry/ Immunofluorescence, Chromatin Immunoprecipitation-exo-Seq

Label

Unconjugated

Antibody Source

Polyclonal Rabbit IgG

Format

BSA Free

Concentration

Concentrations vary lot to lot. See vial label for concentration. If unlisted please contact technical services.

Product Specifications

Immunogen

This antibody was developed against a recombinant protein corresponding to amino acids: HRPTCIVRTDSVKTPESEGNPLLE

Clonality

Polyclonal

Host

Rabbit

Isotype

IgG

Scientific Data Images for JDP2 Antibody - BSA Free

Immunocytochemistry/ Immunofluorescence: JDP2 Antibody [NBP2-31775]

Immunocytochemistry/ Immunofluorescence: JDP2 Antibody [NBP2-31775]

Immunocytochemistry/Immunofluorescence: JDP2 Antibody [NBP2-31775] - Staining of human cell line MCF7 shows positivity in nucleus but excluded from the nucleoli. Antibody staining is shown in green.
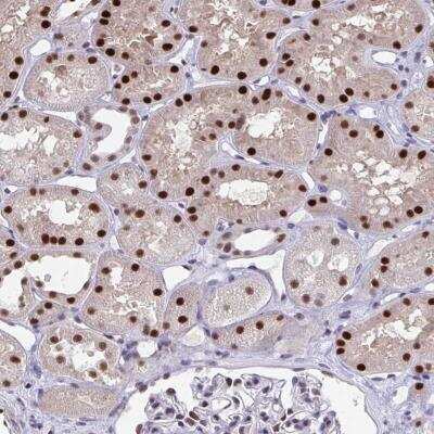
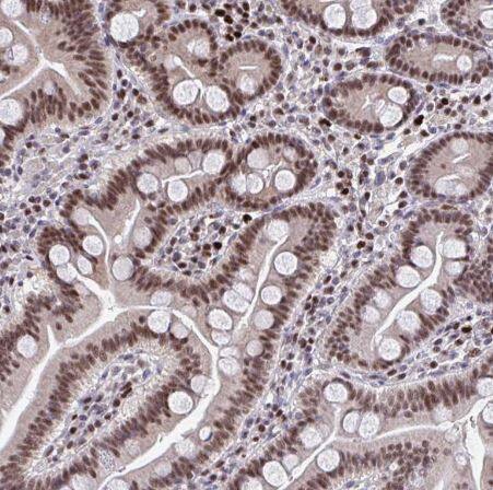
Immunohistochemistry-Paraffin: JDP2 Antibody [NBP2-31775]

Immunohistochemistry-Paraffin: JDP2 Antibody [NBP2-31775]

Immunohistochemistry-Paraffin: JDP2 Antibody [NBP2-31775] - Staining of human kidney shows strong nuclear positivity in cells in tubules.

Staining of human duodenum shows moderate nuclear positivity in glandular cells.

staining of human duodenum shows moderate nuclear positivity in glandular cells.

Applications for JDP2 Antibody - BSA Free

Application
Recommended Usage

Chromatin Immunoprecipitation-exo-Seq

1-10ug per reaction

Immunocytochemistry/ Immunofluorescence

0.25-2 ug/ml

Immunohistochemistry

1:500 - 1:1000

Immunohistochemistry-Paraffin

1:500 - 1:1000
Application Notes
For IHC-Paraffin, HIER pH 6 retrieval is recommended. ICC/IF Fixation Permeabilization: Use PFA/Triton X-100.

Formulation, Preparation, and Storage

Purification

Affinity purified

Formulation

PBS (pH 7.2) and 40% Glycerol

Format

BSA Free

Preservative

0.02% Sodium Azide

Concentration

Concentrations vary lot to lot. See vial label for concentration. If unlisted please contact technical services.

Shipping

The product is shipped with polar packs. Upon receipt, store it immediately at the temperature recommended below.

Stability & Storage

Store at 4C short term. Aliquot and store at -20C long term. Avoid freeze-thaw cycles.

Background: JDP2

JDP2 is a gene which codes for a protein that helps to repress transactivation as well as controlling responses such as apoptosis, tumorigenesis, cell differentiation, and antitumogeneris via the modification of histones along with chromatin assembly and is comprised of 163 amino acids, weighs approximately 19 kDa. Studies have been conducted on diseases and disorders relating to this gene including intracranial aneurysms, keratitis, carcinoma, rhabdomyosarcoma, pancreatitis, leukemia, and skeletal muscle neoplasm. JDP2 has also been shown to have interactions with JUND, JUNB, JUN, PGR, and EEF1G in pathways such as the ATF-2 transcription factor and tacrolimus/cyclosporine pathways.

Alternate Names

Jun dimerization protein 2, JUNDM2, progesterone receptor co-activator

Gene Symbol

JDP2

UniProt

Additional JDP2 Products

Product Documents for JDP2 Antibody - BSA Free

Certificate of Analysis

To download a Certificate of Analysis, please enter a lot number in the search box below.

Product Specific Notices for JDP2 Antibody - BSA Free

This product is for research use only and is not approved for use in humans or in clinical diagnosis. Primary Antibodies are guaranteed for 1 year from date of receipt.

Loading...
Loading...
Loading...
Loading...