Skip to main content

IST1 Antibody - BSA Free

Novus Biologicals, part of Bio-Techne | Catalog # NBP1-87676

Novus Biologicals, part of Bio-Techne
Catalog #
Availability
Size / Price
Qty
Loading...
NBP1-87676

Key Product Details

Validated by

Independent Antibodies

Species Reactivity

Validated:

Human

Predicted:

Mouse (99%), Rat (99%). Backed by our 100% Guarantee.

Applications

Immunohistochemistry, Immunohistochemistry-Paraffin, Western Blot

Label

Unconjugated

Antibody Source

Polyclonal Rabbit IgG

Format

BSA Free

Concentration

Concentrations vary lot to lot. See vial label for concentration. If unlisted please contact technical services.

Product Specifications

Immunogen

This antibody was developed against Recombinant Protein corresponding to amino acids: APRLQSEVAELKIVADQLCAKYSKEYGKLCRTNQIGTVNDRLMHKLSVEAPPKILVERYLIEIAKNYNVPYEPDSVVMAEAPPGVETDLIDVGFTDD

Clonality

Polyclonal

Host

Rabbit

Isotype

IgG

Theoretical MW

40 kDa.
Disclaimer note: The observed molecular weight of the protein may vary from the listed predicted molecular weight due to post translational modifications, post translation cleavages, relative charges, and other experimental factors.

Scientific Data Images for IST1 Antibody - BSA Free

Immunohistochemistry-Paraffin: IST1 Antibody [NBP1-87676]

Immunohistochemistry-Paraffin: IST1 Antibody [NBP1-87676]

Immunohistochemistry-Paraffin: IST1 Antibody [NBP1-87676] - Staining of human placenta shows strong cytoplasmic positivity in trophoblastic cells.
Western Blot: IST1 Antibody [NBP1-87676]

Western Blot: IST1 Antibody [NBP1-87676]

Western Blot: IST1 Antibody [NBP1-87676] - Lane 1: Marker [kDa] 250, 130, 95, 72, 55, 36, 28, 17, 10. Lane 2: Human cell line RT-4. Lane 3: Human cell line U-251MG sp
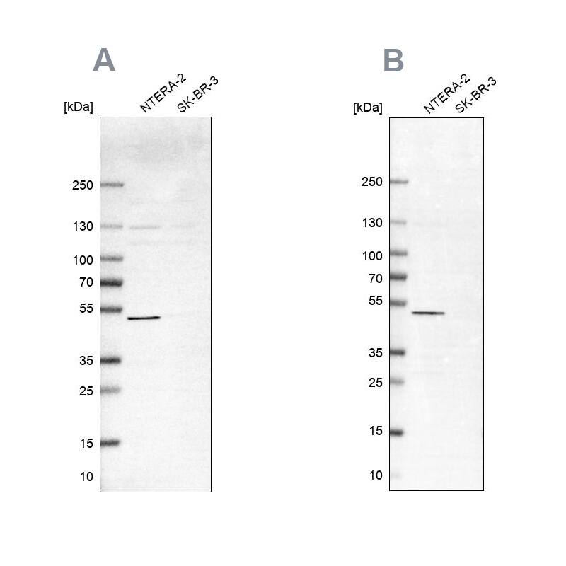
IST1 Antibody Western Blot: IST1 Antibody Antibody [NBP1-87676]

Western Blot: IST1 Antibody Antibody [NBP1-87676]

Analysis using NBP1-87676 (A) shows similar pattern to independent antibody NBP2-33720 (B).

Applications for IST1 Antibody - BSA Free

Application
Recommended Usage

Immunohistochemistry

1:20 - 1:50

Immunohistochemistry-Paraffin

1:20 - 1:50

Western Blot

0.04-0.4 ug/ml
Application Notes
For IHC-Paraffin, HIER pH 6 retrieval is recommended.

Formulation, Preparation, and Storage

Purification

Affinity purified

Formulation

PBS (pH 7.2) and 40% Glycerol

Format

BSA Free

Preservative

0.02% Sodium Azide

Concentration

Concentrations vary lot to lot. See vial label for concentration. If unlisted please contact technical services.

Shipping

The product is shipped with polar packs. Upon receipt, store it immediately at the temperature recommended below.

Stability & Storage

Store at 4C short term. Aliquot and store at -20C long term. Avoid freeze-thaw cycles.

Background: IST1

Proposed to be involved in specific functions of the ESCRT machinery. Is required for efficient abscission during cytokinesis, but not for HIV-1 budding. The involvment in the MVB pathway is not established. Involved in recruiting VPS4A and/or VPS4B to the midbody of dividing cells.

Alternate Names

increased sodium tolerance 1 homolog (yeast), IST1 homolog, OLC1

Entrez Gene IDs

9798 (Human)

Gene Symbol

IST1

UniProt

Additional IST1 Products

Product Documents for IST1 Antibody - BSA Free

Certificate of Analysis

To download a Certificate of Analysis, please enter a lot number in the search box below.

Product Specific Notices for IST1 Antibody - BSA Free

This product is for research use only and is not approved for use in humans or in clinical diagnosis. Primary Antibodies are guaranteed for 1 year from date of receipt.

Loading...
Loading...
Loading...
Loading...