Skip to main content

Isopeptidase T/USP5 Antibody - BSA Free

Novus Biologicals, part of Bio-Techne | Catalog # NBP3-38080

Novus Biologicals, part of Bio-Techne
Catalog #
Availability
Size / Price
Qty
Loading...
NBP3-38080-20ul
NBP3-38080-100ul

Key Product Details

Species Reactivity

Human, Mouse, Rat

Applications

Immunohistochemistry, Immunohistochemistry-Paraffin, Western Blot, ELISA, Immunocytochemistry/ Immunofluorescence

Label

Unconjugated

Antibody Source

Polyclonal Rabbit IgG

Format

BSA Free

Concentration

Please see the vial label for concentration. If unlisted please contact technical services.

Product Specifications

Immunogen

Recombinant fusion protein containing a sequence corresponding to amino acids 1-280 of human Isopeptidase T/USP5 (NP_003472.2).

Sequence:
MAELSEEALLSVLPTIRVPKAGDRVHKDECAFSFDTPESEGGLYICMNTFLGFGKQYVERHFNKTGQRVYLHLRRTRRPKEEDPATGTGDPPRKKPTRLAIGVEGGFDLSEEKFELDEDVKIVILPDYLEIARDGLGGLPDIVRDRVTSAVEALLSADSASRKQEVQAWDGEVRQVSKHAFSLKQLDNPARIPPCGWKCSKCDMRENLWLNLTDGSILCGRRYFDGSGGNNHAVEHYRETGYPLAVKLGTITPDGADVYSYDEDDMVLDPSLAEHLSHFG

Clonality

Polyclonal

Host

Rabbit

Isotype

IgG

Theoretical MW

96 kDa.
Disclaimer note: The observed molecular weight of the protein may vary from the listed predicted molecular weight due to post translational modifications, post translation cleavages, relative charges, and other experimental factors.

Description

Novus Biologicals Rabbit Isopeptidase T/USP5 Antibody - BSA Free (NBP3-38080) is a polyclonal antibody validated for use in IHC, WB, ELISA and ICC/IF. All Novus Biologicals antibodies are covered by our 100% guarantee.

Scientific Data Images for Isopeptidase T/USP5 Antibody - BSA Free

Isopeptidase T/USP5 Antibody

Western Blot: Isopeptidase T/USP5 Antibody [NBP3-38080] -

Western Blot: Isopeptidase T/USP5 Antibody [NBP3-38080] - Western blot analysis of various lysates using Isopeptidase T/USP5 Rabbit pAb at 1:1000 dilution.
Secondary antibody: HRP-conjugated Goat anti-Rabbit IgG (H+L) at 1:10000 dilution.
Lysates/proteins: 25ug per lane.
Blocking buffer: 3% nonfat dry milk in TBST.
Detection: ECL Basic Kit.
Exposure time: 1s.
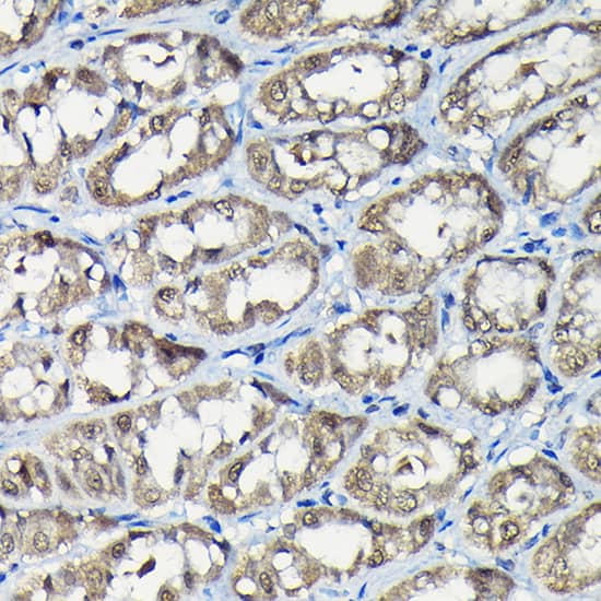
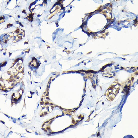
Isopeptidase T/USP5 Antibody

Immunohistochemistry: Isopeptidase T/USP5 Antibody [NBP3-38080] -

Immunohistochemistry: Isopeptidase T/USP5 Antibody [NBP3-38080] - Immunohistochemistry analysis of paraffin-embedded Human lung cancer using Isopeptidase T/USP5 Rabbit pAb at dilution of 1:100 (40x lens). High pressure antigen retrieval performed with 0.01M Citrate Bufferr (pH 6.0) prior to IHC staining.
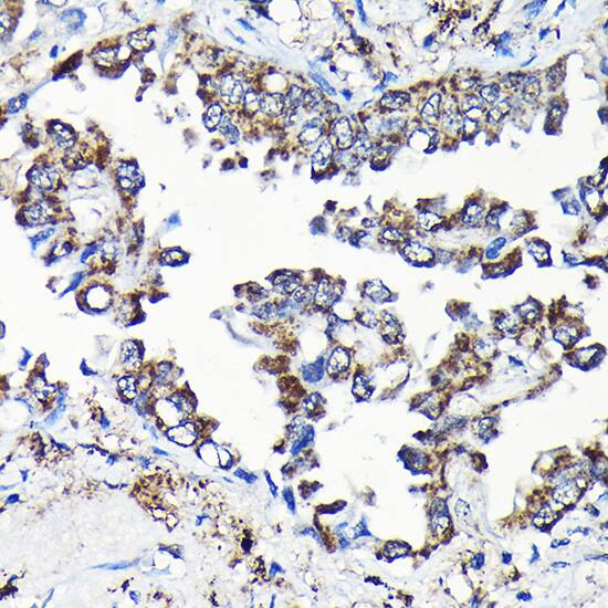
Isopeptidase T/USP5 Antibody

Immunohistochemistry: Isopeptidase T/USP5 Antibody [NBP3-38080] -

Immunohistochemistry: Isopeptidase T/USP5 Antibody [NBP3-38080] - Immunohistochemistry analysis of paraffin-embedded Human breast cancer using Isopeptidase T/USP5 Rabbit pAb at dilution of 1:100 (40x lens). High pressure antigen retrieval performed with 0.01M Citrate Bufferr (pH 6.0) prior to IHC staining.

Applications for Isopeptidase T/USP5 Antibody - BSA Free

Application
Recommended Usage

Immunocytochemistry/ Immunofluorescence

1:50 - 1:200

Immunohistochemistry-Paraffin

1:50 - 1:200

Western Blot

1:1000 - 1:2000

Formulation, Preparation, and Storage

Purification

Affinity purified

Formulation

PBS (pH 7.3), 50% glycerol

Format

BSA Free

Preservative

0.02% Sodium Azide

Concentration

Please see the vial label for concentration. If unlisted please contact technical services.

Shipping

The product is shipped with polar packs. Upon receipt, store it immediately at the temperature recommended below.

Stability & Storage

Store at -20C. Avoid freeze-thaw cycles.

Background: Isopeptidase T/USP5

Ubiquitin (Ub) is a highly conserved protein found ubiquitously in eukaryotic organisms. The conjugation of ubiquitin to proteins is an important means to regulate protein activity for many cellular processes by tagging them for degradation. Removal of Ub can rescue proteins from degradation. This is accomplished by the ubiquitin-specific processing protease (UBP) family of enzymes. Ubiquitin specific processing protease 5 (USP5) is a member of this family. The upregulation of USP5 has been found to be associated with fetal Down syndrome. Alternate names for USP include ubiquitin carboxyl-terminal hydrolase 5, ubiquitin thioesterase 5, ubiquitin-specific-processing protease 5, deubuiquitinating enzyme 5, isopeptidase T, and ISOT.

Long Name

Ubiquitin Specific Protease 5

Alternate Names

IsoT, USP5

Gene Symbol

USP5

Additional Isopeptidase T/USP5 Products

Product Documents for Isopeptidase T/USP5 Antibody - BSA Free

Certificate of Analysis

To download a Certificate of Analysis, please enter a lot number in the search box below.

Product Specific Notices for Isopeptidase T/USP5 Antibody - BSA Free

This product is for research use only and is not approved for use in humans or in clinical diagnosis. Primary Antibodies are guaranteed for 1 year from date of receipt.

Loading...
Loading...
Loading...
Loading...