Skip to main content

Isopeptidase T/USP5 Antibody - BSA Free

Novus Biologicals, part of Bio-Techne | Catalog # NB100-77286

Novus Biologicals, part of Bio-Techne

Key Product Details

Validated by

Independent Antibodies

Species Reactivity

Human

Applications

Immunohistochemistry, Immunohistochemistry-Paraffin, Immunoprecipitation, Western Blot (Negative)

Label

Unconjugated

Antibody Source

Polyclonal Rabbit IgG

Format

BSA Free

Concentration

1.0 mg/ml

Product Specifications

Immunogen

The immunogen recognized by this antibody maps to a region between residue 375 and 425 of human ubiquitin specific peptidase 5 (isopeptidase T) using the numbering given in entry CAA62690.1 (GeneID 8078).

Clonality

Polyclonal

Host

Rabbit

Isotype

IgG

Description

Novus Biologicals Rabbit Isopeptidase T/USP5 Antibody - BSA Free (NB100-77286) is a polyclonal antibody validated for use in IHC and IP. All Novus Biologicals antibodies are covered by our 100% guarantee.

Scientific Data Images for Isopeptidase T/USP5 Antibody - BSA Free

Immunohistochemistry: Isopeptidase T/USP5 Antibody [NB100-77286]

Immunohistochemistry: Isopeptidase T/USP5 Antibody [NB100-77286]

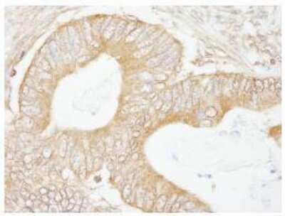
Immunohistochemistry: Isopeptidase T/USP5 Antibody [NB100-77286] - Sample: FFPE section of human colon carcinoma. Antibody: Affinity purified rabbit anti- USP5/IsoT used at a dilution of 1:1,000 (1ug/ml). Detection: DAB
Immunohistochemistry-Paraffin: Isopeptidase T/USP5 Antibody [NB100-77286]

Immunohistochemistry-Paraffin: Isopeptidase T/USP5 Antibody [NB100-77286]

Immunohistochemistry-Paraffin: Isopeptidase T/USP5 Antibody [NB100-77286] - FFPE section of human colon carcinoma. Affinity purified rabbit anti-USP5 used at a dilution of 1:100. Detection: DAB staining using Immunohistochemistry Accessory Kit.
Immunohistochemistry-Paraffin: Isopeptidase T/USP5 Antibody [NB100-77286]

Immunohistochemistry-Paraffin: Isopeptidase T/USP5 Antibody [NB100-77286]

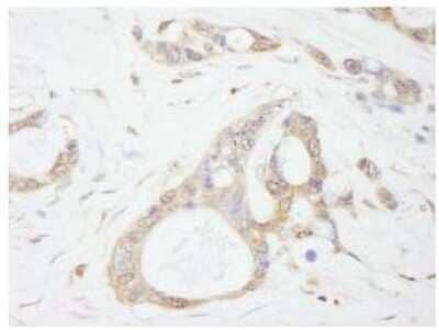
Immunohistochemistry-Paraffin: Isopeptidase T/USP5 Antibody [NB100-77286] - FFPE section of human ovarian carcinoma. Affinity purified rabbit anti-USP5used at a dilution of 1:500. Detection: DAB staining using Immunohistochemistry Accessory Kit

Applications for Isopeptidase T/USP5 Antibody - BSA Free

Application
Recommended Usage

Immunohistochemistry-Paraffin

1:100-1:500

Immunoprecipitation

2-5 ug/mg lysate
Application Notes
Epitope retrieval with citrate buffer pH6.0 is recommended for FFPE tissue sections.

Formulation, Preparation, and Storage

Purification

Immunogen affinity purified

Formulation

Tris-Citrate/Phosphate (pH 7.0 - 8.0)

Format

BSA Free

Preservative

0.09% Sodium Azide

Concentration

1.0 mg/ml

Shipping

The product is shipped with polar packs. Upon receipt, store it immediately at the temperature recommended below.

Stability & Storage

Store at 4C. Do not freeze.

Background: Isopeptidase T/USP5

Ubiquitin (Ub) is a highly conserved protein found ubiquitously in eukaryotic organisms. The conjugation of ubiquitin to proteins is an important means to regulate protein activity for many cellular processes by tagging them for degradation. Removal of Ub can rescue proteins from degradation. This is accomplished by the ubiquitin-specific processing protease (UBP) family of enzymes. Ubiquitin specific processing protease 5 (USP5) is a member of this family. The upregulation of USP5 has been found to be associated with fetal Down syndrome.

Long Name

Ubiquitin Specific Protease 5

Alternate Names

IsoT, USP5

Entrez Gene IDs

8078 (Human)

Gene Symbol

USP5

UniProt

Additional Isopeptidase T/USP5 Products

Product Documents for Isopeptidase T/USP5 Antibody - BSA Free

Certificate of Analysis

To download a Certificate of Analysis, please enter a lot number in the search box below.

Product Specific Notices for Isopeptidase T/USP5 Antibody - BSA Free

This product is for research use only and is not approved for use in humans or in clinical diagnosis. Primary Antibodies are guaranteed for 1 year from date of receipt.

Loading...
Loading...
Loading...
Loading...