Skip to main content

Isocitrate Dehydrogenase 1/IDH1 Antibody (OTI1D1)

Novus Biologicals, part of Bio-Techne | Catalog # NBP2-46019

Novus Biologicals, part of Bio-Techne
Catalog #
Availability
Size / Price
Qty
Loading...
NBP2-46019

Key Product Details

Species Reactivity

Human, Mouse, Rat, Canine, Monkey

Applications

Immunohistochemistry, Immunohistochemistry-Paraffin, Western Blot

Label

Unconjugated

Antibody Source

Monoclonal Mouse IgG1 Clone # OTI1D1

Concentration

1 mg/ml

Product Specifications

Immunogen

Synthetic peptide around the R132 region of the human IDH conjugated to KLH

Reactivity Notes

Please note that this antibody is reactive to Mouse and derived from the same host, Mouse. Mouse-On-Mouse blocking reagent may be needed for IHC and ICC experiments to reduce high background signal. You can find these reagents under catalog numbers PK-2200-NB and MP-2400-NB. Please contact Technical Support if you have any questions.

Clonality

Monoclonal

Host

Mouse

Isotype

IgG1

Theoretical MW

46.5 kDa.
Disclaimer note: The observed molecular weight of the protein may vary from the listed predicted molecular weight due to post translational modifications, post translation cleavages, relative charges, and other experimental factors.

Description

Novus Biologicals Mouse Isocitrate Dehydrogenase 1/IDH1 Antibody (OTI1D1) (NBP2-46019) is a monoclonal antibody validated for use in IHC and WB. All Novus Biologicals antibodies are covered by our 100% guarantee.

Scientific Data Images for Isocitrate Dehydrogenase 1/IDH1 Antibody (OTI1D1)

Western Blot: Isocitrate Dehydrogenase 1/IDH1 Antibody (OTI1D1) [NBP2-46019]

Western Blot: Isocitrate Dehydrogenase 1/IDH1 Antibody (OTI1D1) [NBP2-46019]

Western Blot: Isocitrate Dehydrogenase 1/IDH1 Antibody (1D1) [NBP2-46019] - Analysis of extracts (35ug) from 9 different cell lines (HepG2: human; HeLa: human; SVT2: mouse; A549: human; COS7: monkey; Jurkat: human; MDCK: canine; PC12: rat; MCF7: human).
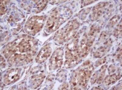
Immunohistochemistry: Isocitrate Dehydrogenase 1/IDH1 Antibody (OTI1D1) [NBP2-46019]

Immunohistochemistry: Isocitrate Dehydrogenase 1/IDH1 Antibody (OTI1D1) [NBP2-46019]

Immunohistochemistry: Isocitrate Dehydrogenase 1/IDH1 Antibody (1D1) [NBP2-46019] - Analysis of Human pancreas tissue.
Western Blot: Isocitrate Dehydrogenase 1/IDH1 Antibody (OTI1D1) [NBP2-46019]

Western Blot: Isocitrate Dehydrogenase 1/IDH1 Antibody (OTI1D1) [NBP2-46019]

Western Blot: Isocitrate Dehydrogenase 1/IDH1 Antibody (1D1) [NBP2-46019] - Analysis of HEK293T cells were transfected with the pCMV6-ENTRY control (Left lane) or pCMV6-ENTRY IDH1.

Applications for Isocitrate Dehydrogenase 1/IDH1 Antibody (OTI1D1)

Application
Recommended Usage

Immunohistochemistry

1:150

Western Blot

1:500

Formulation, Preparation, and Storage

Purification

Immunogen affinity purified

Formulation

PBS (pH 7.3), 1.0% BSA and 50% Glycerol

Preservative

0.02% Sodium Azide

Concentration

1 mg/ml

Shipping

The product is shipped with polar packs. Upon receipt, store it immediately at the temperature recommended below.

Stability & Storage

Store at -20C. Avoid freeze-thaw cycles.

Background: Isocitrate Dehydrogenase 1/IDH1

Isocitrate dehydrogenases catalyze the oxidative decarboxylation of isocitrate to 2-oxoglutarate. These enzymes belong to two distinct subclasses, one of which utilizes NAD(+) as the electron acceptor and the other NADP(+). Five isocitrate dehydrogenases have been reported: three NAD(+)-dependent isocitrate dehydrogenases, which localize to the mitochondrial matrix, and two NADP(+)-dependent isocitrate dehydrogenases, one of which is mitochondrial and the other predominantly cytosolic. Each NADP(+)-dependent isozyme is a homodimer. The protein encoded by this gene is the NADP(+)-dependent isocitrate dehydrogenase found in the cytoplasm and peroxisomes. It contains the PTS-1 peroxisomal targeting signal sequence. The presence of this enzyme in peroxisomes suggests roles in the regeneration of NADPH for intraperoxisomal reductions, such as the conversion of 2, 4-dienoyl-CoAs to 3-enoyl-CoAs, as well as in peroxisomal reactions that consume 2-oxoglutarate, namely the alpha-hydroxylation of phytanic acid. The cytoplasmic enzyme serves a significant role in cytoplasmic NADPH production. [provided by RefSeq]

Alternate Names

IDCD, IDH1, IDP, IDPC, PICD

Gene Symbol

IDH1

Additional Isocitrate Dehydrogenase 1/IDH1 Products

Product Documents for Isocitrate Dehydrogenase 1/IDH1 Antibody (OTI1D1)

Certificate of Analysis

To download a Certificate of Analysis, please enter a lot number in the search box below.

Product Specific Notices for Isocitrate Dehydrogenase 1/IDH1 Antibody (OTI1D1)

This product is for research use only and is not approved for use in humans or in clinical diagnosis. Primary Antibodies are guaranteed for 1 year from date of receipt.

Loading...
Loading...
Loading...
Loading...