ISLR Antibody - BSA Free
Novus Biologicals, part of Bio-Techne | Catalog # NBP2-14131
Key Product Details
Species Reactivity
Validated:
Human
Predicted:
Rat (91%). Backed by our 100% Guarantee.
Applications
Immunohistochemistry, Immunohistochemistry-Paraffin
Label
Unconjugated
Antibody Source
Polyclonal Rabbit IgG
Format
BSA Free
Concentration
Concentrations vary lot to lot. See vial label for concentration. If unlisted please contact technical services.
Product Specifications
Immunogen
This antibody was developed against a recombinant protein corresponding to the amino acids: LLIPDFGKLEEGTYSCLATNELGSAESSVDVALATPGEGGEDTLGRRFHGKAVEGKGCYTVDNEVQPSGPEDNVVIIYLSRAGNPEAAVAEGVPG
Reactivity Notes
Immunogen displays the following percentage of sequence identity for non-tested species: Mouse (87%)
Clonality
Polyclonal
Host
Rabbit
Isotype
IgG
Description
Novus Biologicals Rabbit ISLR Antibody - BSA Free (NBP2-14131) is a polyclonal antibody validated for use in IHC. Anti-ISLR Antibody: Cited in 1 publication. All Novus Biologicals antibodies are covered by our 100% guarantee.
Scientific Data Images for ISLR Antibody - BSA Free
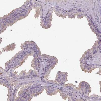
Immunohistochemistry-Paraffin: ISLR Antibody [NBP2-14131]
Immunohistochemistry-Paraffin: ISLR Antibody [NBP2-14131] - Staining of human liver shows very weak cytoplasmic positivity in hepatocytes.Immunohistochemistry-Paraffin: ISLR Antibody [NBP2-14131]
Immunohistochemistry-Paraffin: ISLR Antibody [NBP2-14131] - Staining of human prostate shows weak to moderate cytoplasmic positivity in glandular cells.Immunohistochemistry-Paraffin: ISLR Antibody [NBP2-14131]
Immunohistochemistry-Paraffin: ISLR Antibody [NBP2-14131] - Staining of human skeletal muscle shows weak to moderate cytoplasmic positivity in myocytes.Applications for ISLR Antibody - BSA Free
Application
Recommended Usage
Immunohistochemistry
1:50 - 1:200
Immunohistochemistry-Paraffin
1:50 - 1:200
Application Notes
For IHC-Paraffin, HIER pH 6 retrieval is recommended.
Formulation, Preparation, and Storage
Purification
Affinity purified
Formulation
PBS (pH 7.2) and 40% Glycerol
Format
BSA Free
Preservative
0.02% Sodium Azide
Concentration
Concentrations vary lot to lot. See vial label for concentration. If unlisted please contact technical services.
Shipping
The product is shipped with polar packs. Upon receipt, store it immediately at the temperature recommended below.
Stability & Storage
Store at 4C short term. Aliquot and store at -20C long term. Avoid freeze-thaw cycles.
Background: ISLR
Long Name
Immunoglobulin Superfamily Containing Leucine-rich Repeat
Alternate Names
HsT17563
Gene Symbol
ISLR
Additional ISLR Products
Product Documents for ISLR Antibody - BSA Free
Product Specific Notices for ISLR Antibody - BSA Free
This product is for research use only and is not approved for use in humans or in clinical diagnosis. Primary Antibodies are guaranteed for 1 year from date of receipt.
Loading...
Loading...
Loading...
Loading...