Skip to main content

IRS1 [p Ser636] Antibody - BSA Free

Novus Biologicals, part of Bio-Techne | Catalog # NB100-82003

Novus Biologicals, part of Bio-Techne
Catalog #
Availability
Size / Price
Qty
Loading...
NB100-82003
NB100-82003-0.025ml

Key Product Details

Validated by

Biological Validation

Species Reactivity

Human, Mouse, Rat

Applications

Immunohistochemistry, Immunohistochemistry-Paraffin, Western Blot

Label

Unconjugated

Antibody Source

Polyclonal Rabbit IgG

Format

BSA Free

Concentration

1.0 mg/ml

Product Specifications

Immunogen

The antiserum was produced against synthesized phosphopeptide derived from human IRS1 around the phosphorylation site of serine 636 (P-M-SP-P-K).

Modification

p Ser636

Specificity

Detects endogenous levels of IRS1.

Clonality

Polyclonal

Host

Rabbit

Isotype

IgG

Theoretical MW

170 kDa.
Disclaimer note: The observed molecular weight of the protein may vary from the listed predicted molecular weight due to post translational modifications, post translation cleavages, relative charges, and other experimental factors.

Scientific Data Images for IRS1 [p Ser636] Antibody - BSA Free

Western Blot: IRS1 [p Ser636] Antibody [NB100-82003]

Western Blot: IRS1 [p Ser636] Antibody [NB100-82003]

Western Blot: IRS1 [p Ser636] Antibody [NB100-82003] - Analysis of extracts from 3T3 cells untreated or treated with Insulin using IRS-1 (Phospho-Ser636) Antibody
IRS1 [p Ser636] Antibody - BSA Free

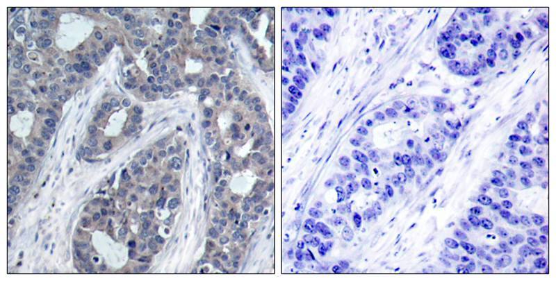
Immunohistochemistry-Paraffin: IRS1 [p Ser636] Antibody [NB100-82003] -

Immunohistochemistry-Paraffin: IRS1 [p Ser636] Antibody [NB100-82003] - Analysis of paraffin-embedded human breast carcinoma tissue, using NB100-82003(left) or the same antibody preincubated with blocking peptide(right).

Applications for IRS1 [p Ser636] Antibody - BSA Free

Application
Recommended Usage

Immunohistochemistry

1:50-1:100

Immunohistochemistry-Paraffin

1:50-1:100

Western Blot

1:500-1:1000

Formulation, Preparation, and Storage

Purification

Immunogen affinity purified

Formulation

PBS (without Mg2+ and Ca2+), pH 7.4, 150 mM NaCl, 50% glycerol

Format

BSA Free

Preservative

0.02% Sodium Azide

Concentration

1.0 mg/ml

Shipping

The product is shipped with polar packs. Upon receipt, store it immediately at the temperature recommended below.

Stability & Storage

Store at 4C short term. Aliquot and store at -20C long term. Avoid freeze-thaw cycles.

Background: IRS1

Insulin receptor substrates (IRS) are responsible for several insulin related activities, such as glucose homeostasis, cell growth, cell transformation, apoptosis and insulin signal transduction. Serine/threonine phosphorylation of IRS1 has been demonstrated to be a negative regulator of insulin signaling and is responsible for its degradation, although IRS1 degradation pathways are not well understood. IRS1 has also been shown to be constitutively activated in cancers such as breast cancer, Wilm's tumors, and adrenal cortical carcinomas, thus making IRS1 phosphorylation and subsequent degradation an attractive therapeutic target. To date there have been four subtypes identified: IRS1, 2, 3 and 4, with IRS1 being widely expressed.

Long Name

Insulin Receptor Substrate 1

Alternate Names

HIRS-1, insulin receptor substrate 1, IRS-1

Entrez Gene IDs

3667 (Human); 16367 (Mouse); 25467 (Rat)

Gene Symbol

IRS1

UniProt

Additional IRS1 Products

Product Documents for IRS1 [p Ser636] Antibody - BSA Free

Certificate of Analysis

To download a Certificate of Analysis, please enter a lot number in the search box below.

Product Specific Notices for IRS1 [p Ser636] Antibody - BSA Free

This product is for research use only and is not approved for use in humans or in clinical diagnosis. Primary Antibodies are guaranteed for 1 year from date of receipt.

Loading...
Loading...
Loading...
Loading...