Skip to main content

IRF7 Antibody - BSA Free

Novus Biologicals, part of Bio-Techne | Catalog # NBP1-77264

Novus Biologicals, part of Bio-Techne

Key Product Details

Species Reactivity

Human

Applications

Immunohistochemistry, Immunohistochemistry-Paraffin, Western Blot, ELISA

Label

Unconjugated

Antibody Source

Polyclonal Rabbit IgG

Format

BSA Free

Concentration

1 mg/ml

Product Specifications

Immunogen

Antibody was raised against a peptide corresponding to 14 amino acids near the center of human IRF7. The immunogen is located within amino acids 220 - 270 of IRF7. Amino Acid Squence: AVETTPSPGPQPAA

Clonality

Polyclonal

Host

Rabbit

Isotype

IgG

Description

Novus Biologicals Rabbit IRF7 Antibody - BSA Free (NBP1-77264) is a polyclonal antibody validated for use in IHC, WB and ELISA. All Novus Biologicals antibodies are covered by our 100% guarantee.

Scientific Data Images for IRF7 Antibody - BSA Free

Western Blot: IRF7 AntibodyBSA Free [NBP1-77264]

Western Blot: IRF7 AntibodyBSA Free [NBP1-77264]

Western Blot: IRF7 Antibody [NBP1-77264] - 293 whole cell lysate with IRF7 antibody at (A) 0.5 and (B) 1 ug/ml.
IRF7 Antibody - BSA Free

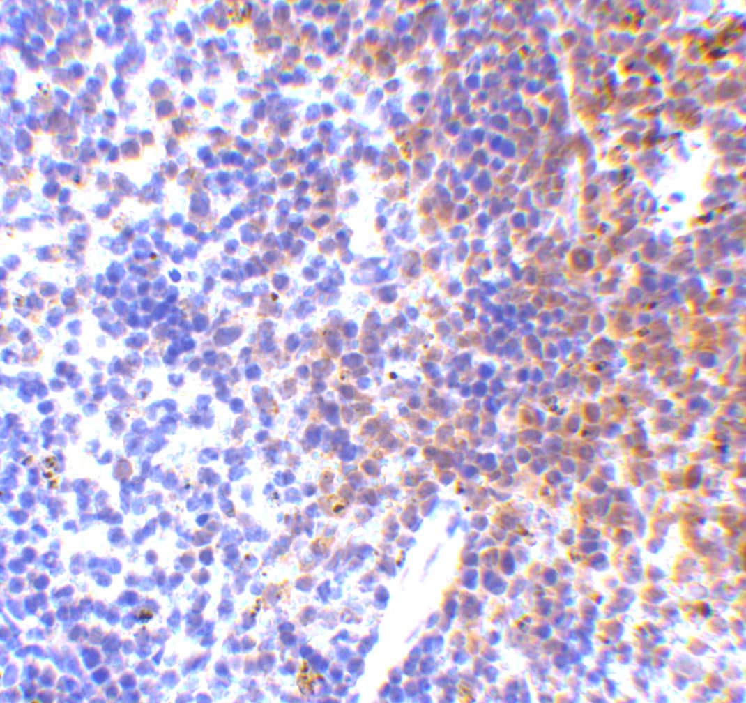
Immunohistochemistry: IRF7 Antibody - BSA Free [NBP1-77264] -

Immunohistochemistry: IRF7 Antibody - BSA Free [NBP1-77264] - Immunohistochemistry of IRF7 in mouse spleen tissue with IRF7 antibody at 5 ug/mL.

Applications for IRF7 Antibody - BSA Free

Application
Recommended Usage

ELISA

1:100-1:2000

Immunohistochemistry

5 ug/ml

Immunohistochemistry-Paraffin

5 ug/ml

Western Blot

0.5-1 ug/ml

Formulation, Preparation, and Storage

Purification

Peptide affinity purified

Formulation

PBS

Format

BSA Free

Preservative

0.02% Sodium Azide

Concentration

1 mg/ml

Shipping

The product is shipped with polar packs. Upon receipt, store it immediately at the temperature recommended below.

Stability & Storage

Store at 4C short term. Aliquot and store at -20C long term. Avoid freeze-thaw cycles.

Background: IRF7

Interferons (IFNs) are involved in a multitude of immune interactions during viral infections and play a major role in both the induction and regulation of innate and adaptive antiviral mechanisms. During infection, host-virus interactions signal downstream molecules such as transcription factors such as IFN regulatory factor-3 (IRF3) which can act to stimulate transcription of IFN-alpha/beta genes. IRF7 has been shown to play a role in the transcriptional activation of virus-inducible cellular genes, including interferon beta chain genes. IRF7 play a major role in the innate immune pathway, interacting with the Toll-like receptor (TLR) adaptor proteins MyD88 and Tirp/TRAM and functioning as an intermediate TLR4 and TLR9 signaling. There are at least four differentially spliced isoforms of IRF7, although their function has not been clearly established.

Alternate Names

interferon regulatory factor 7, interferon regulatory factor-7H, IRF-7, IRF7A, IRF-7H

Gene Symbol

IRF7

UniProt

Additional IRF7 Products

Product Documents for IRF7 Antibody - BSA Free

Certificate of Analysis

To download a Certificate of Analysis, please enter a lot number in the search box below.

Product Specific Notices for IRF7 Antibody - BSA Free

This product is for research use only and is not approved for use in humans or in clinical diagnosis. Primary Antibodies are guaranteed for 1 year from date of receipt.

Loading...
Loading...
Loading...
Loading...