Skip to main content

IRF7 Antibody (SC0617)

Novus Biologicals, part of Bio-Techne | Catalog # NBP2-67634

Recombinant Monoclonal Antibody.
Novus Biologicals, part of Bio-Techne
Catalog #
Availability
Size / Price
Qty
Loading...
NBP2-67634

Key Product Details

Species Reactivity

Validated:

Human, Mouse, Rat, Zebrafish

Cited:

Mouse

Applications

Validated:

Immunohistochemistry, Immunohistochemistry-Paraffin, Western Blot, Flow Cytometry, Immunocytochemistry/ Immunofluorescence, Immunoprecipitation

Cited:

Chemotaxis

Label

Unconjugated

Antibody Source

Recombinant Monoclonal Rabbit IgG Clone # SC0617 expressed in HEK293

Concentration

1 mg/ml

Product Specifications

Immunogen

Synthetic peptide within human IRF7 aa 200-240. (SwissProt: Q92985 Human; SwissProt: P70434 Mouse; Unigene:101159 Rat)

Localization

Nucleus, Cytoplasm.

Clonality

Monoclonal

Host

Rabbit

Isotype

IgG

Description

Novus Biologicals Rabbit IRF7 Antibody (SC0617) (NBP2-67634) is a recombinant monoclonal antibody validated for use in IHC, WB, Flow, ICC/IF and IP. Anti-IRF7 Antibody: Cited in 1 publication. All Novus Biologicals antibodies are covered by our 100% guarantee.

Scientific Data Images for IRF7 Antibody (SC0617)

Western Blot: IRF7 Antibody (SC0617) [NBP2-67634]

Western Blot: IRF7 Antibody (SC0617) [NBP2-67634]

Western Blot: IRF7 Antibody (SC0617) [NBP2-67634] - Analysis of IRF7 on different lysates with Rabbit anti-IRF7 antibody at 1/500 dilution. Lane 1: Raji cell lysate Lane 2: 293 cell lysate Lysates/proteins at 10 ug/Lane. Predicted band size: 54 kDa Observed band size: 60 kDa Exposure time: 2 minutes; 8% SDS-PAGE gel. Proteins were transferred to a PVDF membrane and blocked with 5% NFDM/TBST for 1 hour at room temperature. The primary antibody at 1/500 dilution was used in 5% NFDM/TBST at room temperature for 2 hours. Goat Anti-Rabbit IgG - HRP Secondary Antibody at 1:300,000 dilution was used for 1 hour at room temperature.
Immunocytochemistry/ Immunofluorescence: IRF7 Antibody (SC0617) [NBP2-67634]

Immunocytochemistry/ Immunofluorescence: IRF7 Antibody (SC0617) [NBP2-67634]

Immunocytochemistry/Immunofluorescence: IRF7 Antibody (SC0617) [NBP2-67634] - Staining IRF7 in PC-12 cells (green). The nuclear counter stain is DAPI (blue). Cells were fixed in paraformaldehyde, permeabilised with 0.25% Triton X100/PBS.
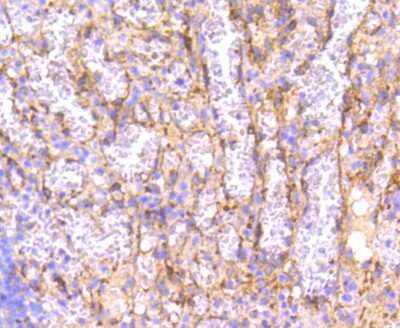
Immunohistochemistry-Paraffin: IRF7 Antibody (SC0617) [NBP2-67634]

Immunohistochemistry-Paraffin: IRF7 Antibody (SC0617) [NBP2-67634]

Immunohistochemistry-Paraffin: IRF7 Antibody (SC0617) [NBP2-67634] - Analysis of paraffin-embedded mouse liver tissue using anti-IRF7 antibody. Counter stained with hematoxylin.

Applications for IRF7 Antibody (SC0617)

Application
Recommended Usage

Flow Cytometry

1:50-1:100

Immunocytochemistry/ Immunofluorescence

1:100-1:500

Immunohistochemistry-Paraffin

1:50-1:200

Western Blot

1:1000-1:2000
Application Notes
IP: Use at an assay dependent concentration.

Formulation, Preparation, and Storage

Purification

Protein A purified

Formulation

TBS (pH7.4), 0.05% BSA, 40% Glycerol

Preservative

0.05% Sodium Azide

Concentration

1 mg/ml

Shipping

The product is shipped with polar packs. Upon receipt, store it immediately at the temperature recommended below.

Stability & Storage

Store at 4C short term. Aliquot and store at -20C long term. Avoid freeze-thaw cycles.

Background: IRF7

IRF7 encodes interferon regulatory factor 7, a member of the interferon regulatory transcription factor (IRF) family. IRF7 has been shown to play a role in the transcriptional activation of virus-inducible cellular genes, including interferon beta chain genes. Inducible expression of IRF7 is largely restricted to lymphoid tissue. Multiple IRF7 transcript variants have been identified, although the functional consequences of these have not yet been established.

Alternate Names

interferon regulatory factor 7, interferon regulatory factor-7H, IRF-7, IRF7A, IRF-7H

Gene Symbol

IRF7

Additional IRF7 Products

Product Documents for IRF7 Antibody (SC0617)

Certificate of Analysis

To download a Certificate of Analysis, please enter a lot number in the search box below.

Product Specific Notices for IRF7 Antibody (SC0617)

This product is for research use only and is not approved for use in humans or in clinical diagnosis. Primary Antibodies are guaranteed for 1 year from date of receipt.

Loading...
Loading...
Loading...
Loading...
Loading...