Skip to main content

IRF7 Antibody (S04-1E1)

Novus Biologicals, part of Bio-Techne | Catalog # NBP3-19807

Recombinant Monoclonal Antibody
Novus Biologicals, part of Bio-Techne
Catalog #
Availability
Size / Price
Qty
Loading...
NBP3-19807-100ul
NBP3-19807-50ul

Key Product Details

Species Reactivity

Human, Mouse, Rat

Applications

Immunohistochemistry, Immunohistochemistry-Paraffin, Western Blot, Flow Cytometry, Immunocytochemistry/ Immunofluorescence, Immunoprecipitation

Label

Unconjugated

Antibody Source

Recombinant Monoclonal Rabbit IgG Clone # S04-1E1 expressed in HEK293

Concentration

0.3 mg/ml

Product Specifications

Immunogen

A synthetic peptide of human IRF7 (Uniprot # Q92985)

Clonality

Monoclonal

Host

Rabbit

Isotype

IgG

Theoretical MW

54 kDa.
Disclaimer note: The observed molecular weight of the protein may vary from the listed predicted molecular weight due to post translational modifications, post translation cleavages, relative charges, and other experimental factors.

Description

Novus Biologicals Rabbit IRF7 Antibody (S04-1E1) (NBP3-19807) is a recombinant monoclonal antibody validated for use in IHC, WB, Flow, ICC/IF and IP. All Novus Biologicals antibodies are covered by our 100% guarantee.

Scientific Data Images for IRF7 Antibody (S04-1E1)

IRF7 Antibody (S04-1E1)

Western Blot: IRF7 Antibody (S04-1E1) [NBP3-19807] -

Western Blot: IRF7 Antibody (S04-1E1) [NBP3-19807] - Western blot detection of Rat Brain lysates using NBP3-19807. Predicted band size: 54kDa. Observed band size: 54kDa.
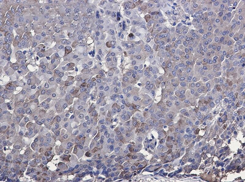
IRF7 Antibody (S04-1E1)

Immunohistochemistry-Paraffin: IRF7 Antibody (S04-1E1) [NBP3-19807] -

Immunohistochemistry-Paraffin: IRF7 Antibody (S04-1E1) [NBP3-19807] - Immunohistochemistry of paraffin-embedded Human breast cancer tissue using NBP3-19807 at dilution 1/50

Applications for IRF7 Antibody (S04-1E1)

Application
Recommended Usage

Flow Cytometry

1:20-1:100

Immunocytochemistry/ Immunofluorescence

1:50-1:200

Immunohistochemistry

1:100-1:200

Immunoprecipitation

1:20-1:50

Western Blot

1:1000-1:2000

Formulation, Preparation, and Storage

Purification

Affinity purified

Formulation

10mM PBS (pH 7.4), 150mM sodium chloride, 0.05% BSA, 50% glycerol

Preservative

0.02% Sodium Azide

Concentration

0.3 mg/ml

Shipping

The product is shipped with polar packs. Upon receipt, store it immediately at the temperature recommended below.

Stability & Storage

Store at 4C short term. Aliquot and store at -20C long term. Avoid freeze-thaw cycles.

Background: IRF7

IRF7 encodes interferon regulatory factor 7, a member of the interferon regulatory transcription factor (IRF) family. IRF7 has been shown to play a role in the transcriptional activation of virus-inducible cellular genes, including interferon beta chain genes. Inducible expression of IRF7 is largely restricted to lymphoid tissue. Multiple IRF7 transcript variants have been identified, although the functional consequences of these have not yet been established.

Alternate Names

interferon regulatory factor 7, interferon regulatory factor-7H, IRF-7, IRF7A, IRF-7H

Gene Symbol

IRF7

Additional IRF7 Products

Product Documents for IRF7 Antibody (S04-1E1)

Certificate of Analysis

To download a Certificate of Analysis, please enter a lot number in the search box below.

Product Specific Notices for IRF7 Antibody (S04-1E1)

This product is for research use only and is not approved for use in humans or in clinical diagnosis. Primary Antibodies are guaranteed for 1 year from date of receipt.

Loading...
Loading...
Loading...
Loading...
Loading...