Skip to main content

IRF3 Antibody (OTI2G3) - Azide and BSA Free

Novus Biologicals, part of Bio-Techne | Catalog # NBP2-71042

Novus Biologicals, part of Bio-Techne

Key Product Details

Species Reactivity

Human

Applications

Immunohistochemistry, Immunohistochemistry-Paraffin, Western Blot, Immunocytochemistry/ Immunofluorescence

Label

Unconjugated

Antibody Source

Monoclonal Mouse IgG2A Clone # OTI2G3

Format

Azide and BSA Free

Concentration

LYOPH mg/ml

Product Specifications

Immunogen

Full-length protein expressed in 293T cell transfected with human IRF3 expression vector

Clonality

Monoclonal

Host

Mouse

Isotype

IgG2A

Theoretical MW

47.2 kDa.
Disclaimer note: The observed molecular weight of the protein may vary from the listed predicted molecular weight due to post translational modifications, post translation cleavages, relative charges, and other experimental factors.

Description

Novus Biologicals Mouse IRF3 Antibody (OTI2G3) - Azide and BSA Free (NBP1-47812) is a monoclonal antibody validated for use in IHC, WB and ICC/IF. All Novus Biologicals antibodies are covered by our 100% guarantee.

Scientific Data Images for IRF3 Antibody (OTI2G3) - Azide and BSA Free

Western Blot: IRF3 Antibody (OTI2G3)Azide and BSA Free [NBP2-71042]

Western Blot: IRF3 Antibody (OTI2G3)Azide and BSA Free [NBP2-71042]

Western Blot: IRF3 Antibody (OTI2G3) - Azide and BSA Free [NBP2-71042] - HEK293T cells were transfected with the pCMV6-ENTRY control (Left lane) or pCMV6-ENTRY IRF3 (Right lane) cDNA for 48 hrs and lysed. Equivalent amounts of cell lysates (5 ug per lane) were separated by SDS-PAGE and immunoblotted with anti-IRF3.
Immunocytochemistry/ Immunofluorescence: IRF3 Antibody (OTI2G3) - Azide and BSA Free [NBP2-71042]

Immunocytochemistry/ Immunofluorescence: IRF3 Antibody (OTI2G3) - Azide and BSA Free [NBP2-71042]

Immunocytochemistry/Immunofluorescence: IRF3 Antibody (OTI2G3) - Azide and BSA Free [NBP2-71042] - Staining of COS7 cells transiently transfected by pCMV6-ENTRY IRF3.
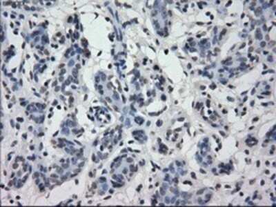
Immunohistochemistry: IRF3 Antibody (OTI2G3) - Azide and BSA Free [NBP2-71042]

Immunohistochemistry: IRF3 Antibody (OTI2G3) - Azide and BSA Free [NBP2-71042]

Immunohistochemistry: IRF3 Antibody (OTI2G3) - Azide and BSA Free [NBP2-71042] - Staining of paraffin-embedded Kidney tissue using anti-IRF3 mouse monoclonal antibody.

Applications for IRF3 Antibody (OTI2G3) - Azide and BSA Free

Application
Recommended Usage

Immunocytochemistry/ Immunofluorescence

1:100

Immunohistochemistry

1:50

Western Blot

1:2000

Formulation, Preparation, and Storage

Purification

Immunogen affinity purified

Reconstitution

we recommend adding 100uL distilled water to a final antibody concentration of about 1 mg/mL. To use this carrier-free antibody for conjugation experiment, we strongly recommend performing another round of desalting process.

Formulation

Lyophilized from PBS (pH 7.3) with 8% Trehalose

Format

Azide and BSA Free

Preservative

No Preservative

Concentration

LYOPH mg/ml

Shipping

The product is shipped with polar packs. Upon receipt, store it immediately at the temperature recommended below.

Stability & Storage

Store at -20C. Avoid freeze-thaw cycles.

Background: IRF3

IRF3 is a family of interferon (IFN) regulatory factors (IRFs) have been shown to play a role in transcription of IFN genes as well as IFN-stimulated genes. The IRF-3 gene encodes a 50-kDa protein that binds specifically to the IFN-stimulated response element (ISRE) but not to the IRF-1 binding site PRD-I. Overexpression of IRF-3 stimulates expression of the IFN-stimulated gene 15 (ISG15) promoter, an ISRE-containing promoter. he high amino acid homology between IRF-3 and ISG factor 3 gamma polypeptide (ISGF3 gamma) and their similar binding properties indicate that, like ISGF3 gamma, IRF-3 may activate transcription by complex formation with other transcriptional factors, possibly members of the Stat family (1). IRF-3 is expressed constitutively in a variety of tissues, and the relative levels of IRF-3 mRNA do not change in virus-infected or IFN-treated cells. (2). In uninfected cells, the IRF-3 component of DRAF1 resides in the cytoplasm. The cytoplasmic localization of IRF-3 is dependent on a nuclear export signal, and IRF-3 is recognized by the chromosome region maintenance 1 (CRM1) (also known as exportin 1) shuttling receptor. Following infection and specific phosphorylation, IRF-3 accumulates in the nucleus where it associates with CBP and p300 (3).

Long Name

Interferon Regulatory Factor 3

Alternate Names

interferon regulatory factor 3, IRF-3

Gene Symbol

IRF3

Additional IRF3 Products

Product Documents for IRF3 Antibody (OTI2G3) - Azide and BSA Free

Certificate of Analysis

To download a Certificate of Analysis, please enter a lot number in the search box below.

Product Specific Notices for IRF3 Antibody (OTI2G3) - Azide and BSA Free

This product is for research use only and is not approved for use in humans or in clinical diagnosis. Primary Antibodies are guaranteed for 1 year from date of receipt.

Loading...
Loading...
Loading...
Loading...
Loading...