Skip to main content

IRE1 [p Ser724] Antibody (PSH03-35)

Novus Biologicals, part of Bio-Techne | Catalog # NBP3-32774

Recombinant Monoclonal Antibody
Novus Biologicals, part of Bio-Techne
Catalog #
Availability
Size / Price
Qty
Loading...
NBP3-32774

Key Product Details

Species Reactivity

Human, Mouse

Applications

Flow Cytometry, Immunocytochemistry/ Immunofluorescence, Immunohistochemistry, Immunohistochemistry-Paraffin, Western Blot

Label

Unconjugated

Antibody Source

Recombinant Monoclonal Rabbit IgG Clone # PSH03-35

Concentration

1 mg/ml

Product Specifications

Immunogen

Synthetic phospho-peptide corresponding to residues surrounding Ser724 of human IRE1 alpha. (Uniprot: O75460)

Modification

p Ser 724

Localization

Endoplasmic reticulum membrane; nucleus.

Clonality

Monoclonal

Host

Rabbit

Isotype

IgG

Theoretical MW

110 kDa.
Disclaimer note: The observed molecular weight of the protein may vary from the listed predicted molecular weight due to post translational modifications, post translation cleavages, relative charges, and other experimental factors.

Scientific Data Images for IRE1 [p Ser724] Antibody (PSH03-35)

IRE1 [p Ser724] Antibody (PSH03-35)

Western Blot: IRE1 [p Ser724] Antibody (PSH03-35) [NBP3-32774]

Western Blot: IRE1 [p Ser724] Antibody (PSH03-35) [NBP3-32774] - Western blot analysis of IRE1 on different lysates with Rabbit anti-IRE1 antibody (NBP3-32774) at 1/1,000 dilution.

Lane 1: HeLa cell lysate
Lane 2: HeLa starved for 3 hours then treated with 100nM Calyculin A for 30 minutes cell lysate
Lane 3: Jurkat cell lysate
Lane 4: Jurkat treated with 100nM Calyculin A for 30 minutes cell lysate

Lysates/proteins at 20 ug/Lane.

Predicted band size: 54 kDa
Observed band size: 54 kDa

Exposure time: 5 minutes 10 seconds;

4-20% SDS-PAGE gel.

Proteins were transferred to a PVDF membrane and blocked with 5% NFDM/TBST for 1 hour at room temperature. The primary antibody (NBP3-32774) at 1/1,000 dilution was used in 5% NFDM/TBST at 4C overnight. Goat Anti-Rabbit IgG - HRP Secondary Antibody at 1/50,000 dilution was used for 1 hour at room temperature.
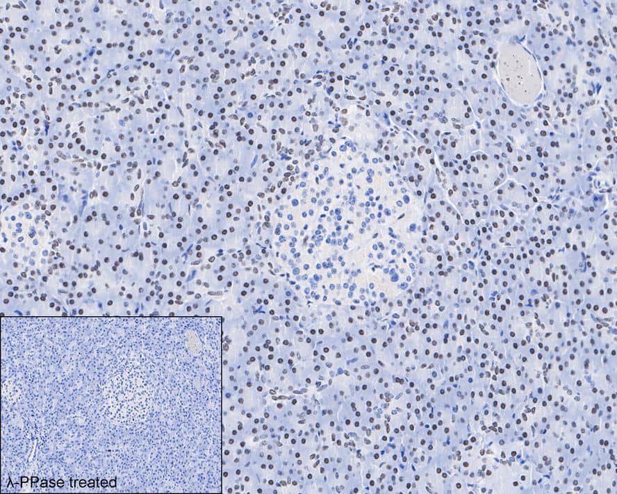
IRE1 [p Ser724] Antibody (PSH03-35)

Immunohistochemistry: IRE1 [p Ser724] Antibody (PSH03-35) [NBP3-32774]

Immunohistochemistry: IRE1 [p Ser724] Antibody (PSH03-35) [NBP3-32774] - Immunohistochemical analysis of paraffin-embedded human pancreas tissue with Rabbit anti-IRE1 antibody (NBP3-32774) at 1/500 dilution.

The section was pre-treated using heat mediated antigen retrieval with Tris-EDTA buffer (pH 9.0) for 20 minutes. The tissues were blocked in 1% BSA for 20 minutes at room temperature, washed with ddH2O and PBS, and then probed with the primary antibody (NBP3-32774) at 1/500 dilution for 1 hour at room temperature. The detection was performed using an HRP conjugated compact polymer system. DAB was used as the chromogen. Tissues were counterstained with hematoxylin and mounted with DPX.
IRE1 [p Ser724] Antibody (PSH03-35)

Immunocytochemistry/ Immunofluorescence: IRE1 [p Ser724] Antibody (PSH03-35) [NBP3-32774]

Immunocytochemistry/ Immunofluorescence: IRE1 [p Ser724] Antibody (PSH03-35) [NBP3-32774] - Immunocytochemistry analysis of Jurkat cells treated with 100nM Calyculin A for 30 minutes labeling IRE1 with Rabbit anti-IRE1 antibody (NBP3-32774) at 1/500 dilution.

Cells were fixed in 4% paraformaldehyde for 20 minutes at room temperature, permeabilized with 0.1% Triton X-100 in PBS for 5 minutes at room temperature, then blocked with 1% BSA in 10% negative goat serum for 1 hour at room temperature. Cells were then incubated with Rabbit anti-IRE1 antibody (NBP3-32774) at 1/500 dilution in 1% BSA in PBST overnight at 4 ℃. Goat Anti-Rabbit IgG H&L (iFluor™ 488) was used as the secondary antibody at 1/1,000 dilution. PBS instead of the primary antibody was used as the secondary antibody only control. Nuclear DNA was labelled in blue with DAPI.

Beta tubulin (red) was stained at 1/100 dilution overnight at +4℃. Goat Anti-Mouse IgG H&L (iFluor™ 594) was used as the secondary antibody at 1/1,000 dilution.

Applications for IRE1 [p Ser724] Antibody (PSH03-35)

Application
Recommended Usage

Flow Cytometry

1:1000

Immunocytochemistry/ Immunofluorescence

1:500

Immunohistochemistry-Paraffin

1:500

Western Blot

1:1000

Formulation, Preparation, and Storage

Purification

Protein A purified

Formulation

PBS (pH7.4), 0.1% BSA and 40% Glycerol

Preservative

0.05% Sodium Azide

Concentration

1 mg/ml

Shipping

The product is shipped with polar packs. Upon receipt, store it immediately at the temperature recommended below.

Stability & Storage

Store at 4C short term. Aliquot and store at -20C long term. Avoid freeze-thaw cycles.

Background: IRE1

IRE1 is encoded by this gene is the ER to nucleus signalling 1 protein, a human homologue of the yeast Ire1 gene product. IRE1 possesses intrinsic kinase activity and an endoribonuclease activity and it is important in altering gene expression as a response to endoplasmic reticulum-based stress signals.

Alternate Names

EC 2.7.11, endoplasmic reticulum to nucleus signaling 1, Endoplasmic reticulum-to-nucleus signaling 1, ER to nucleus signalling 1, FLJ30999, hIRE1p, inositol-requiring 1, Inositol-requiring protein 1, IRE1a, ire1-alpha, IRE1MGC163279, IRE1P, MGC163277, protein kinase/endoribonuclease, serine/threonine-protein kinase/endoribonuclease IRE1

Gene Symbol

ERN1

Additional IRE1 Products

Product Documents for IRE1 [p Ser724] Antibody (PSH03-35)

Certificate of Analysis

To download a Certificate of Analysis, please enter a lot number in the search box below.

Product Specific Notices for IRE1 [p Ser724] Antibody (PSH03-35)

This product is for research use only and is not approved for use in humans or in clinical diagnosis. Primary Antibodies are guaranteed for 1 year from date of receipt.

Loading...
Loading...
Loading...
Loading...
Loading...