IQCF2 Antibody - BSA Free
Novus Biologicals, part of Bio-Techne | Catalog # NBP2-81922
Conjugate
Catalog #
Key Product Details
Species Reactivity
Human
Applications
Immunohistochemistry, Western Blot, ELISA, Immunocytochemistry/ Immunofluorescence
Label
Unconjugated
Antibody Source
Polyclonal Rabbit IgG
Format
BSA Free
Concentration
1 mg/ml
Product Specifications
Immunogen
IQCF2 antibody was raised against a 19 amino acid peptide near the amino terminus of human IQCF2. The immunogen is located within the first 50 amino acids of IQCF2. Amino Acid Squence: EWKTLQKKKQQKIKEKLR
Specificity
IQCF2 antibody is human specific. IQCF2 antibody is predicted to not cross-react with IQCF1.
Clonality
Polyclonal
Host
Rabbit
Isotype
IgG
Theoretical MW
22 kDa.
Disclaimer note: The observed molecular weight of the protein may vary from the listed predicted molecular weight due to post translational modifications, post translation cleavages, relative charges, and other experimental factors.
Disclaimer note: The observed molecular weight of the protein may vary from the listed predicted molecular weight due to post translational modifications, post translation cleavages, relative charges, and other experimental factors.
Description
Novus Biologicals Rabbit IQCF2 Antibody - BSA Free (NBP2-81922) is a polyclonal antibody validated for use in IHC, WB, ELISA and ICC/IF. All Novus Biologicals antibodies are covered by our 100% guarantee.
Scientific Data Images for IQCF2 Antibody - BSA Free
Western Blot: IQCF2 AntibodyBSA Free [NBP2-81922]
Western Blot: IQCF2 Antibody [NBP2-81922] - Analysis of IQCF2 in human testis tissue lysate with IQCF2 antibody at 1 ug/ml.Immunohistochemistry: IQCF2 Antibody - BSA Free [NBP2-81922] -
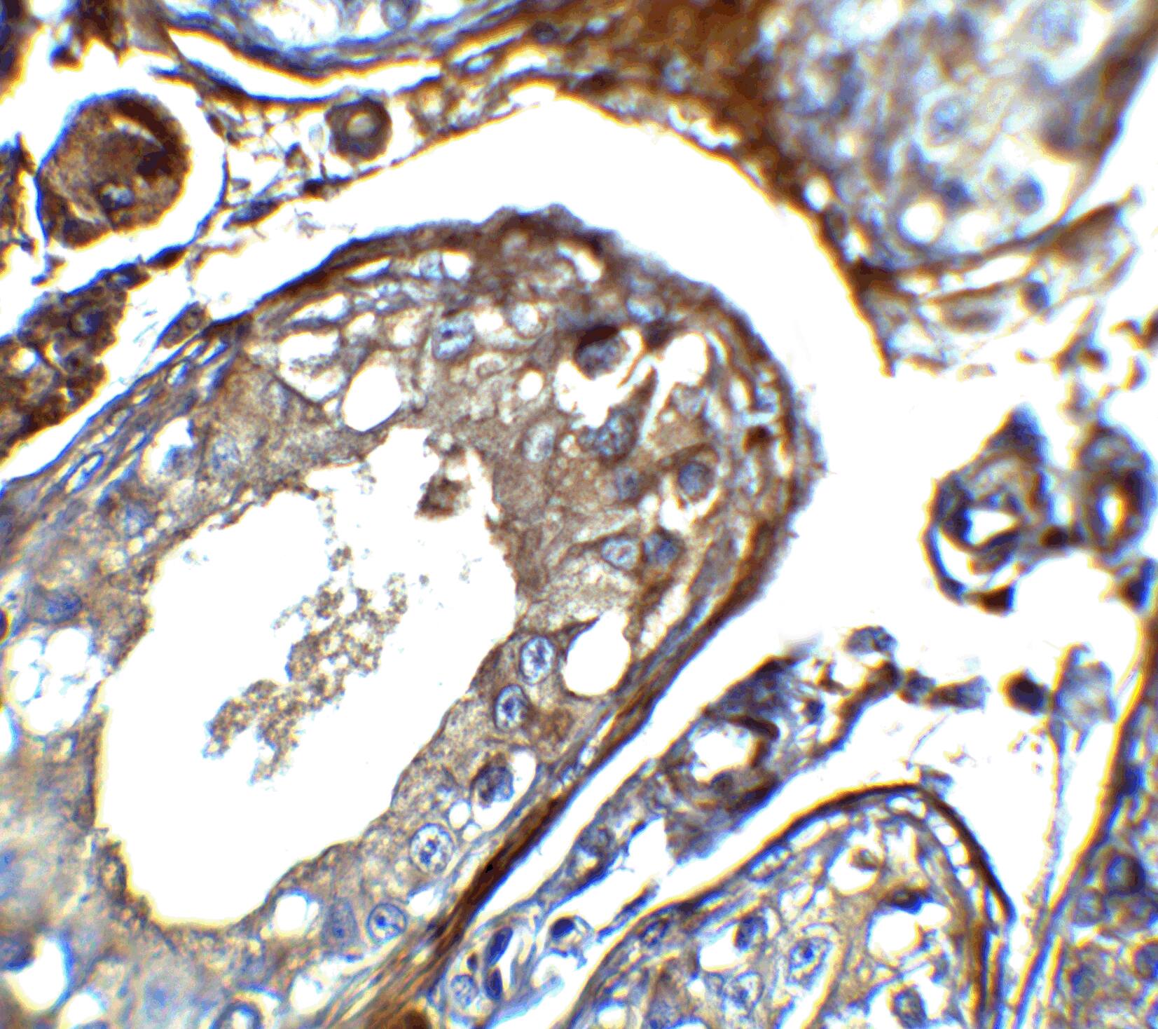
Immunohistochemistry: IQCF2 Antibody - BSA Free [NBP2-81922] - Immunohistochemistry of IQCF2 in human testis tissue with IQCF2 antibody at 5 ug/mL.Immunocytochemistry/ Immunofluorescence: IQCF2 Antibody - BSA Free [NBP2-81922] -
Immunocytochemistry/ Immunofluorescence: IQCF2 Antibody - BSA Free [NBP2-81922] - Immunofluorescence of IQCF2 in human testis tissue with IQCF2 antibody at 20 ug/ml.Red: IQCF2 Antibody
Blue: DAPI staining
Applications for IQCF2 Antibody - BSA Free
Application
Recommended Usage
Immunohistochemistry
5 ug/ml
Western Blot
0.5-1 ug/ml
Formulation, Preparation, and Storage
Purification
Peptide affinity purified
Formulation
PBS
Format
BSA Free
Preservative
0.02% Sodium Azide
Concentration
1 mg/ml
Shipping
The product is shipped with polar packs. Upon receipt, store it immediately at the temperature recommended below.
Stability & Storage
Store at 4C short term. Aliquot and store at -20C long term. Avoid freeze-thaw cycles.
Background: IQCF2
Alternate Names
IQ Domain-Containing Protein F2, IQ Motif Containing F2
Additional IQCF2 Products
Product Documents for IQCF2 Antibody - BSA Free
Product Specific Notices for IQCF2 Antibody - BSA Free
This product is for research use only and is not approved for use in humans or in clinical diagnosis. Primary Antibodies are guaranteed for 1 year from date of receipt.
Loading...
Loading...
Loading...
Loading...